F-Dopa (AA PET)

This forum made possible through the generous support of SDN members, donors, and sponsors. Thank you.

Gfunk6

And to think . . . I hesitated
Moderator Emeritus
Lifetime Donor
20+ Year Member
Joined
Apr 16, 2004
Messages
5,004
Solutions
1
Reaction score
6,413
Points
6,566
Location
SF Bay Area
  1. Attending Physician
Advertisement - Members don't see this ad
I recently learned about the utility of AA-PET for brain to help distinguish between radiation necrosis and tumor recurrence. Just curious if any of you use this, and if so, who is the vendor.
 
Would love to see if something useful opened up in this space. It is a struggle...in my area some neuro rads guys like MR perfusion or MR spec, some don't. We have a robust CNS program (for a community regional cancer center) with well trained neurosurgeron and neuro rads/neuro IR guys and we struggle with this diagnosis on the imaging side. Even with those images I still get very equiovocal reads and don't have confidence in them.
 
I switched to MR Perfusion from SPECT, as I don't think I had anything other than a hedge read with SPECT. I've had some more definitive calls with Perfusion, but it's still nowhere near where it needs to be.

I'll ping my neuro-oncs and see if they've heard of AA-PET.
 
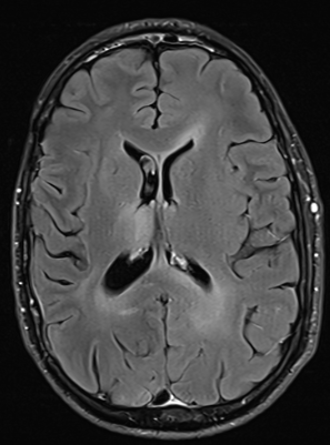
Here is a case example from a patient I treated a while back

Grade 2 glioma on the right side, treated with resection and adjuvant RT
1748327178095.png



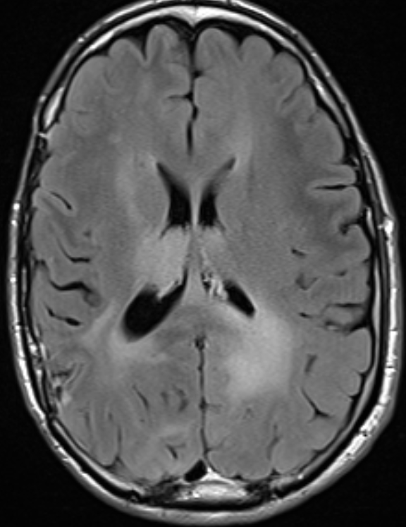
During follow up, possible progression on the left side in the MRI around the posterior ventricle.
1748327265233.png



FET-PET confirms it
1748327448172.png



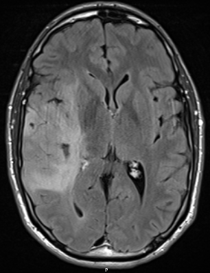
One month later (patient did not undergo tratment yet), MRI finding becomes clearer
1748327624012.png
 
Very intriguing. On a related note, I’ve tried to order a dotatate PET for meningioma treatment planning, and it was flat out denied by Medicare because the diagnosis code is not in the list of approved codes. I imagine there would be a similar issue with AA PET. Anyone have some advice?
 
Very intriguing. On a related note, I’ve tried to order a dotatate PET for meningioma treatment planning, and it was flat out denied by Medicare because the diagnosis code is not in the list of approved codes. I imagine there would be a similar issue with AA PET. Anyone have some advice?
Did you use D32? If you use the xx.9 codes, they usually get rejected.

I had to argue one because insurance approved it but the icd wasn't on out list of approved pet scans.
 
Yea I used D32. An academic rad onc said he codes meningiomas as neuroendocrine tumors to get the pet approved, which seems like fraud so I haven’t done it.
 
I recently learned about the utility of AA-PET for brain to help distinguish between radiation necrosis and tumor recurrence. Just curious if any of you use this, and if so, who is the vendor.

So, one can actually use almost all the available amino acid PETs for this. I most commonly send for fluciclovine (Axumin) cause most PET centers still stock it pretty frequently (despite it being inferior to PSMA), but have also successfully used F-DOPA and C-methionine. Gamechangers!

Very intriguing. On a related note, I’ve tried to order a dotatate PET for meningioma treatment planning, and it was flat out denied by Medicare because the diagnosis code is not in the list of approved codes. I imagine there would be a similar issue with AA PET. Anyone have some advice?

I code these as neuroendocrine tumors (D3A), which is accurate because they express the somatostatin-2 receptor (which is what is being imaged), and just have a one-liner in my note that meningiomas are classifiable in the neuroendocrine family because of their SSTR2 expressivity.
 

Will have to see if local rads willing to pick a tracer. 84% PPV is pretty good. Enough to hedge on re-treatment in many cases (now just a clinical decision making disaster).

Interestingly, Axumin trial excluded from this analysis.

 

Will have to see if local rads willing to pick a tracer. 84% PPV is pretty good. Enough to hedge on re-treatment in many cases (now just a clinical decision making disaster).

Interestingly, Axumin trial excluded from this analysis.

I’m happy to pick whatever will get paid for. Problem is, these tracers are expensive. Facbc is at least 4k a dose. If insurance (or CMS) aren’t paying, we either bill the patient (freestanding/idtf) or the hospital eats the cost (which means they won’t schedule the patient)

There were some changes to help with reimbursement for expensive tracers but I haven’t seen material improvements…
 
So, one can actually use almost all the available amino acid PETs for this. I most commonly send for fluciclovine (Axumin) cause most PET centers still stock it pretty frequently (despite it being inferior to PSMA), but have also successfully used F-DOPA and C-methionine. Gamechangers!
It’s not that they stock it. It’s available from the commercial radiopharmacy they order from still carries it. If someone wants it and the payer will pay it, we’ll order and scan it.
 
Top Bottom