A side effect that may help y’all

  • Thread starter Thread starter deleted314957
  • Start date Start date
This forum made possible through the generous support of SDN members, donors, and sponsors. Thank you.
D

deleted314957

Advertisement - Members don't see this ad
I am from the pathology board and wrote several years ago about protons vs photons for prostate ca. I had hx of severe pan ulcerative colitis. Had the surgery, did well for 2 yrs and had biochemical recurrence (.02 x 2) Got ADT (6 mo) and IMART at a brand new state or the art place. The plan was for 7000 rads(showing my age). At 5500 rads got severe GI bleeding and ended up with permanent ileostomy.(LOTS better than UC.) I am fine now but there were a number of studies that seemed to imply that the state of the art equipment could spare the rectum largely. Note i had surg first so there was no spacer as in primary xrt.


Sent from my iPad using Tapatalk
 
Yes, active UC puts patients at higher risk of severe GI toxicity, both acute and late, from any form of radiation. Sorry to hear about your experience.

Even IMRT (done properly) cannot fully spare the rectum, although it is better than techniques older than IMRT. Whether protons (a newer way of doing radiation) works better than IMRT at this is controversial, and I imagine especially controversial in the post-surgical setting, as the majority of (low-quality) data that I am aware of evaluating the two is in the setting of an intact prostate.
 
Yes, active UC puts patients at higher risk of severe GI toxicity, both acute and late, from any form of radiation. Sorry to hear about your experience.

Even IMRT (done properly) cannot fully spare the rectum, although it is better than techniques older than IMRT. Whether protons (a newer way of doing radiation) works better than IMRT at this is controversial, and I imagine especially controversial in the post-surgical setting, as the majority of (low-quality) data that I am aware of evaluating the two is in the setting of an intact prostate.

I researched things very carefully and believe my radonc doc truly had my best interest in mind. What was interesting was that there were no characteristic findings of irradiation colitis, just uc. But, it takes awhile for typical irradiation effect to show it self, especially on top of raging UC.


Sent from my iPad using Tapatalk
 
You need to look at a treatment plan to understand what you’re talking about. It is very characteristic for med oncs and surgeons for example to talk about radiation when they literally have never seen a radiation plan before. That’s like me saying I know how to produce a movie Bc well I’ve seen movies before
 
I am from the pathology board and wrote several years ago about protons vs photons for prostate ca. I had hx of severe pan ulcerative colitis. Had the surgery, did well for 2 yrs and had biochemical recurrence (.02 x 2) Got ADT (6 mo) and IMART at a brand new state or the art place. The plan was for 7000 rads(showing my age). At 5500 rads got severe GI bleeding and ended up with permanent ileostomy.(LOTS better than UC.) I am fine now but there were a number of studies that seemed to imply that the state of the art equipment could spare the rectum largely. Note i had surg first so there was no spacer as in primary xrt.

So just to be clear you had a radical prostatectomy and then salvage radiation after biochemical failure? In the setting of UC I don't think any current technology could've spared you from at least some amount of toxicity. Unless the treatment field was reduced/focal.

SpaceOAR is not approved in the post-prostatectomy setting... mostly because the space that the gel is supposed to go doesn't really exist anymore.
 
So just to be clear you had a radical prostatectomy and then salvage radiation after biochemical failure? In the setting of UC I don't think any current technology could've spared you from at least some amount of toxicity. Unless the treatment field was reduced/focal.

SpaceOAR is not approved in the post-prostatectomy setting... mostly because the space that the gel is supposed to go doesn't really exist anymore.

I have heard of one place that still does it (SpaceOAR) in the post-prostatectomy setting and I'm just confused by it. Granted the practice is a shady urorads milking it for the money with ridiculous treatment schedules, but alas.
 
So just to be clear you had a radical prostatectomy and then salvage radiation after biochemical failure? In the setting of UC I don't think any current technology could've spared you from at least some amount of toxicity. Unless the treatment field was reduced/focal.

SpaceOAR is not approved in the post-prostatectomy setting... mostly because the space that the gel is supposed to go doesn't really exist anymore.

This was my understanding. Thank you all for your kind consideration.


Sent from my iPad using Tapatalk
 
amount of area or volume treated can vary as much as ten fold between rad oncs. This can be due to differences of opinion about how much to electively treat (ie covering the nodes). Perhaps and I am just saying perhaps if a doc tried elective nodal coverage on a patient with history of severe pan ulcerative colitis, he shouldn’t have. In this case, elective nodal coverage or not, technology differences are wholly moot.
 
amount of area or volume treated can vary as much as ten fold between rad oncs. This can be due to differences of opinion about how much to electively treat (ie covering the nodes). Perhaps and I am just saying perhaps if a doc tried elective nodal coverage on a patient with history of severe pan ulcerative colitis, he shouldn’t have. In this case, elective nodal coverage or not, technology differences are wholly moot.
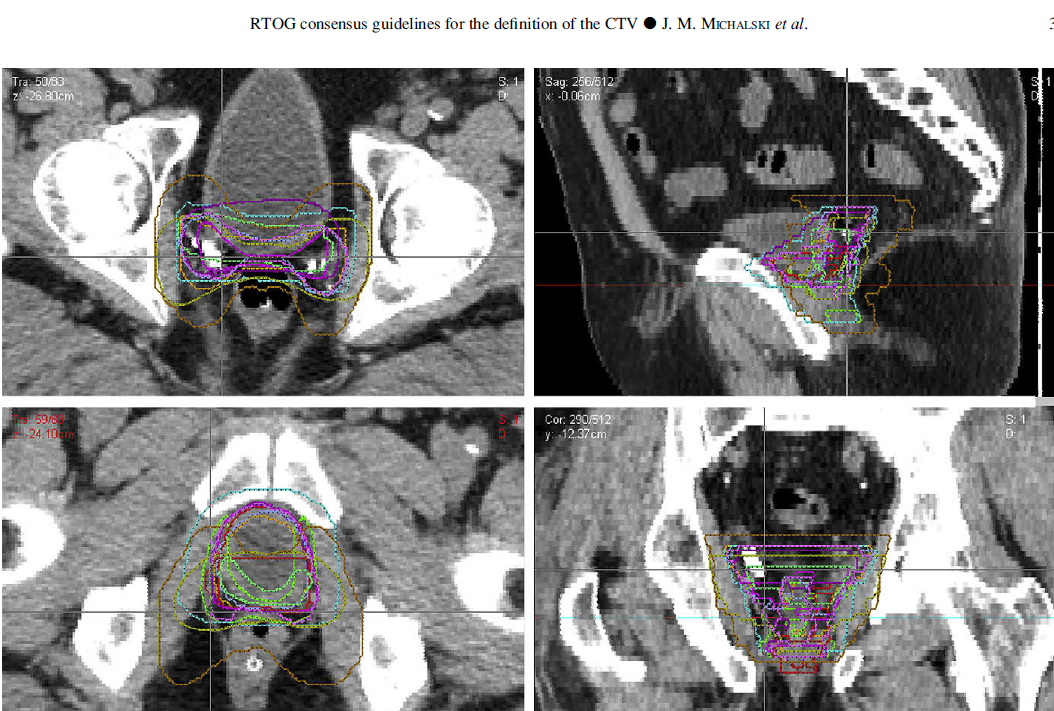
Even is the pelvis isn't treated physician contours are all over the map. Below are twelve independent "GU experts" CTV contour for a postop case.
1586820240142.png
 
Even is the pelvis isn't treated physician contours are all over the map. Below are twelve independent "GU experts" CTV contour for a postop case.
View attachment 302181

Wow! They ahh ave been more aggressive with me because i had a4+4=8 and (allegedly) Right sv invasion, but that isHIGHLY DEBATABLE because i believe the invasion was. confined to the intra prostatic sv. my primary was at the sv root and was 1.2 cm and unifocal.


Sent from my iPad using Tapatalk
 
Last edited by a moderator:
Top Bottom