Breast SIB

This forum made possible through the generous support of SDN members, donors, and sponsors. Thank you.

Ray D. Ayshun

Full Member
Lifetime Donor
10+ Year Member
Joined
Sep 7, 2014
Messages
3,606
Reaction score
6,625
Points
6,961
Anybody ever SIB a worrisome axillary level 2 node following mastectomy with 4/19 level 1 nodes. Plus/minus on whether the patient would be willing to undergo further resection, and has already said no to adjuvant chemotherapy. I'm just wondering about an sib if all other avenues are blocked.
 
I would definitely boost any undissected concerning nodes, but why SIB? Why not sequential? We typically do sequential and take it to 64-66 Gy

Agreed, we also boost sequentially. I like to get a pet/ct if insurance allows to rule out distant mets and use it to assist planning.
 

Members do not see ads. Register today.

PET done preop, and this was probably a little avid, but anatomy has changed a touch sine ax dissection. Kinda right next to the vasculature so I can understand it still being there. No distant disease, and only this node. I've just seen a paper doing sib to the tumor bed at 2.4 x 25 to 60, which I'm not interested in doing (in other cases I mean, this is PM RNI). OTOH, this would be a relatively small PTV to throw in at 2.4ish per day while everything else gets 50. I have no qualms treating an extra week and a half, but this felt like a volume small enough to be a little hotter over a shorter time period. I don't want to be the first though.
 
PET done preop, and this was probably a little avid, but anatomy has changed a touch sine ax dissection. Kinda right next to the vasculature so I can understand it still being there. No distant disease, and only this node. I've just seen a paper doing sib to the tumor bed at 2.4 x 25 to 60, which I'm not interested in doing (in other cases I mean, this is PM RNI). OTOH, this would be a relatively small PTV to throw in at 2.4ish per day while everything else gets 50. I have no qualms treating an extra week and a half, but this felt like a volume small enough to be a little hotter over a shorter time period. I don't want to be the first though.
Yes there is data on sib to tumor bed and RTOG 1005 is testing this question. However this is a post mastectomy case. You're right, a small SIB to a small volume is likely just fine. We almost uniformly do a scar boost, so the patient is getting 30 treatments any way and it's not a big deal if we do another 2 to 3 treatments. If you're not doing a scar boost, then SIB saves 7 to 8 fractions. Again it's reasonable, but I would hesitate in a post mastectomy setting, especially if she has a tissue expander
 
Yes there is data on sib to tumor bed and RTOG 1005 is testing this question. However this is a post mastectomy case. You're right, a small SIB to a small volume is likely just fine. We almost uniformly do a scar boost, so the patient is getting 30 treatments any way and it's not a big deal if we do another 2 to 3 treatments. If you're not doing a scar boost, then SIB saves 7 to 8 fractions. Again it's reasonable, but I would hesitate in a post mastectomy setting, especially if she has a tissue expander
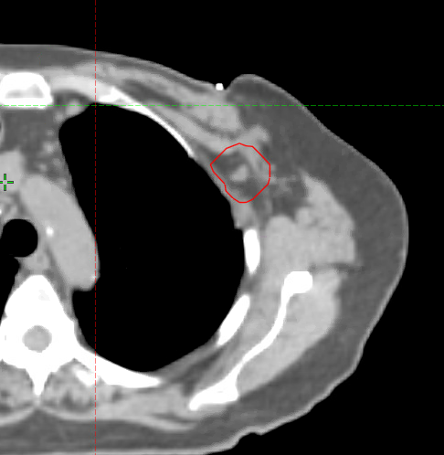
Thanks, no scar boost, and no expander. Basically just want to boost the red volume. Am wondering if chest wall proximity is problematic as well.
1612111627756.png
 
Basically just want to boost the red volume. Am wondering if chest wall proximity is problematic as well.
View attachment 328762
Chest wall proximity will not be an issue. What dose were you planning to give? Peripheral T3 NSCLCs get 60 + Gy and I have never seen toxicity.
 
Would send for biopsy (where I am, this is breast radiology territory). Would not escalate if path negative. I would not escalate without stronger evidence that this is involved (essentially on a hunch) especially since standard of care is to remove the node (the node is resectable).
 
Would send for biopsy (where I am, this is breast radiology territory). Would not escalate if path negative. I would not escalate without stronger evidence that this is involved (essentially on a hunch) especially since standard of care would be to remove the node.
Not just a hunch per se. There was an avid node around this area preop, with post ax dissection soft tissue changes and arms up vs down position taken into account. But yes, no path confirmation.
 
Node appears to be resectable. Data for boosting gross disease in breast cancer is pretty crappy IIRC compared to surgical resection + truly adjuvant tx (versus this being essentially 'salvage').

I would strongly advocate for:
1) Discussion at tumor board or with Breast radiologist and Surgeon to see if they feel it is also highly suspicious
2) Biopsy
3a) If negative, treat as normal or consider boosting (realize you're treating your own mind, and not the patient, really)
3b) If positive, get resected and then treat adjuvantly. If patient unwilling to consider resection, then sure, boost as described. Watch plexus, but should be fine based on location. For resection, some places can even do a US localization for the surgeon on day of surgery just like they can wire the initial breast tumor.
 
Node appears to be resectable. Data for boosting gross disease in breast cancer is pretty crappy IIRC compared to surgical resection + truly adjuvant tx (versus this being essentially 'salvage').

I would strongly advocate for:
1) Discussion at tumor board or with Breast radiologist and Surgeon to see if they feel it is also highly suspicious
2) Biopsy
3a) If negative, treat as normal or consider boosting (realize you're treating your own mind, and not the patient, really)
3b) If positive, get resected and then treat adjuvantly. If patient unwilling to consider resection, then sure, boost as described. Watch plexus, but should be fine based on location. For resection, some places can even do a US localization for the surgeon on day of surgery just like they can wire the initial breast tumor.
Maybe it looks resectable on snapshot I took, but on discussion with surgeon, she went as far as she could.
 
Maybe it looks resectable on snapshot I took, but on discussion with surgeon, she went as far as she could.

OK, I guess. I'd have to scroll through the CT myself, but usually the ones that are truly 'unresectable' and co-planar with vessels or buried deep in level 3. That seems like on the level 1/2 border.... I would still try to biopsy - you may be able to bring it back to the surgeon if a biopsy is positive.
 
OK, I guess. I'd have to scroll through the CT myself, but usually the ones that are truly 'unresectable' and co-planar with vessels or buried deep in level 3. That seems like on the level 1/2 border.... I would still try to biopsy - you may be able to bring it back to the surgeon if a biopsy is positive.
Yeah, the surgeon has now opted to give it a try, which was my hope from the get go. It would take a pretty awesome biopsy to convince me this is negative given original axillary findings (PNI and ENE), so I'm hopeful it's just a removal.
 
Top Bottom