Always review the images yourself

This forum made possible through the generous support of SDN members, donors, and sponsors. Thank you.

callmeanesthesia

Full Member
7+ Year Member
Joined
Apr 13, 2016
Messages
3,464
Reaction score
3,577
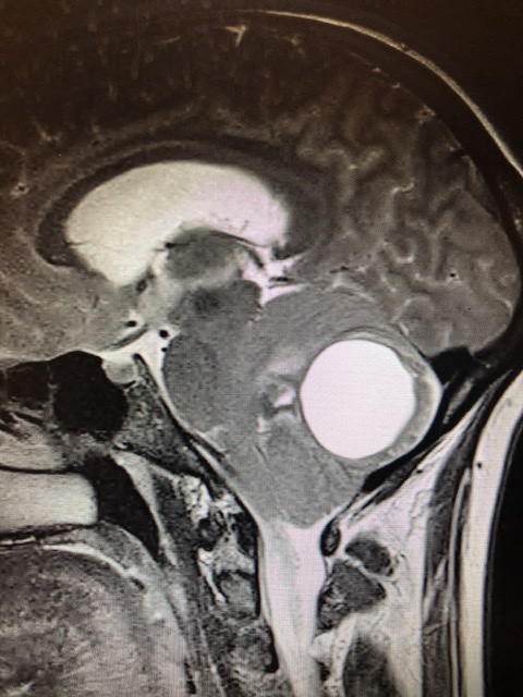
I posted this to the images thread but I’m not sure that actually gets seen now that it’s in the side bar (at least on the mobile website). I think this is a very important lesson for residents and fellows (and maybe a reminder for people stuck in the grind) that every so often we have a chance to really make a difference. Also, review the images yourself.

This patient came to me yesterday for severe neck pain and headaches, progressive for 6 months. She came in a wheelchair, could barely transfer to the exam table, crying out in pain and nearly vomiting. Had been to the ER the day before and they gave her a toradol shot and sent her home. She had an MRI c-spine a month ago. For some reason they had grabbed a T2 Sag view of the brain too, but the radiologist made no comment on the brain in the report - just some disc bulges and central and foraminal stenosis in the spine. Pulled up the brain images for a quick look given her complaint of dizziness. Exhibit A:

F64104DC-9D2E-4C20-9E04-4C46A5321C94.jpeg


(I’ll give you a hint: there’s not normally a golf ball size cystic lesion in the middle of the cerebellum...)
Best I can figure, the rad tech must have noticed the lesion on the scout image, grabbed the T2 brain, but somehow this was not communicated to the radiologist.
I talked to the on call neurosurgeon and sent her to the ER. She was very ataxic but surprisingly mild disturbance of finger to nose, rapid alternating movement, or extraocular movement. Did complain of progressively worsening headaches, loss of balance, visual aura (like a kaliedascope around the edge of her vision), numbness of head and arms, and hearing loss. (Update: She’s in the OR now.)
 
Radiologists are pushed to read a ridiculous number of studies in a day. I know our local group has parted ways with a few neuroradiologists who took too long and wrote overly detailed reports. Another example that fast is not always better.


Sent from my iPhone using Tapatalk
 
Radiologists are pushed to read a ridiculous number of studies in a day. I know our local group has parted ways with a few neuroradiologists who took too long and wrote overly detailed reports. Another example that fast is not always better.


Sent from my iPhone using Tapatalk

BS. they get paid for reading these studies. huge error
 
While I always look at images myself when available, honestly I don't think I would have payed attention to a brain scout image of the brain on a cervical MRI study. We use PACS and that may involve me scrolling and maximizing the image - usually I just jump straight to the T2 saggital and axial.
 
While I always look at images myself when available, honestly I don't think I would have payed attention to a brain scout image of the brain on a cervical MRI study. We use PACS and that may involve me scrolling and maximizing the image - usually I just jump straight to the T2 saggital and axial.
Me too, and I rarely look at the scout unless I’m trying to figure out a thoracic level. It did catch my attention that there was a set of brain images included with the C spine MRI though.
 
thats a tough case....sry to hear. I also look at images but of course dont scroll through every single one. So not sure i would have seen a scout, but i think that would have showed up on any other view as well, not just the scout. That will show up on the sagittal.
 
thats a tough case....sry to hear. I also look at images but of course dont scroll through every single one. So not sure i would have seen a scout, but i think that would have showed up on any other view as well, not just the scout. That will show up on the sagittal.
The c spine set cut off just below the lesion. I suspect it was a failure of communication- an alert tech saw the lesion on the scout, grabbed a set of images of the brain, but just assumed the radiologist would look at them, or sent a message that then got lost. The radiologist, probably due to having a deeply set algorithm for how he reads images, breezed through the c spine and didn’t notice there was an extra set of images. There is no way he even glanced at it in passing. That lesion is impossible to miss.
 
BS. they get paid for reading these studies. huge error

Let me understand this. You think that the radiologist took the time to carefully review the study and thought this was a normal finding rather than he blew through the images as fast as he could to move on to the next?

UNFORTUNATELY, it’s like when you go to your PCP and you’re told “ one problem per visit “. You have another problem, come back again. You could have a melanoma sitting in the middle of your forehead and it could go unnoticed.

Sweat shop medicine is bad medicine.







Sent from my iPhone using Tapatalk
 
Last edited:
Revealing the symptoms at the imaging was the wrong thing. Where was a CAT scan of the head?
There was no CT head. She had an MRI brain within 2 hours of her arrival at the hospital though. Cyst looked about the same size. There was some enhancement in a small area at the posterior aspect of the cyst.
Oh, and regarding the presentation above, yes it’s a little discombobulated. Still, the dizziness she complained of so I could have put that above the imaging but most of the rest came out only after I started inquiring about brain stem functions because of the imaging. Hearing loss I picked on on cranial nerve exam.
 
Last edited:
There was no CT head. She had an MRI brain within 2 hours of her arrival at the hospital though. Cyst looked about the same size. There was some enhancement in a small area at the posterior aspect of the cyst.
Oh, and regarding the presentation above, yes it’s a little discombobulated. Still, the dizziness she complained of so I could have put that above the imaging but most of the rest came out only after I started inquiring about brain stem functions because of the imaging. Hearing loss I picked on on cranial nerve exam.

This patient came to me yesterday for severe neck pain and headaches, progressive for 6 months.

That is some bad doctoring before getting to you. And shame on ER.
 
This patient came to me yesterday for severe neck pain and headaches, progressive for 6 months.

That is some bad doctoring before getting to you. And shame on ER.
Yeah, if she was anywhere near that condition when she went to the ER, I’m amazed she didn’t get an ER neuro exam (head CT). When she tried to stand, her feet were about a foot and a half apart, knees bent, and she still nearly toppled over.
 
Let me understand this. You think that the radiologist took the time to carefully review the study and thought this was a normal finding rather than he blew through the images as fast as he could to move on to the next?

UNFORTUNATELY, it’s like when you go to your PCP and you’re told “ one problem per visit “. You have another problem, come back again. You could have a melanoma sitting in the middle of your forehead and it could go unnoticed.

Sweat shop medicine is bad medicine.







Sent from my iPhone using Tapatalk

its hard to say exactly why it was missed. if the radiologist looked at it, yeah, he/she would have seen it. rads are incentivized -- either directly or indirectly -- to read a lot of films. everyone makes mistakes, but that a pretty big matzo ball to miss. if you cant read that many films without a mistake like this, then you should be reading as many or communication needs to be better
 
Yeah, if she was anywhere near that condition when she went to the ER, I’m amazed she didn’t get an ER neuro exam (head CT). When she tried to stand, her feet were about a foot and a half apart, knees bent, and she still nearly toppled over.

if you saw her a day after the ER, then they totally blew it. not all that unusual, unfortunately. i can see the rationale behind not getting a head CT on every headache, but you need to back up that decision with a good physical exam. a cursory physical exam would have shown big problems.... btw, did she see a doc or NP/PA in the ER?
 
if you saw her a day after the ER, then they totally blew it. not all that unusual, unfortunately. i can see the rationale behind not getting a head CT on every headache, but you need to back up that decision with a good physical exam. a cursory physical exam would have shown big problems.... btw, did she see a doc or NP/PA in the ER?
I don’t know who she saw in the ER. I didn’t have their records.
 
There was no CT head. She had an MRI brain within 2 hours of her arrival at the hospital though. Cyst looked about the same size. There was some enhancement in a small area at the posterior aspect of the cyst.
Oh, and regarding the presentation above, yes it’s a little discombobulated. Still, the dizziness she complained of so I could have put that above the imaging but most of the rest came out only after I started inquiring about brain stem functions because of the imaging. Hearing loss I picked on on cranial nerve exam.


Enhancement?

No bueno
 
The c spine set cut off just below the lesion. I suspect it was a failure of communication- an alert tech saw the lesion on the scout, grabbed a set of images of the brain, but just assumed the radiologist would look at them, or sent a message that then got lost. The radiologist, probably due to having a deeply set algorithm for how he reads images, breezed through the c spine and didn’t notice there was an extra set of images. There is no way he even glanced at it in passing. That lesion is impossible to miss.

i cant recall seeing a c-spine without the cerebellum showing....the inferiror aspect is barely above occiput-C1 and C1-2. I guess ill start noticing from now on.
 
I posted this to the images thread but I’m not sure that actually gets seen now that it’s in the side bar (at least on the mobile website). I think this is a very important lesson for residents and fellows (and maybe a reminder for people stuck in the grind) that every so often we have a chance to really make a difference. Also, review the images yourself.

This patient came to me yesterday for severe neck pain and headaches, progressive for 6 months. She came in a wheelchair, could barely transfer to the exam table, crying out in pain and nearly vomiting. Had been to the ER the day before and they gave her a toradol shot and sent her home. She had an MRI c-spine a month ago. For some reason they had grabbed a T2 Sag view of the brain too, but the radiologist made no comment on the brain in the report - just some disc bulges and central and foraminal stenosis in the spine. Pulled up the brain images for a quick look given her complaint of dizziness. Exhibit A:

F64104DC-9D2E-4C20-9E04-4C46A5321C94.jpeg


(I’ll give you a hint: there’s not normally a golf ball size cystic lesion in the middle of the cerebellum...)
Best I can figure, the rad tech must have noticed the lesion on the scout image, grabbed the T2 brain, but somehow this was not communicated to the radiologist.
I talked to the on call neurosurgeon and sent her to the ER. She was very ataxic but surprisingly mild disturbance of finger to nose, rapid alternating movement, or extraocular movement. Did complain of progressively worsening headaches, loss of balance, visual aura (like a kaliedascope around the edge of her vision), numbness of head and arms, and hearing loss. (Update: She’s in the OR now.)

With something so huge and obvious, it sounds like it was a mistake (read the wrong film, ect…).

I agree 100% with reading your own films. No one is perfect and this is a good example of that.
 
Yeah, if she was anywhere near that condition when she went to the ER, I’m amazed she didn’t get an ER neuro exam (head CT). When she tried to stand, her feet were about a foot and a half apart, knees bent, and she still nearly toppled over.

Docs rarely do a proper neuro exam anymore. How many pts have you seen who are myelopathic, hyper-reflexic, and have a positive Hoffman test? MANY of my myelopathic patients are sent for lumbar epidural steroid injections by the referring docs (non- neurosurgeons).
 
Top