Azygous Vein CVL?

This forum made possible through the generous support of SDN members, donors, and sponsors. Thank you.

sanityonleave

Adrenaline Junkie
15+ Year Member
Joined
Sep 16, 2008
Messages
506
Reaction score
255
Points
4,711
  1. Attending Physician
Advertisement - Members don't see this ad
I wanted to share an interesting central line case, as I think troubleshooting challenging central venous access is a skillset that continues to evolve for me as an attending.

The patient had bilateral AV fistulas (one failed). History of multiple tunneled HD lines -- most recently RIJ which was removed shortly before the case. The patient had a history of difficult access and patient/surgeon requested a CVC to facilitate lab draws and access postop. We chose to access LIJ given her recently removed tunneled line.

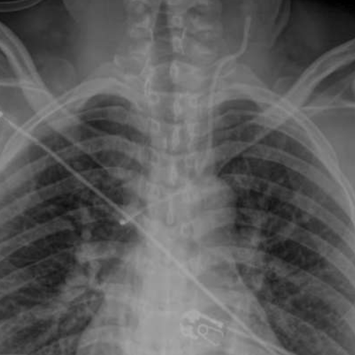
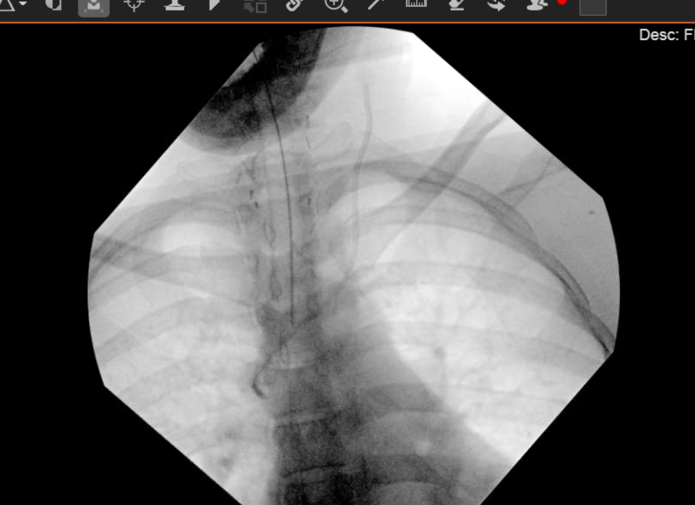
Access was uncomplicated, but the wire would not advance past 18cm. Placed a 10cm 18g sheath over the wire from our kit and manometry confirmed venous placement, but still after reintroducing the wire I was unable to advance past 18cm. I opted to place the line over the wire I had which was uneventful, but the blood return from the most distal port of the CVL was sluggish (prox and medial ports with brisk blood return). I suspected a possible line malposition, so I brought in fluoro to help confirm line placement and possibly reposition.

Initial image shows line seemingly well positioned but with an odd angulation to the tip of the line and just lateral to the R mainstem bronchus - possible appearance for azygous placement. Introduced a 0.032" wire under fluoro to try and reposition and... the wire goes straight to the RA. Hard to tell if the line was in the azygous and popped out when I introduced the wire or if it was never there to begin with.

NiRvqfz.png


XmOIoa7.png


Patient to PACU, formal CXR and... now the line looks like it's possibly back in the azygous vein? The "down the barrel" view on CXR is a/w azygous placement, but I have no idea as to the specificity.

kKMcasu.png


Ljr80yu.png


What would you do / have done? Do you remove the line? Would you have never placed it with the wire hung up at 18cm in the first place?


As a bonus, here's a diagram from a 2011 AJR paper showing appearance of azygous vein CVLs on PA CXR - also even the radiologists had trouble identifying the less obvious ones. Our rads read her line as at the SVC/brachiocephalic junction with no concern for malposition.

iByDGzB.png
 

Attachments

Great images. I've had this happen a few times and exactly the same scenario, hangup around 15cm or so. Wire goes in just far enough to make you feel comfortable giving it a go, but not all the way.
 
Similar story about a CVC being malposition. I took over a long spine case in the evening. When the case ended we needed to get a CXR for a right subclavian that had been placed at the beginning of the case by a colleague. Got the CXR back and a “critical result” page from the radiologist and the right subclavian travelled up the right IJ and the majority of the catheter was intracranial. I wish I saved a pic for teaching purposes.
 
I wanted to share an interesting central line case, as I think troubleshooting challenging central venous access is a skillset that continues to evolve for me as an attending.

The patient had bilateral AV fistulas (one failed). History of multiple tunneled HD lines -- most recently RIJ which was removed shortly before the case. The patient had a history of difficult access and patient/surgeon requested a CVC to facilitate lab draws and access postop. We chose to access LIJ given her recently removed tunneled line.

Access was uncomplicated, but the wire would not advance past 18cm. Placed a 10cm 18g sheath over the wire from our kit and manometry confirmed venous placement, but still after reintroducing the wire I was unable to advance past 18cm. I opted to place the line over the wire I had which was uneventful, but the blood return from the most distal port of the CVL was sluggish (prox and medial ports with brisk blood return). I suspected a possible line malposition, so I brought in fluoro to help confirm line placement and possibly reposition.

Initial image shows line seemingly well positioned but with an odd angulation to the tip of the line and just lateral to the R mainstem bronchus - possible appearance for azygous placement. Introduced a 0.032" wire under fluoro to try and reposition and... the wire goes straight to the RA. Hard to tell if the line was in the azygous and popped out when I introduced the wire or if it was never there to begin with.

NiRvqfz.png


XmOIoa7.png


Patient to PACU, formal CXR and... now the line looks like it's possibly back in the azygous vein? The "down the barrel" view on CXR is a/w azygous placement, but I have no idea as to the specificity.

kKMcasu.png


Ljr80yu.png


What would you do / have done? Do you remove the line? Would you have never placed it with the wire hung up at 18cm in the first place?


As a bonus, here's a diagram from a 2011 AJR paper showing appearance of azygous vein CVLs on PA CXR - also even the radiologists had trouble identifying the less obvious ones. Our rads read her line as at the SVC/brachiocephalic junction with no concern for malposition.

iByDGzB.png

Cool diagram.

How come you didn't just stick the R IJ? If the previous tunnel cath was pretty recent then odds are the R IJ is patent.

Also, if you have a C-arm and the pt has ESRD then just call for a big ass bottle of omnipaque and shoot a venogram through a jelco in the vessel of choice before continuing with seldinger.
 
I wanted to share an interesting central line case, as I think troubleshooting challenging central venous access is a skillset that continues to evolve for me as an attending.

The patient had bilateral AV fistulas (one failed). History of multiple tunneled HD lines -- most recently RIJ which was removed shortly before the case. The patient had a history of difficult access and patient/surgeon requested a CVC to facilitate lab draws and access postop. We chose to access LIJ given her recently removed tunneled line.

Access was uncomplicated, but the wire would not advance past 18cm. Placed a 10cm 18g sheath over the wire from our kit and manometry confirmed venous placement, but still after reintroducing the wire I was unable to advance past 18cm. I opted to place the line over the wire I had which was uneventful, but the blood return from the most distal port of the CVL was sluggish (prox and medial ports with brisk blood return). I suspected a possible line malposition, so I brought in fluoro to help confirm line placement and possibly reposition.

Initial image shows line seemingly well positioned but with an odd angulation to the tip of the line and just lateral to the R mainstem bronchus - possible appearance for azygous placement. Introduced a 0.032" wire under fluoro to try and reposition and... the wire goes straight to the RA. Hard to tell if the line was in the azygous and popped out when I introduced the wire or if it was never there to begin with.

NiRvqfz.png


XmOIoa7.png


Patient to PACU, formal CXR and... now the line looks like it's possibly back in the azygous vein? The "down the barrel" view on CXR is a/w azygous placement, but I have no idea as to the specificity.

kKMcasu.png


Ljr80yu.png


What would you do / have done? Do you remove the line? Would you have never placed it with the wire hung up at 18cm in the first place?


As a bonus, here's a diagram from a 2011 AJR paper showing appearance of azygous vein CVLs on PA CXR - also even the radiologists had trouble identifying the less obvious ones. Our rads read her line as at the SVC/brachiocephalic junction with no concern for malposition.

iByDGzB.png

I would not have proceeded with any resistance to the wire. I would have gone to another site and looked for every part of the procedure to go smoothly.
 
Advertisement - Members don't see this ad
I would have removed immediately and stuck the right side if I had the kit open and just had to prep the other side. If line is already in, such as in PACU or mid case, I would leave it and use it.
 
Before prepping a patient like this, I’d scan both sides as proximally as possible. If I don’t see thrombus, I’d go for RIJ out of personal preference.

If I stuck the left IJ and encountered issues at 18cm, I’d pull it back 3cm, confirm intravenous position, secure it at 15cm, and call it a day.
 
Cool diagram.

How come you didn't just stick the R IJ? If the previous tunnel cath was pretty recent then odds are the R IJ is patent.

Also, if you have a C-arm and the pt has ESRD then just call for a big ass bottle of omnipaque and shoot a venogram through a jelco in the vessel of choice before continuing with seldinger.

We should have just gone through the RIJ. The reason we didn't was... a bit of miscommunication. My resident told me the patient had a current tunneled HD line in the RIJ (which was what was listed in Epic), and between the ED thoracotomy to OR and GSW chest (separate cases) in my other room I didn't ask very many questions - just popped in to supervise the line. I didn't realize that the tunneled line was already removed until the drapes came down. Mea culpa - I should have looked myself.

I probably could have just stuck the RIJ above the tunneled line even if it were in situ, but the radiologists get annoyed if we comingle with their lines, which I understand. I mostly dislike LIJ access because of the high rates of malposition, but I'm reluctant to go SC in ESRD patients because of the concerns about subclavian access causing stenosis and compromising outflow for current or future fistulas, though I've never seen any data on it.
 
We should have just gone through the RIJ. The reason we didn't was... a bit of miscommunication. My resident told me the patient had a current tunneled HD line in the RIJ (which was what was listed in Epic), and between the ED thoracotomy to OR and GSW chest (separate cases) in my other room I didn't ask very many questions - just popped in to supervise the line. I didn't realize that the tunneled line was already removed until the drapes came down. Mea culpa - I should have looked myself.

I probably could have just stuck the RIJ above the tunneled line even if it were in situ, but the radiologists get annoyed if we comingle with their lines, which I understand. I mostly dislike LIJ access because of the high rates of malposition, but I'm reluctant to go SC in ESRD patients because of the concerns about subclavian access causing stenosis and compromising outflow for current or future fistulas, though I've never seen any data on it.
Jesus, what kind of a job is this.
 
We should have just gone through the RIJ. The reason we didn't was... a bit of miscommunication. My resident told me the patient had a current tunneled HD line in the RIJ (which was what was listed in Epic), and between the ED thoracotomy to OR and GSW chest (separate cases) in my other room I didn't ask very many questions - just popped in to supervise the line. I didn't realize that the tunneled line was already removed until the drapes came down. Mea culpa - I should have looked myself.

I probably could have just stuck the RIJ above the tunneled line even if it were in situ, but the radiologists get annoyed if we comingle with their lines, which I understand. I mostly dislike LIJ access because of the high rates of malposition, but I'm reluctant to go SC in ESRD patients because of the concerns about subclavian access causing stenosis and compromising outflow for current or future fistulas, though I've never seen any data on it.
Since when can you supervise three residents at once?
 
Pull it back 5cm and secure it there
 
Just can't imagine someone f--king around with fluoro for a line being placed for "lab draws and postop access" when there are two simultaneous thoracotomies in their other rooms
Not that it matters terribly, but the timeline was:

Thoracotomy 1 expires
Place CVL
GSW arrives
GSW to ICU
Back to OR to check line under fluoro at the end of the case

My job rocks, for the record. But sometimes it's busy!
 
Advertisement - Members don't see this ad
We should have just gone through the RIJ. The reason we didn't was... a bit of miscommunication. My resident told me the patient had a current tunneled HD line in the RIJ (which was what was listed in Epic), and between the ED thoracotomy to OR and GSW chest (separate cases) in my other room I didn't ask very many questions - just popped in to supervise the line. I didn't realize that the tunneled line was already removed until the drapes came down. Mea culpa - I should have looked myself.

I probably could have just stuck the RIJ above the tunneled line even if it were in situ, but the radiologists get annoyed if we comingle with their lines, which I understand. I mostly dislike LIJ access because of the high rates of malposition, but I'm reluctant to go SC in ESRD patients because of the concerns about subclavian access causing stenosis and compromising outflow for current or future fistulas, though I've never seen any data on it.
This is what I place in the L IJ if I have wire problems (including failure of the amazing micropuncture wire), other vessels are unavailable, and all I need is med/blood draw access.

2E7A4D1B-0323-4F8E-AC38-0261E79E94C8.jpeg



In a skinny pt you could probably even use the 8cm catheter. I see no issue just using a shorter catheter or pulling the 16cm one back until it’s in the L IJ or innominate vein. Better than being in no man’s land imo.
 
Not that it matters terribly, but the timeline was:

Thoracotomy 1 expires
Place CVL
GSW arrives
GSW to ICU
Back to OR to check line under fluoro at the end of the case

My job rocks, for the record. But sometimes it's busy!
Was thinking more about this …. I would never dilated and insert a line if I can’t fully advance wire or if any doubt, except in the case of emergency or no access at all, in which case I would not hub the catheter and leave it in only 12 cm or something. In your case, however tempting, you should have just stuck the other side or a different site.

After placing the line, I would not fiddle with fluoro in the OR, I would just have a formal CXR. If the line is incorrectly placed it just needs to be removed, or left in place and consult vascular if not in a vein, etc. very unlikely if you had difficulty with the line that you’ll be able to wire it or somehow save it.

I will add that I have seen interventional cardiologists or vascular people able to advance a wire in this situation using a much more expensive and “softer” wire than what is supplied in the CVC kit.
 
Top Bottom