Retroperitoneal sarcoma delineation

This forum made possible through the generous support of SDN members, donors, and sponsors. Thank you.

Palex80

RAD ON
15+ Year Member
Joined
Dec 17, 2007
Messages
3,830
Reaction score
5,531
Points
6,441
Age
45
Location
Europe
  1. Attending Physician
Advertisement - Members don't see this ad
Hello!

I have a question concerning the delineation of a retroperitoneal sarcoma.

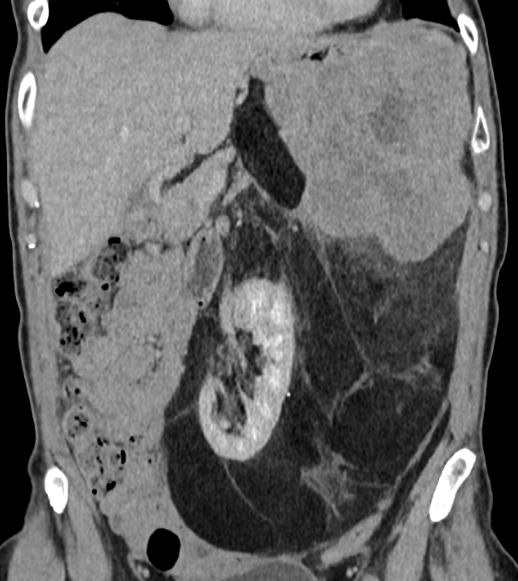
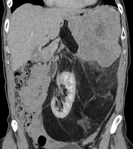
This patient has a dedifferentiated RPS, the biopsy was performed in the solid mass in the upper left abdomen. It's a high-grade liposarcoma, not metastatic.

However, as you can see, there is a considerable mass, which likely represents well differentiated sarcoma, reaching very far into the pelvis.
1711006682349.png


Neoadjuvant treatment is planned with chemo + RT, followed by surgery.

Would any of you consider
- to irradiate only the solid tumor component in the upper abdomen and ignore the rest
- to deliver a lower dose to the presumed well-differentiated component than in the solid component. This would resemble a bit the HR-CTV-approach, where higher doses are pursued at the projected resection margins and lower doses are accepted in non-critical areas, in order to reduce doses to OARs.

Published guidelines do not really distinguish this, and I understand that the risk of dedifferentiation is everywhere and not 100% corresponding to what we see on imaging. On the other hand, delivering 45-50 Gy to the entire extent of the tumor will be quite toxic.

Thoughts?
 
I would be very hesitant to treat that whole field (likely >30cm) with concurrent chemo. I’ve moved away from treating huge RP sarcomas since the lancet study was published a couple years ago, granted I haven’t seen something as ugly as the superior portion of that tumor in a while! What is 45 Gy with chemo to a Lipoma going to really do?

 
Last edited:
Hello!

I have a question concerning the delineation of a retroperitoneal sarcoma.

This patient has a dedifferentiated RPS, the biopsy was performed in the solid mass in the upper left abdomen. It's a high-grade liposarcoma, not metastatic.

However, as you can see, there is a considerable mass, which likely represents well differentiated sarcoma, reaching very far into the pelvis.
View attachment 384351

Neoadjuvant treatment is planned with chemo + RT, followed by surgery.

Would any of you consider
- to irradiate only the solid tumor component in the upper abdomen and ignore the rest
- to deliver a lower dose to the presumed well-differentiated component than in the solid component. This would resemble a bit the HR-CTV-approach, where higher doses are pursued at the projected resection margins and lower doses are accepted in non-critical areas, in order to reduce doses to OARs.

Published guidelines do not really distinguish this, and I understand that the risk of dedifferentiation is everywhere and not 100% corresponding to what we see on imaging. On the other hand, delivering 45-50 Gy to the entire extent of the tumor will be quite toxic.

Thoughts?
I’ve seen this a few times and I dont know the right answer. What I can say is that treating the entire volume to 45 Gy with a good VMAT plan actually shouldn’t be that toxic. Everything is displaced and it actually goes surprisingly well.
 
What is 45 Gy with chemo to a Lipoma going to really do?
I have seen quite a few myxoid liposarcomas respond very well to neoadjuvant 45-50 Gy without chemo, including several cases with pCR.
This is however a distinct histology and data on good responders are mainly from patients with extremity sarcomas.

 
Neoadjuvant chemo for a de-differentiated liposarcoma? Why? There's a question if neoadjuvant RT is even beneficial in these cases, now we're doing chemo with it? Concurrent? Sequential prior to RT? What's the rationale for a disease process that develops metastatic disease like < 1-5% of the time??

RPS, in-situ, displaces normal organs. That patient's kidney will overwhelmingly likely be remove (assuming their second one on opposite is present and functional) at the time of the surgery assuming that's all well-diff LPS wrapping around it. I would take everything to 45Gy. Fine to underdose to meet ipsilateral kidney constraints, but again, the kidney will sacrificed at surgery.

I do like treating the 'rind' where the positive margin is most likely (like along the postero/lateral retroperitoneum) up to about 60-65Gy SIB in same 25 fractions, kind of like a FLAME-style boost.

I would be OK underdosing the anteromedial aspect of the tumor (where concern for margin is not an issue) to respect dose constraints.
 
My experience and thoughts, as these are also part of my practice:

I have some more gross pathology slides from old tumor boards stashed away somewhere. Anywhere you see mass effect from adjacent fat is likely to be at risk for the well-differentiated component, so could be at risk of local failure. The only way to tell would be with histological examination. The necrosis here is the de-differentiated component.

Screenshot 2024-03-21 at 11.24.30 AM.png


As far as I am aware, surgical removal should include the 'well-differentiated' lipomatous component for this, and so I include it when feasible as part of the CTV. Sometimes it does get too large to treat it in its entirety and so it does get omitted occasionally, but I make an attempt. More than likely their outcomes will be driven by the dedifferentiated component though.

I agree that usually with VMAT these are well tolerated with RT alone, as the bowel is usually only at the margin. Baldini has some data showing usual bowel constraints are probably overly conservative with RT alone. With chemo, I am not sure if this holds, but practice patterns locally are with RT alone and not with chemo and so I do not have any direct experience.

There is now starting to be more outcomes data on escalating dose to the posterior margin/high risk area with SIB technique. This seems to improve local control, however the data is confounded with more lipomatous histologies being selected for RT since the STRASS trial being published. I would consider discussing it with your surgical team if it is not planned.

Hope that helps.
 
Neoadjuvant chemo for a de-differentiated liposarcoma? Why? There's a question if neoadjuvant RT is even beneficial in these cases, now we're doing chemo with it? Concurrent? Sequential prior to RT? What's the rationale for a disease process that develops metastatic disease like < 1-5% of the time??

RPS, in-situ, displaces normal organs. That patient's kidney will overwhelmingly likely be remove (assuming their second one on opposite is present and functional) at the time of the surgery assuming that's all well-diff LPS wrapping around it. I would take everything to 45Gy. Fine to underdose to meet ipsilateral kidney constraints, but again, the kidney will sacrificed at surgery.

I do like treating the 'rind' where the positive margin is most likely (like along the postero/lateral retroperitoneum) up to about 60-65Gy SIB in same 25 fractions, kind of like a FLAME-style boost.

I would be OK underdosing the anteromedial aspect of the tumor (where concern for margin is not an issue) to respect dose constraints.
One more comment - the distant metastasis rate for a tumor like this I would expect far exceeds <5%. Difficult to say an estimated distant met rate here, but some series peg it for DD-LPS at 30%. The role of neoadjuvant chemotherapy in RPS is currently under evaluation with STRASS2.
 
The idea is a neoadjuvant chemo-RT approach with the aim to achieve downsizing and facilitate resection.

The surgeons are concerned about a positive margin if they resect upfront.

The question of simultaneous vs. sequential treatment is valid. When possible we go for simultaneous, starting RT with the second cycle based on this Italian trial:

 
Advertisement - Members don't see this ad
One more comment - the distant metastasis rate for a tumor like this I would expect far exceeds <5%. Difficult to say an estimated distant met rate here, but some series peg it for DD-LPS at 30%. The role of neoadjuvant chemotherapy in RPS is currently under evaluation with STRASS2.
Hmm perhaps I am mis-remembering. Maybe < 1% is just for WD-LPS

This study said distant metastasis rate of 17% for DD-LPS: Dedifferentiated liposarcoma: a clinicopathological analysis of 155 cases with a proposal for an expanded definition of dedifferentiation - PubMed

Good to know it's under study with STRASS2, but it appears STRASS2 does not include pre-op RT.

The idea is a neoadjuvant chemo-RT approach with the aim to achieve downsizing and facilitate resection.

The surgeons are concerned about a positive margin if they resect upfront.

The question of simultaneous vs. sequential treatment is valid. When possible we go for simultaneous, starting RT with the second cycle based on this Italian trial:


Still not sure if there's a benefit of the additional toxicity that adding chemotherapy to RT... especially when 10/83 patients (12%) couldn't complete their RT because of the chemo. Which, given LR is a far more prevalent issue with DD-LPS, seems like it doesn't make routine sense.
 
LR is absolutely an issue too, I agree. Just nasty tumors all around. Would love to see more work looking at either hypofrac for these or the Not-Spraker special spatially fractionated RT
 
Hello!

I have a question concerning the delineation of a retroperitoneal sarcoma.

This patient has a dedifferentiated RPS, the biopsy was performed in the solid mass in the upper left abdomen. It's a high-grade liposarcoma, not metastatic.

However, as you can see, there is a considerable mass, which likely represents well differentiated sarcoma, reaching very far into the pelvis.
View attachment 384351

Neoadjuvant treatment is planned with chemo + RT, followed by surgery.

Would any of you consider
- to irradiate only the solid tumor component in the upper abdomen and ignore the rest
- to deliver a lower dose to the presumed well-differentiated component than in the solid component. This would resemble a bit the HR-CTV-approach, where higher doses are pursued at the projected resection margins and lower doses are accepted in non-critical areas, in order to reduce doses to OARs.

Published guidelines do not really distinguish this, and I understand that the risk of dedifferentiation is everywhere and not 100% corresponding to what we see on imaging. On the other hand, delivering 45-50 Gy to the entire extent of the tumor will be quite toxic.

Thoughts?

I've treated a fair number of these. I would recommend you treat the whole thing as you cannot reliably rule out a dedifferentiated component inside what looks radiographically well differentiated. On that note, I generally would get a Lasix scan to evaluate the differential function of the kidneys if not already done. If the patient is resectable, that kidney is coming out so no need to worry about roasting it (hopefully the other one is functioning great).

Also, make sure you image and evaluate the whole RP all the way down to the inguinal canal and into the scrotum. I would not electively treat any areas, but that whole space is at risk in these patients and might harbor gross tumor.

Presumably you mean sequential chemo then radiation then surgery. There is not really data to support chemoradiation.

STRASS makes this tough. I would treat because the risk of local failure is going to be very high. It will not be an R0 resection. Regardless, though, distant metastasis from the high grade component is the highest risk. So are they old and frail? You need to decide how much you worry about differential risk of local failure in this patient because your treatment is unlikely to improve survival in this case with such a large high grade component.

This is the reason I like chemotherapy up front with restaging prior to radiotherapy to determine if someone is "imminently metastatic" at diagnosis.

It is very unlikely chemo and/or radiation will shrink this tumor significantly. Its important to establish whether the patient is resectable up front or not. The indication for chemo is to improve PFS (maybe OS, under study as stated) and the indication for radiotherapy is to improve local control.

If you are going to treat, I'd recommend 45-50 Gy to the whole tumor (including low grade portions) with an SIB to the surgically high risk areas, ie the areas where positive margins are likely. This is almost always along the posterior abdominal wall and vessels, but talk to your surgeon. That is the idea behind that technique. Delaney data shows it is safe if you can meet constraints. Watch the contralateral ureter. I routinely used V55 Gy < 20 cc for small bowel and have had no issues. Data demonstrates this should be safe.

It is okay not to treat if that makes the most sense to you. This is the message of the STASS trial. It becomes a very pancreas-like conversation. It's just that in this kind of case LR risk is ramped up soooo high (due to the very high risk of R1 resection), I would be biased to treat.

Happy to jump on a zoom and review targets/contours if thats helpful, feel free to DM.

LR is absolutely an issue too, I agree. Just nasty tumors all around. Would love to see more work looking at either hypofrac for these or the Not-Spraker special spatially fractionated RT

If this was unresectable up front, I would use Lattice SBRT after chemotherapy. We/they have great control data that has been presented at CTOS. I have no idea if this will ever see the light of day in a paper, you'd have to ask the current study team since WashU has serious challenges collaborating with outsiders.

I guess for now you'd have to take my word for it that we treated >100 patients, huge tumors, good control, and rare >g2 toxicities.
 
I've treated a fair number of these. I would recommend you treat the whole thing as you cannot reliably rule out a dedifferentiated component inside what looks radiographically well differentiated. On that note, I generally would get a Lasix scan to evaluate the differential function of the kidneys if not already done. If the patient is resectable, that kidney is coming out so no need to worry about roasting it (hopefully the other one is functioning great).

Also, make sure you image and evaluate the whole RP all the way down to the inguinal canal and into the scrotum. I would not electively treat any areas, but that whole space is at risk in these patients and might harbor gross tumor.

Presumably you mean sequential chemo then radiation then surgery. There is not really data to support chemoradiation.

STRASS makes this tough. I would treat because the risk of local failure is going to be very high. It will not be an R0 resection. Regardless, though, distant metastasis from the high grade component is the highest risk. So are they old and frail? You need to decide how much you worry about differential risk of local failure in this patient because your treatment is unlikely to improve survival in this case with such a large high grade component.

This is the reason I like chemotherapy up front with restaging prior to radiotherapy to determine if someone is "imminently metastatic" at diagnosis.

It is very unlikely chemo and/or radiation will shrink this tumor significantly. Its important to establish whether the patient is resectable up front or not. The indication for chemo is to improve PFS (maybe OS, under study as stated) and the indication for radiotherapy is to improve local control.

If you are going to treat, I'd recommend 45-50 Gy to the whole tumor (including low grade portions) with an SIB to the surgically high risk areas, ie the areas where positive margins are likely. This is almost always along the posterior abdominal wall and vessels, but talk to your surgeon. That is the idea behind that technique. Delaney data shows it is safe if you can meet constraints. Watch the contralateral ureter. I routinely used V55 Gy < 20 cc for small bowel and have had no issues. Data demonstrates this should be safe.

It is okay not to treat if that makes the most sense to you. This is the message of the STASS trial. It becomes a very pancreas-like conversation. It's just that in this kind of case LR risk is ramped up soooo high (due to the very high risk of R1 resection), I would be biased to treat.

Happy to jump on a zoom and review targets/contours if thats helpful, feel free to DM.



If this was unresectable up front, I would use Lattice SBRT after chemotherapy. We/they have great control data that has been presented at CTOS. I have no idea if this will ever see the light of day in a paper, you'd have to ask the current study team since WashU has serious challenges collaborating with outsiders.

I guess for now you'd have to take my word for it that we treated >100 patients, huge tumors, good control, and rare >g2 toxicities.
We will take your word for it.
 
Good to know it's under study with STRASS2, but it appears STRASS2 does not include pre-op RT.

Investigators don't like radiation and the trial was negative 🤷‍♂️ The STRASS radiation was not great, many centers treating a very low number of cases with huge volumes and unclear technology. Toxicities were way higher than I saw in my VMAT with 4D and modern targets practice.

For what it's worth, Im not as convinced liposarcoma = radiation benefit as those authors. These cases are complicated and benefit likely depends on more than just histology. Well diff and high grade de diff liposarcoma also are basically different diseases for the purposes of discussion of radiotherapy benefit.

Still not sure if there's a benefit of the additional toxicity that adding chemotherapy to RT... especially when 10/83 patients (12%) couldn't complete their RT because of the chemo. Which, given LR is a far more prevalent issue with DD-LPS, seems like it doesn't make routine sense.

Totally reasonable to feel this way, but I would not argue against the medical oncologist unless the patient was frail. STRASS would argue that with no chemotherapy, there is no OS benefit to radiotherapy. Remember there is not even a hint of OS benefit for liposarcoma in the original study, that is essentially an unproven assumption based on retrospective data. IMO the argument for radiation is "as valid" as the argument for chemotherapy.

DD-LPS has more prevalent recurrence of both types, but has a very high competing DM risk compared to WD. I think this patient has a fairly high risk of DM assuming all that solid stuff and maybe more is DD component.

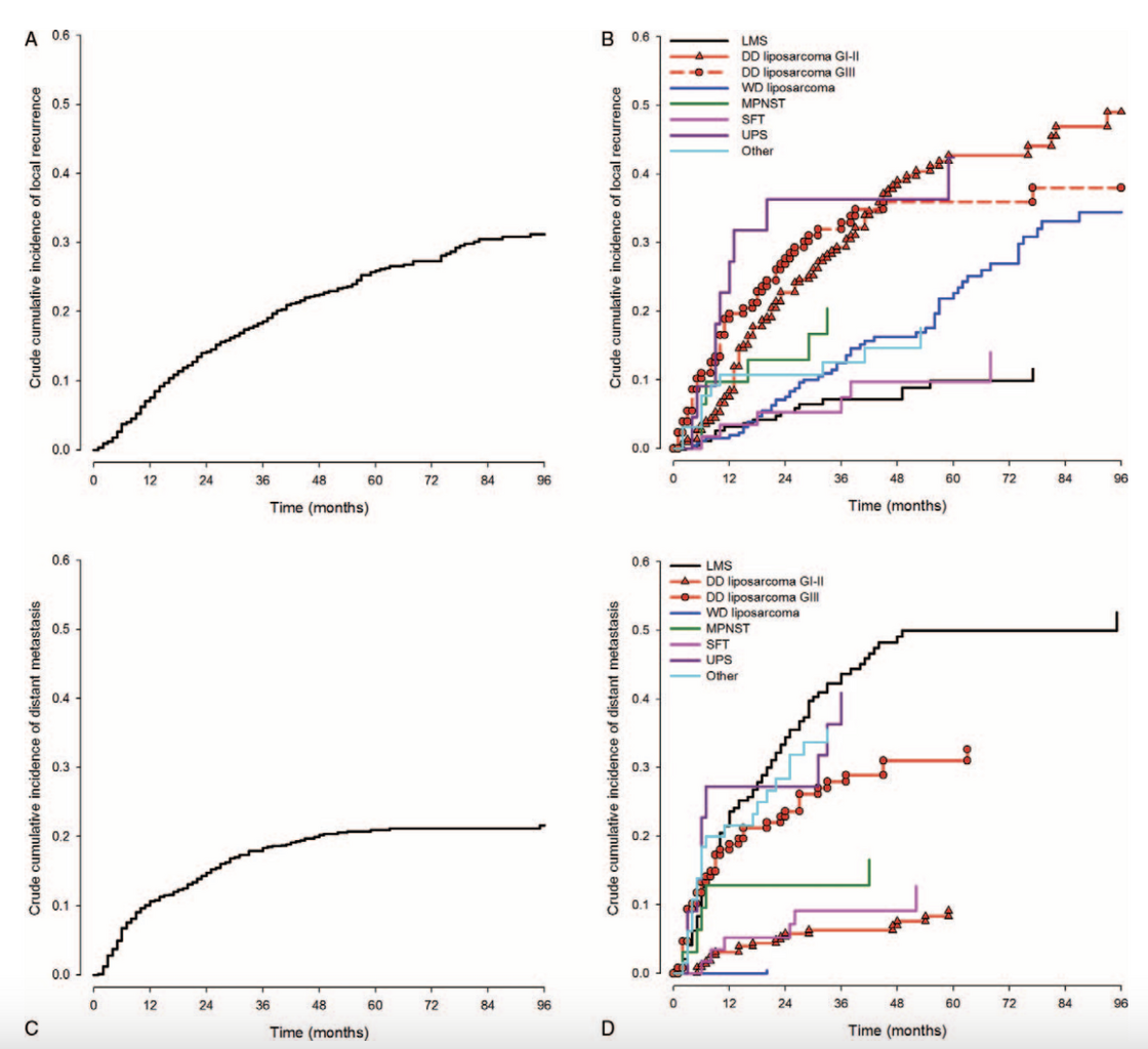
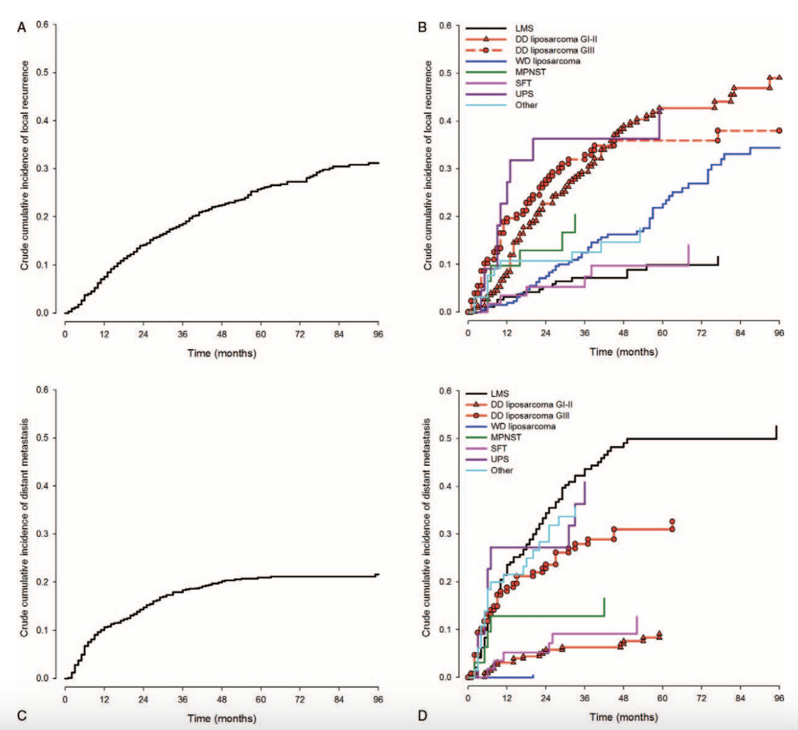
Remarkable series here, >1000 patients: Variability in Patterns of Recurrence After Resection of Primary Retroperitoneal Sarcoma (RPS): A Report on 1007 Patients From the Multi-institutional Collaborative RPS Working Group - PubMed



1711082225198.png
 
Happy to jump on a zoom and review targets/contours if thats helpful, feel free to DM.
Thank you very much, dear Matt, for this wonderful piece of advice and the offer!
 
- to irradiate only the solid tumor component in the upper abdomen and ignore the rest


Thoughts?
I've had 1 very similar patient and after discussing with surgeon this is what I did; boosting the rind area along the abdominal wall.
 
I've had 1 very similar patient and after discussing with surgeon this is what I did; boosting the rind area along the abdominal wall.

Harvard approach is like this, makes sense. We are really treating just for that margin part anyways in reality though issue is not knowing if they will go to surgery, so kind of forced to treat it all.

 
Investigators don't like radiation and the trial was negative 🤷‍♂️ The STRASS radiation was not great, many centers treating a very low number of cases with huge volumes and unclear technology. Toxicities were way higher than I saw in my VMAT with 4D and modern targets practice.

For what it's worth, Im not as convinced liposarcoma = radiation benefit as those authors. These cases are complicated and benefit likely depends on more than just histology. Well diff and high grade de diff liposarcoma also are basically different diseases for the purposes of discussion of radiotherapy benefit.



Totally reasonable to feel this way, but I would not argue against the medical oncologist unless the patient was frail. STRASS would argue that with no chemotherapy, there is no OS benefit to radiotherapy. Remember there is not even a hint of OS benefit for liposarcoma in the original study, that is essentially an unproven assumption based on retrospective data. IMO the argument for radiation is "as valid" as the argument for chemotherapy.

DD-LPS has more prevalent recurrence of both types, but has a very high competing DM risk compared to WD. I think this patient has a fairly high risk of DM assuming all that solid stuff and maybe more is DD component.

Remarkable series here, >1000 patients: Variability in Patterns of Recurrence After Resection of Primary Retroperitoneal Sarcoma (RPS): A Report on 1007 Patients From the Multi-institutional Collaborative RPS Working Group - PubMed



View attachment 384406
Appreciate your comments and knowledge base. Interesting that they saw such a big difference between G3 and G1/2 in terms of DM potential (30% vs < 5-10% @ 5-years) but LR seems overall similar.

I had previously thought of there being a split in metastatic potential between WD and DD LPS, not necessarily thinking about difference between G1/2 DD vs G3 DD.
 
Advertisement - Members don't see this ad
Appreciate your comments and knowledge base. Interesting that they saw such a big difference between G3 and G1/2 in terms of DM potential (30% vs < 5-10% @ 5-years) but LR seems overall similar.

I had previously thought of there being a split in metastatic potential between WD and DD LPS, not necessarily thinking about difference between G1/2 DD vs G3 DD.

Ha, well if you asked me to tell you the difference between low grade DD and WD, Im not sure I could.

I routinely made my sarcoma pathologist tell me how he thought the sarcoma would behave 🤣. Some are very locally infiltrative.

Its such a variable disease that I dont like therapeutic selection based on "named histology" alone except for a few rare situations (ex. myxoid liposarcoma).

I used to give pre-op radiation in RP primarily when the surgeon was worried about margins. Super smart guy and it made sense to me for most cases so I wasnt arguing for radiation often in tumor board. That european data and STRASS are why I almost never radiate leiomyosarcoma. I think I diverged most from other sarcoma rad oncs in that I tended to observe WD lipo with close or focal positive margins if patients were older or had comorbid disease. Can make a really resonable argument to pre-op RT all those cases, but its such a long natural history and the outcome depends so much on the quality of the surgery. Likely little benefit in someone 75+ yo s/p a sarcoma specialist resection even with close or focal positive margins.

SIB data will be cool, it seemed very well tolerated on initial data. Could be a beneficial option for many RP patients.
 
I think I diverged most from other sarcoma rad oncs in that I tended to observe WD lipo with close or focal positive margins
Observing well diff liposarcoma always made sense to me, particularly if massive and difficult to delineate tumor. Maximal safe resection and wait for recurrence. Then treat pre-op.

Crazy or no?
 
Observing well diff liposarcoma always made sense to me, particularly if massive and difficult to delineate tumor. Maximal safe resection and wait for recurrence. Then treat pre-op.

Crazy or no?
That would be my rec. I would never recommend post-op EBRT really for any RPS regardless of histology.
 
That would be my rec. I would never recommend post-op EBRT really for any RPS regardless of histology.

Yes same.

Please do not do post op.

Send them to a proton center if you think it’s a rare case where it makes sense to do it, then it’s off your plate 😃
 
Here’s you go. The question is answered, said the very confident surgeon. 😃
 

Attachments

  • 8EBBDB08-87AA-43BB-82E6-E28BF147DBE2.png
    8EBBDB08-87AA-43BB-82E6-E28BF147DBE2.png
    462.8 KB · Views: 187
  • 09609577-1D0B-49BD-A0B0-197646418E8D.jpeg
    09609577-1D0B-49BD-A0B0-197646418E8D.jpeg
    104.3 KB · Views: 184
Listen, if the question is 'solved' in favor of neoadj. RT, I'm all on board to listen to the very confident surgeon.

Surgeons - Sometimes wrong, but never in doubt.

Haha yea, someone tell ASTRO a new indication just dropped.

Just a few more, we’ll be saved!
 
I go away for a little while an another interesting sarcoma thread comes up!

As usual, I (mostly) agree with NMS.

Preop chemo (first, not concurrent) isn't crazy if there is a large ddLPS component, esp if high grade. The data NMS shared is the definitive series on DM risk, although it will take STRASS2 to prove whether chemo actually helps mitigate that risk.

I would regard preop RT as mandatory here based on STRASS (it was not actually a negative trial... LR was cut by half), STREXIT, and now the TARPSWG data. The first chance is by far the best chance of cure... and if this pt gets on a treadmill of multiple local recurrences, it is what will ultimately kill them... but not before they've been through 3-5 surgeries and associated debilitation. It's a bad way to die. Please spare them that and treat appropriately now.

50.4/28 to this volume with VMAT should be completely tolerable. Contouring guidelines are here but basically a 1.5 cm anatomically constrained expansion. Get a split function renal study first since one kidney's going away. I would do an SIB to 63 to the posterior margin based on the MGH protocol (hope they publish it...) but that is more dealer's choice. However, if you are treating, you absolutely must include the WD component.... it is tumor as well and will absolutely drive recurrence if omitted. And, as already said, never treat postop.
 
this volume
When is it too much?

This volume looks pretty prohibitive (I've seen worse) to me. Damn near whole abdominal XRT at some point and we know how that goes.

Also, do we have a good understanding of the growth pattern or RP sarcomas? My understanding was that there is often a "stalk" or nidus where the tumor emerges and then lots of it is just filling the peritoneal space.

Do we have data that comprehensive salvage treatment with neoadjuvant XRT and re-resection for LPS at first recurrence is worse long term in terms of survival or morbidity?
 
Do we have data that comprehensive salvage treatment with neoadjuvant XRT and re-resection for LPS at first recurrence is worse long term in terms of survival or morbidity?

No. I think @Radiator20 approach of treating first versus surgery first and only treat first recurrence are both reasonable for WD-LPS. I don't disagree with anyone and there is no data to say one way or the other really! 🙂

If you work with the kind of surgeon that will operate five local recurrences before sending to you, Id strongly consider radiating everyone up front haha.

I haven't seen an upper limit of volume with the caveat that people get a ton of fatigue. I was genuinely surprised at the toxicity in STRASS. There was an RPS trial that had a concurrent MDM2 inhibitor that gave people a lot of diarrhea and they still were able to get through it okay with fluid support. I've even given whole abdomen to a few adults for desmoplastic small round cell tumor (lower dose).

IMRT is an amazing technology.
 
Advertisement - Members don't see this ad
No. I think @Radiator20 approach of treating first versus surgery first and only treat first recurrence are both reasonable for WD-LPS. I don't disagree with anyone and there is no data to say one way or the other really! 🙂

If you work with the kind of surgeon that will operate five local recurrences before sending to you, Id strongly consider radiating everyone up front haha.

I haven't seen an upper limit of volume with the caveat that people get a ton of fatigue. I was genuinely surprised at the toxicity in STRASS. There was an RPS trial that had a concurrent MDM2 inhibitor that gave people a lot of diarrhea and they still were able to get through it okay with fluid support. I've even given whole abdomen to a few adults for desmoplastic small round cell tumor (lower dose).

IMRT is an amazing technology.
If you were treating that screen shot in OP, what would your volume be? The whole tumor surrounding the kidney? Just the solid, high-grade component in LUQ? Interested in this.
 
If you were treating that screen shot in OP, what would your volume be? The whole tumor surrounding the kidney? Just the solid, high-grade component in LUQ? Interested in this.
From what I understand, we need to treat everything. And this is what I will do.
 
Split renal function scan first? Make sure the right is working (can't see it on screen shot). Is nephrectomy planned with surgery?
 
Split renal function scan first? Make sure the right is working (can't see it on screen shot). Is nephrectomy planned with surgery?
Yes, nephrectomy is planned. And yes, I will acquire a scan.
I am going to get it after chemotherapy, since the patient will receive Ifosfamide, which is renal-toxic. It will be more representative then, I presume. Renal function is good right now.
 
what's the purpose of the renal scan? Not being argumentative, just wondering what it would change.
Probably not much if planned nephrectomy, but my understanding is the same as communitydoc13

My understanding was that there is often a "stalk" or nidus where the tumor emerges and then lots of it is just filling the peritoneal space.

I've obviously never performed an RP liposarcoma surgery, but if all that adipose tissue surrounding the kidney isn't invading or adherent to the kidney and just kind of falls away from it, do you really need to sacrifice it surgically? Honest question, I don't know.

In the below case report, they did not take kidney.
1711551548529.png

1711551366201.png
 
Last edited:
No. I think @Radiator20 approach of treating first versus surgery first and only treat first recurrence are both reasonable for WD-LPS. I don't disagree with anyone and there is no data to say one way or the other really! 🙂

Always value your input! I am curious about your equipoise between the two approaches. The data I am aware of supporting benefit to RT is really at index presentation. I am not aware of much data on the alternative approach you outline of radiating at first or subsequent recurrences. I know some are doing it, and I'm not saying I wouldn't consider it if it's a pt who didn't get RT up front, but have regarded it as more of a data free zone, whereas have pushed hard for RT at index presentation for all relevant pts since that's where we have the best data. Your thoughts?

what's the purpose of the renal scan? Not being argumentative, just wondering what it would change.
I see the purpose as being to establish that pt will have adequate renal fxn after RT and nephrectomy and not end up on HD. If it looks dubious, I would get them established with nephrology during preop RT. I am not sure pre vs post chemo timing of the scan matters.

This volume looks pretty prohibitive (I've seen worse) to me. Damn near whole abdominal XRT at some point and we know how that goes.
It does look bad at first blush, but very likely the OARs are all pushed to one side. As such, this is more feasible than a midline tumor. With a partial arc VMAT plan, bowel dose will be very low. Should be very feasible with attention to bowel metrics.

all that adipose tissue surrounding the kidney
Problem is, it isn't fat. It's all WD-LPS. It's gotta go.
 
what's the purpose of the renal scan? Not being argumentative, just wondering what it would change.
It would make me more comfortable, when giving constraints for the right kidney, if I knew what the GFR of the patient would be post-nephrectomy on the left side.
 
Yeah. If it ain't working, get that fistula cooking now.
 
Got a case just like this today. Im doing pre-op and a renal scan and might even add on some SIB.

Agree with all the talk to so far. I actually once saw a patient as an intern that had a nephrectomy with no prior scan and became dialysis dependent after surgery. My guess is this is not common, might not even change management, but you don't want to be the person that gives 50 Gy to the only working kidney without knowing about it. I do still try to spare it some.

RP sarcoma resection is the wild west man. They are trying to fix that, but even the hyper specialist experts cant agree on something as basic as a definition for resectable. The Europeans go hard AF and seem to more hesitant to call people unresectable. I think they may be publishing on this or have published a survey on this topic.

This case presented was not a cancer surgery, it couldn't have been. This was the case I hate where the surgeon rushes them to the OR and then snaps a selfie with their 100 lb undiagnosed tumor removed by hoyer lift. Then a week later person calls me and is like "Im really surprised this is a sarcoma, Im worried about margins, what do you think about radiation?"

Im always tempted to be like "But you got it all bro! 😳"

1711586869253.png
 
Advertisement - Members don't see this ad
Got a case just like this today. Im doing pre-op and a renal scan and might even add on some SIB.

Agree with all the talk to so far. I actually once saw a patient as an intern that had a nephrectomy with no prior scan and became dialysis dependent after surgery. My guess is this is not common, might not even change management, but you don't want to be the person that gives 50 Gy to the only working kidney without knowing about it. I do still try to spare it some.

RP sarcoma resection is the wild west man. They are trying to fix that, but even the hyper specialist experts cant agree on something as basic as a definition for resectable. The Europeans go hard AF and seem to more hesitant to call people unresectable. I think they may be publishing on this or have published a survey on this topic.

This case presented was not a cancer surgery, it couldn't have been. This was the case I hate where the surgeon rushes them to the OR and then snaps a selfie with their 100 lb undiagnosed tumor removed by hoyer lift. Then a week later person calls me and is like "Im really surprised this is a sarcoma, Im worried about margins, what do you think about radiation?"

Im always tempted to be like "But you got it all bro! 😳"

View attachment 384654

Surgeon brain: Big Mass! I must remove it
 
Sorry, for the late update!
1717578386254.png




Planned dose is 25 x 1.8 Gy = 45 Gy (PTV1: 5000cc) with a SIB of 25 x 0.2 Gy = cumulative dose 50 Gy to the areas of concern after talking to the surgeon. The SIB area is quite extensive (PTV2: 2600cc), covers the great vessels, plain to the psoas muscle, diaphragm.

If she tolerates it excellent, I may add 1-2 fractions to come closer to the 55 Gy at the areas of concern.

Contralateral kidney will receive a mean dose of 5 Gy, Point dose at bowel is currently 53 Gy.

The patient started treatment a few days ago. So far, she's tolerating it very well, I am kind of surprised.
 
Last edited:
Sorry, for the late update!
View attachment 387632



Planned dose is 25 x 1.8 Gy = 45 Gy (PTV1: 5000cc) with a SIB of 25 x 0.2 Gy = cumulative dose 50 Gy to the areas of concern after talking to the surgeon. The SIB area is quite extensive (PTV2: 2600cc), covers the great vessels, plain to the psoas muscle, diaphragm.

If she tolerates it excellent, I may add 1-2 fractions to come closer to the 55 Gy at the areas of concern.

Contralateral kidney will receive a mean dose of 5 Gy, Point dose at bowel is currently 53 Gy.

The patient started treatment a few days ago. So far, she's tolerating it very well, I am kind of surprised.
A bit analogous to mesothelioma. Shooting the rind off an orange. Great job. I'm sure it was tedious.
 
Sorry, for the late update!
View attachment 387632



Planned dose is 25 x 1.8 Gy = 45 Gy (PTV1: 5000cc) with a SIB of 25 x 0.2 Gy = cumulative dose 50 Gy to the areas of concern after talking to the surgeon. The SIB area is quite extensive (PTV2: 2600cc), covers the great vessels, plain to the psoas muscle, diaphragm.

If she tolerates it excellent, I may add 1-2 fractions to come closer to the 55 Gy at the areas of concern.

Contralateral kidney will receive a mean dose of 5 Gy, Point dose at bowel is currently 53 Gy.

The patient started treatment a few days ago. So far, she's tolerating it very well, I am kind of surprised.

This is the strategy they used in the NRG DT-001 chemoradiation trial (MGMT inhibitor). I think it will be really well tolerated.

Fatigue is sneaky with these, make sure she is exercising. I will often refer these people to PT, if they are operable there is decent evidence for "prehab" in abdominal surgery.
 
UPDATE:

1. Preoperative CT scan showed some tumor regression and increasing necrosis zones within that monstrosity.

2. Surgery was carried out about a week ago, went quite smoothly. It took them 6 hours.

It's a complete resection, quite wide clear margins esp. towards the retroperitoneum (>2 cm) - I did not expect that, likely a result of the neoadjuvant treatment.

About 30% of the tumor was necrotic. The other 70% is mostly well-differentiated, it seems that neoadjuvant treatment killed offmost of the high-grade component.

The left colon, the spleen, a piece of stomach, the left kidney, part of the pancreas had to be resected as well, plus some parts of the diaphragm.
The patient is still recovering, but overall - oncologically speaking - this went very well.

Thank you all for your support!
 
Top Bottom