Clear lungs vs COPD lungs?

This forum made possible through the generous support of SDN members, donors, and sponsors. Thank you.
Status
Not open for further replies.

Coughcough

New Member
5+ Year Member
Joined
Mar 26, 2018
Messages
1
Reaction score
1
Points
1,531
  1. Other Health Professions Student
Advertisement - Members don't see this ad
Hi all,
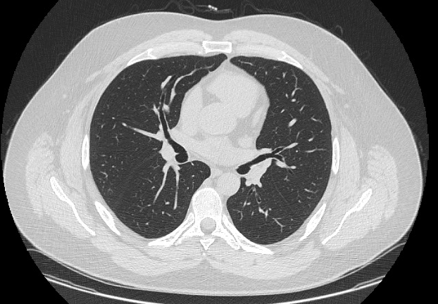
New here, got a bit of fun for you for those who are interested (this is not homework) - take a look at the images attached.

One is a smoker with diagnosed COPD, a small centrilobular lesion is indicated by the white arrow.

The other two are mine, from an MRI scan I had done to investigate a chronic cough, radiologist says my lungs are 'clear'... but I think it looks eerily similar to the COPD example.

I'm interested in genuine opinions from anyone who might care to comment?
I figured a student doctor forum would be a good place to get a 'warts 'n all' opinion - don't worry I won't sue anyone.

Thanks in advance...
 

Attachments

  • Example COPD smoker.jpg
    Example COPD smoker.jpg
    43.9 KB · Views: 153
  • Lung8 cropped.png
    Lung8 cropped.png
    249.7 KB · Views: 159
  • Lung9 cropped.png
    Lung9 cropped.png
    268.3 KB · Views: 171
1. These are CT images.

2. The white arrow is pointing to a bronchus, a normal anatomic structure. It would be very odd for you to not have bronchi.

3. The example "smoker" may have bronchitis, but there's no real signs of emphysema on the image you showed us.

4. As stated previously, the provided images provided from your lungs look clear.
 
Hi all,
New here, got a bit of fun for you for those who are interested (this is not homework) - take a look at the images attached.

One is a smoker with diagnosed COPD, a small centrilobular lesion is indicated by the white arrow.

The other two are mine, from an MRI scan I had done to investigate a chronic cough, radiologist says my lungs are 'clear'... but I think it looks eerily similar to the COPD example.

I'm interested in genuine opinions from anyone who might care to comment?
I figured a student doctor forum would be a good place to get a 'warts 'n all' opinion - don't worry I won't sue anyone.

Thanks in advance...

Please see your doctor for a medical opinion. Good luck.
 
Status
Not open for further replies.
Top Bottom