Portable U/S recommendations?

This forum made possible through the generous support of SDN members, donors, and sponsors. Thank you.

CD125

Full Member
10+ Year Member
Joined
Aug 16, 2014
Messages
80
Reaction score
108
Points
4,696
  1. Attending Physician
Advertisement - Members don't see this ad
Starting my first attending job soon and interested in a portable U/S that I can keep in my messenger bag and that I can view the image on my phone for quick IVs, TTEs, and maybe even a-lines and blocks. Any recommendation for one with a reasonable price? Or should I just forget about it all together.
 
Starting my first attending job soon and interested in a portable U/S that I can keep in my messenger bag and that I can view the image on my phone for quick IVs, TTEs, and maybe even a-lines and blocks. Any recommendation for one with a reasonable price? Or should I just forget about it all together.

A few people in my department have the Butterfly. It's portable and connects to phone/tablet. Its about 2500$ for device and 1 year subscription
 
Butterfly IQ. $1999. Pretty good per my friend who bought it.
I’m also looking to buy one and searching around.
 
TBH I don’t use mine much but it was a tax writeoff for me. We have enough ultrasounds in my department that I can get one whenever I need it and the SonoSite is superior.


 
Advertisement - Members don't see this ad
Starting my first attending job soon and interested in a portable U/S that I can keep in my messenger bag and that I can view the image on my phone for quick IVs, TTEs, and maybe even a-lines and blocks. Any recommendation for one with a reasonable price? Or should I just forget about it all together.
Super convenient (butterfly IQ+). U can do tons of nerve blocks, msk injections and even a rough diagnostic msk exam (won’t be able to see things like tendon fiber disorganization, etc, but u can tell if the tendons and ligaments are attached or torn). $3000 and u can buy one with lifetime subscription. It’ll pay for itself relatively quickly.
3FA3855F-C446-4231-A200-DC94448A4070.png
 
Super convenient (butterfly IQ+). U can do tons of nerve blocks, msk injections and even a rough diagnostic msk exam (won’t be able to see things like tendon fiber disorganization, etc, but u can tell if the tendons and ligaments are attached or torn). $3000 and u can buy one with lifetime subscription. It’ll pay for itself relatively quickly.View attachment 327044
How do you prop up your phone when doing these?
 
How do you prop up your phone when doing these?
So, I took that one on the phone just to show u. I use the phone only when doing diagnostic msk ultrasounds (sports medicine). For procedures, I use my iPad, which can sit up by itself on the bed/table/desk or whatever is there. The other sports medicine guys use a tablet holder (goose neck I think?) when doing injections. Given, sports medicine doesn’t do the same injections as pain management does. We do some of the same nerve blocks (saphenous, sural, etc) but we generally avoid the neck and spine (except the caudal epidural space and the SI joint, which we do under ultrasound). U can easily identify nerves with this machine and some pain docs that use the butterfly exclusively use this machine when doing any nerve blocks.
 
I just got my Butterfly IQ+ with lifetime membership for $3K because it's reimbursed for me. I haven't tried it much and was struggling a bit with TTE but maybe that's me since I'm somewhat inexperienced with TTE. My nerve views looked great though! I currently have a Samsung Galaxy S9 and am waiting until the new Samsung comes out so I can get a new phone with a bigger screen.
 
I read tee first. Nevermind.
I just got my Butterfly IQ+ with lifetime membership for $3K because it's reimbursed for me. I haven't tried it much and was struggling a bit with TTE but maybe that's me since I'm somewhat inexperienced with TTE. My nerve views looked great though! I currently have a Samsung Galaxy S9 and am waiting until the new Samsung comes out so I can get a new phone with a bigger screen.
 
As an update, the TTE is variable. I've been getting a bit better windows on myself but still not great. Yesterday, an old lady didn't look so great after extubation and I got great PLAX and PSAX views immediately just 30s after pulling it out of my bag and plugging it in. I preordered the Samsung Galaxy S21 Ultra, so the 6.8in screen should be helpful to have.
 
As an update, the TTE is variable. I've been getting a bit better windows on myself but still not great. Yesterday, an old lady didn't look so great after extubation and I got great PLAX and PSAX views immediately just 30s after pulling it out of my bag and plugging it in. I preordered the Samsung Galaxy S21 Ultra, so the 6.8in screen should be helpful to have.
I've had my eye on the butterfly for a while and want to use it for my own edification with pocus tte. I have a Samsung galaxy A tablet, when I do eventually get a butterfly I hope to use it with this. I have a S20 phone and maybe that would work well for these quick TTEs in a pinch. I look forward to hearing your experience.
 
I only use it for MSK. I wanna try out the Philips Lumify. I heard the quality is significantly better
 
Advertisement - Members don't see this ad
I only use it for MSK. I wanna try out the Philips Lumify. I heard the quality is significantly better
I trialed a lumify linear probe for 30 days, it was very nice and easy to use. My only issue with it is it's just a linear probe where the butterfly can be all sorts of different probes in one. I'm more interested in the versatility and "good enough" for each.
 
I trialed a lumify linear probe for 30 days, it was very nice and easy to use. My only issue with it is it's just a linear probe where the butterfly can be all sorts of different probes in one. I'm more interested in the versatility and "good enough" for each.
How were u able to trial it? I would love to try it out. It seems like overall, the versatility and the more than decent image quality makes the IQ+ more than sufficient for most uses. My attending used to say that the butterfly IQ image quality was better than his old laptop based model (he now uses a cart based model).
 
I've used both. Lumify does have slightly better resolution, but as mentioned the Butterfly is very versatile. Having the TTE immediately available and pulling out a linear probe for difficult art lines/PIVs when the Sonosite isn't around is absolutely a game changer for my practice.
F it, OK. I've been hesitating for weeks but your post has put me over the top and I'm gonna order one.
 
How were u able to trial it? I would love to try it out. It seems like overall, the versatility and the more than decent image quality makes the IQ+ more than sufficient for most uses. My attending used to say that the butterfly IQ image quality was better than his old laptop based model (he now uses a cart based model).
I contacted them on their site, told them I'm interested in this as an option for our anesthesia group but wanted to try it out before purchasing, so I could share the information with my people. They sent me some paperwork about a trial period and I received the linear probe in the mail about a week later. You'll have to have your own way of running the app (tablet or iphone or whatever) since they just send you the probe and nothing else. The said as long as I post-marked it within 30 days to return it I wouldn't incur any cost. I think they had me signed up for the lease because I would have incurred something like $300 per month after that if I didn't return it.

The other thing is their headquarters is located in Bothell, WA which is about 45 minutes away from me by car. Not sure if that played a role in being able to trial it but maybe.

Here's where I went:
 
Lumify is ok but probably not worth 2x or 3x the price of a butterfly.
 
I’m hesitant to pull the trigger on the butterfly because I really want acceptable TTE quality in addition to vascular access quality . If the valve and wall motion resolution is inadequate then the fact that it’s more convenient doesn’t mean much.

Anyone with adult cardiactraining or working in heart rooms with lots of experience able to comment on butterfly TTE quality
 
Quick question. If the cord on this device gets damaged, do they replace it for you? The way I see it, the cord is the part that is most likely to get damaged and not last.
 
Advertisement - Members don't see this ad
Quick question. If the cord on this device gets damaged, do they replace it for you? The way I see it, the cord is the part that is most likely to get damaged and not last.
Yes. The cord can be detached and replaced from the actual unit. If the cord breaks, u can order another one. This is one of the new features on the upgraded butterfly IQ+ model
 
I really like my Butterfly IQ+ so far. Have used it for probably 100+ ultrasound guided IVs/Art lines and it's great for difficult access situations. Used it a few times for other things like bedside TTE or lung exam to check for pneumo. Even used the bladder scan feature the other day to determine if it would be useful to straight cath a patient at the end of a case - took all of 30 seconds to set up and get a quick scan.

The basis of the tech in the Butterfly, Capacitive Micromachined Ultrasound Transducers (CMUTs), is pretty interesting and comes from research done at Stanford: Research | Khuri-Yakub Group

The use of CMUTs distinguishes the butterfly unit from most portable ultrasounds on the market today, which use traditional piezoelectric crystals. The CMUTs are the reason why the Butterfly is capable of operating as a linear, phased array, or curvilinear probe...without having to buy additional probes. It also allows them to add some pretty cool features via software, like the recently introduced Bi-Plane mode (think X-Plane), which lets you see both short and long axis at the same time. Granted, I haven't actually used that feature yet, but the pictures on their website look pretty cool.

Now, the tradeoff of using CMUTs is that image quality is not quite as good as piezoelectric crystals. It's still serviceable, but most people would say that the Philips Lumify offers better image quality. However, I find that to be an acceptable compromise given the significant price and versatility advantage of the Butterfly.

Overall: highly recommend.

Some sample images below:

screenshot.177.pngscreenshot.178.pngscreenshot.180.pngscreenshot.179.png
 
Last edited:
I really like my Butterfly IQ+ so far. Have used it for probably 100+ ultrasound guided IVs/Art lines and it's great for difficult access situations. Used it a few times for other things like bedside TTE or lung exam to check for pneumo. Even used the bladder scan feature the other day to determine if it would be useful to straight cath a patient at the end of a case - took all of 30 seconds to set up and get a quick scan.

The basis of the tech in the Butterfly, Capacitive Micromachined Ultrasound Transducers (CMUTs), is pretty interesting and comes from research done at Stanford: Research | Khuri-Yakub Group

The use of CMUTs distinguishes the butterfly unit from most portable ultrasounds on the market today, which use traditional piezoelectric crystals. The CMUTs are the reason why the Butterfly is capable of operating as a linear, phased array, or curvilinear probe...without having to buy additional probes. It also allows them to add some pretty cool features via software, like the recently introduced Bi-Plane mode (think X-Plane), which lets you see both short and long axis at the same time. Granted, I haven't actually used that feature yet, but the pictures on their website look pretty cool.

Now, the tradeoff of using CMUTs is that image quality is not quite as good as piezoelectric crystals. It's still serviceable, but most people would say that the Philips Lumify offers better image quality. However, I find that to be an acceptable compromise given the significant price and versatility advantage of the Butterfly.

Overall: highly recommend.

Some sample images below:

View attachment 328368View attachment 328369View attachment 328371View attachment 328372
Posting the images help a lot. I wish people with lumify/IQ+ did this more so we could get a better Idea. The pics on the website are def not what u get, but I can do a basic msk exam w these and those require super fine detail. I attached a pic of a posterior horn of the medial meniscus (torn) with a swollen and hypoechoic overlying MCL (meniscofemoral portion) from a patient I just saw. The butterfly is awesome. Unfortunately, I don’t know how to do TTE’s, bladder scans, etc otherwise I would never even consider a lumify.
 

Attachments

  • 25891A08-574A-4405-A886-F48647350A48.jpeg
    25891A08-574A-4405-A886-F48647350A48.jpeg
    37.6 KB · Views: 159
Yes. The cord can be detached and replaced from the actual unit. If the cord breaks, u can order another one. This is one of the new features on the upgraded butterfly IQ+ model

A side benefit of the replaceable cord in the IQ+ is that you can easily change from Lighting connector to USB-C without having to buy a whole new probe. Great for people who may be using it on an older Apple device that has a lighting connector and plan to later buy a newer iPhone/iPad or Android device with USB-C.
 
I really like my Butterfly IQ+ so far. Have used it for probably 100+ ultrasound guided IVs/Art lines and it's great for difficult access situations. Used it a few times for other things like bedside TTE or lung exam to check for pneumo. Even used the bladder scan feature the other day to determine if it would be useful to straight cath a patient at the end of a case - took all of 30 seconds to set up and get a quick scan.

The basis of the tech in the Butterfly, Capacitive Micromachined Ultrasound Transducers (CMUTs), is pretty interesting and comes from research done at Stanford: Research | Khuri-Yakub Group

The use of CMUTs distinguishes the butterfly unit from most portable ultrasounds on the market today, which use traditional piezoelectric crystals. The CMUTs are the reason why the Butterfly is capable of operating as a linear, phased array, or curvilinear probe...without having to buy additional probes. It also allows them to add some pretty cool features via software, like the recently introduced Bi-Plane mode (think X-Plane), which lets you see both short and long axis at the same time. Granted, I haven't actually used that feature yet, but the pictures on their website look pretty cool.

Now, the tradeoff of using CMUTs is that image quality is not quite as good as piezoelectric crystals. It's still serviceable, but most people would say that the Philips Lumify offers better image quality. However, I find that to be an acceptable compromise given the significant price and versatility advantage of the Butterfly.

Overall: highly recommend.

Some sample images below:

View attachment 328368View attachment 328369View attachment 328371View attachment 328372
Definitely not the most stellar image quality, but I think it's going to work out well for me, especially in the AM for first starts when a lot of ultrasounds are tied up and I need one for an a-line or access. Hell, just 5 minutes ago I was over in the ICU because I wanted to put in a high radial with a micropuncture kit on an edematous player coming to the OR tomorrow. I ask the nurse to bring over their ICU U/S.....of course it's broken so my lazy ass has to go back to the OR to grab one of ours.


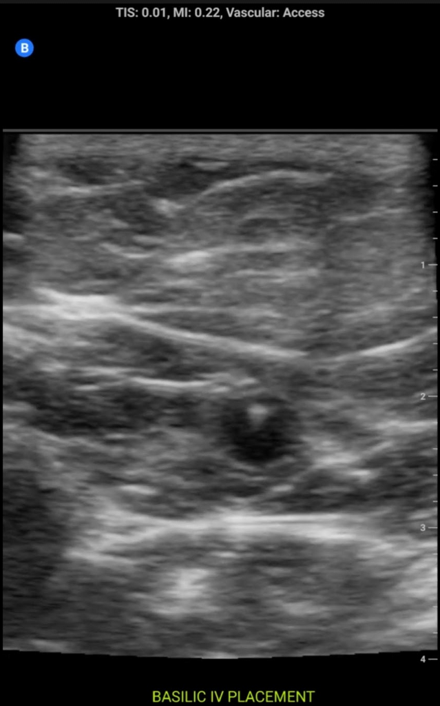
I'll post some vascular access pics and some TTE shots when mine comes in.
 
Definitely not the most stellar image quality, but I think it's going to work out well for me, especially in the AM for first starts when a lot of ultrasounds are tied up and I need one for an a-line or access. Hell, just 5 minutes ago I was over in the ICU because I wanted to put in a high radial with a micropuncture kit on an edematous player coming to the OR tomorrow. I ask the nurse to bring over their ICU U/S.....of course it's broken so my lazy ass has to go back to the OR to grab one of ours.


I'll post some vascular access pics and some TTE shots when mine comes in.
That would be great dude, I would love it if a cardiac trained person would give an honest assessment of the TTE. I know it doesn't do PW or CW but if the image quality is adequate for regional wall motion and very rough valve morphology/motion, along with color, that might be enough for me to get one.
 
It does both PW and CW, actually. I haven't used then much yet though. One of my co-workers is did a cardiac fellowship and is pretty happy with the probe overall, and he doesn't even have the newest one.
 
It does both PW and CW, actually. I haven't used then much yet though. One of my co-workers is did a cardiac fellowship and is pretty happy with the probe overall, and he doesn't even have the newest one.
Wow I’m really impressed it does CW and PW and I saw some pics above with it! Can it also trace and those kind of functions as well? So I can calculate VTI etc?
 
I'm not sure. I'm suddenly completely unable to use it because I upgraded to the newly released Samsung Galaxy S21 Ultra without realizing that it wouldn't be compatible yet. They've just said they're looking at the new phone and can't make any promises when/if I'll be able to use it.
 
Advertisement - Members don't see this ad
I'm not sure. I'm suddenly completely unable to use it because I upgraded to the newly released Samsung Galaxy S21 Ultra without realizing that it wouldn't be compatible yet. They've just said they're looking at the new phone and can't make any promises when/if I'll be able to use it.

Usually takes 3-6 months for the App to support a brand new device. I held off on upgrading to the S20 FE last year because the Butterfly app did not yet support it, and support was added in January.
 
Well that's way longer than I was expecting, but oh well. It's the same operating system, so I don't understand why it would take that long.
 
Well that's way longer than I was expecting, but oh well. It's the same operating system, so I don't understand why it would take that long.

I don't understand either. They also never added support for the Pixel 5 despite it being one of the more popular Android devices.
 
I personally have a Butterfly IQ+ and have been happy with it. I've used the IQ+ to do intra-op TTE to assess EF and valve abnormality, which has been useful. However, I have yet to try it for nerve blocks and such since the cases in OR have dwindled significantly for the past months, but I do plan to use it when cases pick up again. From the images I was to able to obtain on myself, I'd say the quality is acceptable. My hospital has some GE ultrasound, which we used for nerve blocks and line placement and such, I think the image quality is comparable?

At 2k to 3k price point, I think its a worthy investment. Good for quick assessment, and good to bring to outpatient sites...for possible hard sticks?
 
Anyone seek approval to use the device through their hospital's IT department? Or just don't ask don't tell?
 
Don't ask, don't tell. Would the IT department even be the right people? It's an approved medical device, so I don't know what the big deal is. A CRNA the other day asked if she could use her own McGrath (she had disposable blades) for intubations and I said sure even though we don't have one at that hospital. If these things are approved medical devices, why does it matter whether the hospital has them or not?
 
Don't ask, don't tell. Would the IT department even be the right people? It's an approved medical device, so I don't know what the big deal is. A CRNA the other day asked if she could use her own McGrath (she had disposable blades) for intubations and I said sure even though we don't have one at that hospital. If these things are approved medical devices, why does it matter whether the hospital has them or not?
doesn't it have patient info cloud storage? I guess you can just opt to not use it, but I bet a hospital would be wary about that possibility. I just figured it would be nice to have someone in my corner validating my interests if I'm going to go rogue!
 
Don't ask, don't tell. Would the IT department even be the right people? It's an approved medical device, so I don't know what the big deal is. A CRNA the other day asked if she could use her own McGrath (she had disposable blades) for intubations and I said sure even though we don't have one at that hospital. If these things are approved medical devices, why does it matter whether the hospital has them or not?

On a side note you should get a mcgrath for every or. It is a game changer.
 
Top Bottom