oligomet lung case

This forum made possible through the generous support of SDN members, donors, and sponsors. Thank you.

BobbyHeenan

Full Member
10+ Year Member
Advertisement - Members don't see this ad
59 yo male already on 2L NC due to copd/emphysema.

T2N0M1 (solitary femur neck bone met) non small cell carcinoma, PDL1 40% +, diagnosed 3/2020. Bone met was in femur neck with path fracture - had a lot of tumor removed, ortho fixation, then post op 30 Gy in 10 fractions back at diagnosis.

He's now 1 year out on nivo/ipi and his only site of disease is his primary lung tumor - it went from 4 cm to 2 cm but still there. His KPS is good at around 80.

I'm thinking (and med onc agrees) it's time for SBRT to his primary. I'm a little nervous about the dual immunotherapy now though (he's on a regimen of like opdivo Q2 weeks, nivo like Q4 or something like that). It's not a big target but if he gets a big pneumonitis (either from SBRT or immunotherapy he'll definitely decline).

We discussed possibly dropping to opdivo around 12 weeks as monotherapy and making sure that goes OK if we do SBRT to the lung lesion.

Any thoughts here? I enroll in some NRG trials, but don't have anything open for him on study right now.
 
Combined radiation and immunotherapy increases the risk of pneumonitis (see here: https://ascopubs.org/doi/abs/10.1200/JCO.2020.38.15_suppl.e15099?af=R).

Dual immuno likely further increases the risk. Nonetheless, this patient is potentially curable. I think doing SBRT and dropping to single agent immuno for a couple of months is reasonable. The ongoing pacific-4 trial does sbrt with concurrent and adjuvant durvalumab.

No right or wrong answer. I would counsel the patient on increased risk of pneumonitis and small risk of needing prolonged steroids, potentially interfering with immunotherapy. But at the same time you could possibly cure him. If he's okay with that small risk, then go for it and be very strict with your lung constraints.
 
Advertisement - Members don't see this ad
Most of the time, the med oncs I work with would stop IO if there is no measurable disease (I.e. if you ablate the met)

a lot of people think the immune response will continue anyway, and you can always restart if he progresses elsewhere.
 
Most of the time, the med oncs I work with would stop IO if there is no measurable disease (I.e. if you ablate the met)

a lot of people think the immune response will continue anyway, and you can always restart if he progresses elsewhere.


Like you alluded to, what is the effective half life of IO? The effects linger way after the drug is cleared. Increased risk for pneumonitis, but doesn’t matter if you stop it the week before. Would still favor treating in this scenario however.
 
Like you alluded to, what is the effective half life of IO? The effects linger way after the drug is cleared. Increased risk for pneumonitis, but doesn’t matter if you stop it the week before. Would still favor treating in this scenario however.

If you keep V20 < ~10%, V13%< 25% with 5 fraction, you should be alright most of the time.

if volumetric constraints are getting close with 5 fraction, open up to 7.5 Gy x 8

ive done this a few times and haven’t had trouble **knock on wood.
 
59 yo male already on 2L NC due to copd/emphysema.

T2N0M1 (solitary femur neck bone met) non small cell carcinoma, PDL1 40% +, diagnosed 3/2020. Bone met was in femur neck with path fracture - had a lot of tumor removed, ortho fixation, then post op 30 Gy in 10 fractions back at diagnosis.

He's now 1 year out on nivo/ipi and his only site of disease is his primary lung tumor - it went from 4 cm to 2 cm but still there. His KPS is good at around 80.

I'm thinking (and med onc agrees) it's time for SBRT to his primary. I'm a little nervous about the dual immunotherapy now though (he's on a regimen of like opdivo Q2 weeks, nivo like Q4 or something like that). It's not a big target but if he gets a big pneumonitis (either from SBRT or immunotherapy he'll definitely decline).

We discussed possibly dropping to opdivo around 12 weeks as monotherapy and making sure that goes OK if we do SBRT to the lung lesion.

Any thoughts here? I enroll in some NRG trials, but don't have anything open for him on study right now.
Also agree with SBRT here. But my real question is: why is this guy on ipi/nivo? Why not pembro (which is much safer) or a similar single agent? Perhaps the hemeonc of this patient is in the pocket of Bristol Meyers Squibb?
 
Also agree with SBRT here. But my real question is: why is this guy on ipi/nivo? Why not pembro (which is much safer) or a similar single agent? Perhaps the hemeonc of this patient is in the pocket of Bristol Meyers Squibb?
Because of this trial

The drug companies are evil. Now dual immuno becomes standard. But I bet you if they just did single immuno vs chemo, it would have been the same. But hey, why not double the amount you charge?
 
Advertisement - Members don't see this ad
Because of this trial

The drug companies are evil. Now dual immuno becomes standard. But I bet you if they just did single immuno vs chemo, it would have been the same. But hey, why not double the amount you charge?

I actually think his treatment is based on Checkmate 227 results

From what BobbyHeenan described he's been on IO for a year now and hasn't gotten any chemotherapy, at least he didn't mention it.

Checkmate 227 results came out at ESMO 2019, FDA approval was in May 2020.
 

This is very confusing issue. Found this practice update and I think doc does good job explaining where we are in terms of chemo/immuno, dual immuno or single agent and even she admits confusion.

I actually think his treatment is based on Checkmate 227 results
https://www.nejm.org/doi/full/10.1056/NEJMoa1910231
I didn't even see any comparison of single vs. dual immunotherapy in this paper despite 1:1:1 randomization. Do we have any data supporting dual immunotherapy over single agent outside of response rate?
 
Because of this trial

The drug companies are evil. Now dual immuno becomes standard. But I bet you if they just did single immuno vs chemo, it would have been the same. But hey, why not double the amount you charge?
Seems that this trial was published after that patient was diagnosed so not sure about that.

But the point still remains - sure, ipi/nivo/chemo is superior to chemo alone (this is similar to the case with pembro in Gandhi et al NEJM). But right now I see zero reason anyone would want to use dual immune checkpoint inhibition over a single agent like pembro (I have not received any money from either BMS or Merck).

If anything, someone should compare ipi/nivo to pembro, but no drug company would sponsor that "clash of the titans" study. That NEJM paper Palex referred to wasn't even designed for an adequate comparison of nivo vs ipi/nivo - notice how they conveniently tucked those results away at a random place in the result section and barely mentioned it anywhere else including the abstract. I was reading thru the abstract and was like "dude, this is a treatment arm and yet there is zero info on this arm in the abstract...WTF?"

But this is what you get with evil drug companies...that paper reeks of BMS having their hands all over it and conflicts of interests completely screwing up the conclusions from that paper. BMS always wants to make double the money so they'd never try to de-escalate their drugs...
 
Seems that this trial was published after that patient was diagnosed so not sure about that.

But the point still remains - sure, ipi/nivo/chemo is superior to chemo alone (this is similar to the case with pembro in Gandhi et al NEJM). But right now I see zero reason anyone would want to use dual immune checkpoint inhibition over a single agent like pembro (I have not received any money from either BMS or Merck).

If anything, someone should compare ipi/nivo to pembro, but no drug company would sponsor that "clash of the titans" study. That NEJM paper Palex referred to wasn't even designed for an adequate comparison of nivo vs ipi/nivo - notice how they conveniently tucked those results away at a random place in the result section and barely mentioned it anywhere else including the abstract. I was reading thru the abstract and was like "dude, this is a treatment arm and yet there is zero info on this arm in the abstract...WTF?"

But this is what you get with evil drug companies...that paper reeks of BMS having their hands all over it and conflicts of interests completely screwing up the conclusions from that paper. BMS always wants to make double the money so they'd never try to de-escalate their drugs...
Had the exact same thought! Like seriously? They completely left out the results for one of the treatment arms from the abstract. I don't blame them though. I blame the crappy NEJM reviewers/editor who let that slide
 
I didn't even see any comparison of single vs. dual immunotherapy in this paper despite 1:1:1 randomization. Do we have any data supporting dual immunotherapy over single agent outside of response rate?

OF COURSE NOT. But this is a NEJM-paper, you infidel! Be quiet and prescribe the combo! 😛

It is an FDA approved treatment. We don't get the combo reimbursed in Europe for NSCLC and BMS withdrew its application in Europe.

If you want to read a bit more on the design issues of the trial and its interpretation have a look at this:

And for those who questioned if Ipi adds anything to Nivo for patient with PD-L1-positive tumors, there is one similar comparison already performed with Pembro +/- Ipi
It was negative.
 
Last edited:
OF COURSE NOT. But this is a NEJM-paper, you infidel! Be quiet and prescribe the combo! 😛

It is an FDA approved treatment. We don't get the combo reimbursed in Europe for NSCLC and BMS withdrew its application in Europe.

If you want to read a bit more on the design issues of the trial and its interpretation have a look at this:

And for those who questioned if Ipi adds anything to Nivo for patient with PD-L1-positive tumors, there is one similar comparison already performed with Pembro +/- Ipi
It was negative.
50% rate of grade 3-5 toxicities in the pembro alone arm in that JCO paper. Yikes...can you imagine what hemeoncs and surgoncs would do to us if radiation had that kind of toxicity rate?
 
50% rate of grade 3-5 toxicities in the pembro alone arm in that JCO paper. Yikes...can you imagine what hemeoncs and surgoncs would do to us if radiation had that kind of toxicity rate?
These are extremely high rates of published toxicity. Death at 15 and 7% is not comparable to the Ipi/Nivo trial (where 2% death by treatment still far exceeds what we are likely to ever cause with XRT). I commend authors for transparency. Toxicity analysis is in my opinion one of the least reliable parts of most clinical trials (everyone who has given concurrent Erbitux for H&N knows this).

Original post is great. I think I would want immuno stopped in this setting before SBRT. No data to guide me, just that duration of immunotherapy is open question anyway and likely effective to some degree after cessation. Patient exposed to dual immunotherapy and with marginal pulmonary status means that easy to second guess SBRT at all.
 
I'm not sure exactly what paper is guiding the systemic therapy protocol. His med onc is typically very reasonable and good in my experience with him.

This guy has never had any cytotoxic chemo. He's on Nivolumab (q2weeks)/ipilumumab (q6weeks).
 
Technically speaking, if this is going to be "curative," is it really a big deal to stop the immunotherapy? For good. Or just wait til it's done.

I asked about this. Apparently the protocol/paper he's going off of (?or maybe just his preference?) says continue for 2 years or until progression. So no plans to stop it.
 
These are extremely high rates of published toxicity. Death at 15 and 7% is not comparable to the Ipi/Nivo trial (where 2% death by treatment still far exceeds what we are likely to ever cause with XRT).
A 50% rate of grade 3+ side effects is high for pembro alone, no? If you look at the prombro alone arms of KEYNOTE-024 and -042 that G3+ rate was MUCH lower.
 
Advertisement - Members don't see this ad
Why not refer out for cryoablation if medonc is unwilling to change their immuno regiment? 2cm should be ablatable depends on location.
 
Why not refer out for cryoablation if medonc is unwilling to change their immuno regiment? 2cm should be ablatable depends on location.

It's pretty deep and lots of emphysematous changes in lungs, but that's a good thought. We rarely do cryo for lung but have a hand full of cases over the years, so that may be feasible. Typically I'm not a huge fan of cryo for small lung tumors because data for SBRT is so much stronger, but this may be reasonable.
 
Why not refer out for cryoablation if medonc is unwilling to change their immuno regiment? 2cm should be ablatable depends on location.

Please provide data for ablative utility and outcomes in this scenario.

We should not provide a patient unproven therapies when all it takes to make this not an issue is to hold the IT for a little bit or just drop it down to single agent nivo which has evidence for being safe to treat concurrently with radiation : Multi-institutional report on toxicities of concurrent nivolumab and radiation therapy

Seeing somebody who is on Ipi AND Nivo just for maintenance makes minimal sense to me.
 
Why not refer out for cryoablation if medonc is unwilling to change their immuno regiment? 2cm should be ablatable depends on location.
Prospective data on cryo is weak, and local control is much less than what we would expect with SBRT. I would much rather give the patient a higher grade toxicity and control the disease than cause a LR without side effects.

Of course, much of this would not have been an issue had those hemeoncs used something other than combined ipi/nivo...maybe @BobbyHeenan it is worth talking to them about using that and how it may make your life easier if they used single agents...just a thought for the future...
 
It's pretty deep and lots of emphysematous changes in lungs, but that's a good thought. We rarely do cryo for lung but have a hand full of cases over the years, so that may be feasible. Typically I'm not a huge fan of cryo for small lung tumors because data for SBRT is so much stronger, but this may be reasonable.

if deep and there are a lot of emphysematous changes this patient doesn’t sound like a great candidate then.

the other issue is that the evidence for lung ablation currently is not super strong and the expertise for it is relatively concentrated in a few centers. It’s by far not a common thing for IRs to do.

There is some new prospective data on lung ablation (Multicenter Study of Metastatic Lung Tumors Targeted by Interventional Cryoablation Evaluation (SOLSTICE) - PubMed) came out last year which showed pretty good local control for mets.

Benefit of ablation in my opinion is its repeatability without concern for cumulative radiation doses. Right now in my practice we only use ablation as a salvage modality if further SBRT is not possible. In my opinion SBRT is definitely the first line nonsurgical intervention for lung CA and lung mets given the current data.
 
if deep and there are a lot of emphysematous changes this patient doesn’t sound like a great candidate then.

the other issue is that the evidence for lung ablation currently is not super strong and the expertise for it is relatively concentrated in a few centers. It’s by far not a common thing for IRs to do.

There is some new prospective data on lung ablation (Multicenter Study of Metastatic Lung Tumors Targeted by Interventional Cryoablation Evaluation (SOLSTICE) - PubMed) came out last year which showed pretty good local control for mets.

Benefit of ablation in my opinion is its repeatability without concern for cumulative radiation doses. Right now in my practice we only use ablation as a salvage modality if further SBRT is not possible. In my opinion SBRT is definitely the first line nonsurgical intervention for lung CA and lung mets given the current data.

Local control data from that trial looks fair at 1 year, but in the COMET trial at least, SBRT wasn't associated with any grade 2-5 events. Additionally, the lesions in the cryo trial were rather small, at a median of 1 cm.

I think cryo can play a role, but I also believe at the present the data supports it being limited to recurrence after SBRT, if repeat SBRT is not feasible. We do have some data which suggests repeat lung SBRT can be achieved depending on location.
 
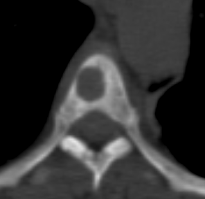
Got cubrsided about a patient today. Young, like 53, nurse, etc, with this PET slice. LUL mass and adenopathy up to 2L. Otherwise negative PET excepting this thing at T5, which is gonna be biopsied. Just strategizing, but if oligometastatic, would you all opt to treat T5 concurrently to as close to 60 Gy as possible or separately with SBRT? Disease above and below this anatomically.
1646424809483.png

Looks like this on CT, so some concern too about compromising integrity of vert body (further)
1646424920271.png

Could probably avoid the cord entirely while treating the nodes and primary.
 
If that is a met, I'd treat like NRG LU002 and start with chemo/IO and then treat the primary as you see fit (they use 3 Gy x 15) and treat the spine with SBRT as a separate plan/iso etc. You could treat primary disease and metastasis at the same time or sequentially. Someone at Evicore will tell you how to sequence it 🙂
 
This is an NSCLC, right? Do you have any further markers? Female, rather young --> EGFR?
Just curbsided about the pet and what to do, so no tissue yet. She had an old ct chest with no bone mass 3 yrs ago. Sure, could be mutation positive, but she is a smoker. Just wondering how ppl might approach something like that in the same plane if following oligomet approach. I've done oligomet prostate with single adjacent pelvic bone met I treated to 60/20 concurrently. Can't say I'm much of a fan of 45/15. This could easily be done with two separate plans, but wondering if more easily done with one.
 
Advertisement - Members don't see this ad
I didn't even see any comparison of single vs. dual immunotherapy in this paper despite 1:1:1 randomization. Do we have any data supporting dual immunotherapy over single agent outside of response rate?
The comparison between single vs dual is in the supplementary appendix, Table S2. For PD-L1 > 1%, relative OS for chemo, single, dual is 0.79, 0.9, and 1. For PD-L1 < 1%, it is 0.62, 0.77, and 1. For the combined analysis, I'm not sure how the p-value would fall out if we were to compare single vs dual. There are asterisks in this table so a direct comparison might have some errors. My guess is that while dual beats chemo with p = 0.007 in the primary analysis, the differences between chemo against single, as well as single against dual, would be borderline -- you are basically halving the effect size and I would imagine this would push the p-value past the 0.05 boundary (though I've consulted no tables to make this judgment).

Had the exact same thought! Like seriously? They completely left out the results for one of the treatment arms from the abstract. I don't blame them though. I blame the crappy NEJM reviewers/editor who let that slide
At face value, I think that they are following the editorial guidelines on how to report primary vs hierarchical secondary endpoints. Of course, at a deeper level, you could argue (and I would agree) that they biased the statistical analysis plan in order to achieve the most profitable outcome.
 
Agree would start with chemoIO or IO and consolidate if does well
Agree. It’s biology (ie, response to systemic) that will drive outcome and hence benefit of RT. Until there is a better way to predict things based on pathology, kinda have to use test of time to select patients.
 
Agreed. The question was, then, what consolidation approach would people take to a vertebral met in the same anatomic plane as the thoracic disease? Sbrt the spine and conventionally fractionate the thoracic disease (or 45/15), or treat it all at once.
Multiple ways to skin this kitty but if it’s in the same plane I personally would just include it in my conventionally fractionated PTV volume. See this from time to time with prostate and pelvic osseous mets. Works fine.
 
Yeah I see no major issue with however you want to do it in the consolidation setting. It’s all likely to be the same. Local failure is unlikely to be the issue. One iso makes sense to me, for patient ease.
 
Got cubrsided about a patient today. Young, like 53, nurse, etc, with this PET slice. LUL mass and adenopathy up to 2L. Otherwise negative PET excepting this thing at T5, which is gonna be biopsied. Just strategizing, but if oligometastatic, would you all opt to treat T5 concurrently to as close to 60 Gy as possible or separately with SBRT? Disease above and below this anatomically.
View attachment 351353
Looks like this on CT, so some concern too about compromising integrity of vert body (further)
View attachment 351354
Could probably avoid the cord entirely while treating the nodes and primary.

Either way is fine. 45/15 to T5 GTV and PET avidity should be doable while respecting cord constraints. Could do SBRT as well. Agree with others who have said systemic therapy first - that is my general preferred approach to most of these oligomet cases. Hate to get aggressive on a tumor with bad biology who blows up at 3 month re-imaging (or god forbid, earlier)