Post RFA Neuritis

This forum made possible through the generous support of SDN members, donors, and sponsors. Thank you.

schmee90

Full Member
10+ Year Member
Joined
Aug 21, 2014
Messages
122
Reaction score
41
Points
4,651
  1. MD/PhD Student
Advertisement - Members don't see this ad
Long time SDN lurker and I appreciate the wisdom of the docs in this forum. I've been out of fellowship about 1 year. Just wanted to get everyones thoughts on Post RFA neuritis (have had a few over the past year). Prescribed some neuropathic agens such as gabapentin vs lyrica vs duloxetine with modest benefit. Haven't found a whole lot of literature on any treatment algorithm. Have spoken to a few attendings about this in the past other options po steroid dose pack, vs doing mbbs at the sites with steroid vs just telling the patients its gonna be a rought few weeks to months, but should be fine after? Would love any additional insight vs any literature anyone has come across for treatment. Thank you in advance
 
Last edited:
Self resolves over 4-6 weeks, will sometimes give some gabapentin if it's disrupting sleep. I warn every patient about it beforehand so usually they don't complain too much about it.
 
I've had 4 ppl with neuritis complaints lasting 12 months or more. Each underwent C3-5 RFA.

Other than that, self-limiting after 3-6 weeks.

I always add dexamethasone 10mg to my cervical RFA.

Oral steroids and either gaba/Lyrica, alpha lipoic acid and turmeric.
 
I've had 4 ppl with neuritis complaints lasting 12 months or more. Each underwent C3-5 RFA.

Other than that, self-limiting after 3-6 weeks.

I always add dexamethasone 10mg to my cervical RFA.

Oral steroids and either gaba/Lyrica, alpha lipoic acid and turmeric.
I appreciate the response. Correct me if I am wrong, but not a whole lot of data to support steroids to prevent post RFA neuritis. I used to do it during fellowship but stopped since I got out. Anecdotally I havent noticed much of a differance in terms of incidence in my practice since I stopped doing this.
 
I appreciate the response. Correct me if I am wrong, but not a whole lot of data to support steroids to prevent post RFA neuritis. I used to do it during fellowship but stopped since I got out. Anecdotally I havent noticed much of a differance in terms of incidence in my practice since I stopped doing this.
The big cervical RFA review published in the last yr mentions it is probably a good idea but I can't remember the exact language used.
 
Didnt realize some people don’t put steroids in RF? I do steroids on all patients, only had 2-3 neuritis cases break through which resolved with a dose pack
 
Didnt realize some people don’t put steroids in RF? I do steroids on all patients, only had 2-3 neuritis cases break through which resolved with a dose pack
NNT?

Seems like a lot of unnecessary steroid exposure.

“The literature doesn’t support your observation.” -probably Lobel

I’m not strongly opposed to some steroid for RF, but I wouldn’t do this. I occasionally put Dex in upper cervical RFAs, as those seem to be the most frequent and more serious cases of neuritis.
 
I try to minimize steroids if I can. I stopped adding steroid to my RFA about 4 years ago, neuritis is the same. My partners add steroid to their RFs, I have the same (or less) neuritis than they do.
 
I haven't used steroids after RFA since fellowship (10 years ago), no higher incidence of neuritis than my partners who still do it.
 
Advertisement - Members don't see this ad
very limited data, all pubhlished in Pain Physician. all suffer from small sample size. overall very low incidence of neuritis, so hard to interpret data esp in light of small sample size.

no benefit:

helps with short term local pain (ie pain on palpation). not sure this is true neuritis though...
 
Has anyone tried (or heard of lol) of persisent post RFA neuritis not responding to meds, and repeated the mbb with anesthetic and steroid for tx? I have never had post rfa neuritis lasting more then a few weeks, but assuming I eventually will. I have never come across anything online about it. Two other docs at my practice never heard of it, just had an attending before i graduated who taked about this.
 
Has anyone tried (or heard of lol) of persisent post RFA neuritis not responding to meds, and repeated the mbb with anesthetic and steroid for tx? I have never had post rfa neuritis lasting more then a few weeks, but assuming I eventually will. I have never come across anything online about it. Two other docs at my practice never heard of it, just had an attending before i graduated who taked about this.
I've done it once. Complete resolution.

Work Comp pt.

No reason to trust that outcome.
 
Had one for 6 months post RFA, did MBB with steroids went away; after failing neuropathics, topical, time. I rarely every do steroids in the initial CRFA
 
Had one for 6 months post RFA, did MBB with steroids went away; after failing neuropathics, topical, time. I rarely every do steroids in the initial CRFA
how'd you bill for that? or was that taken for a loss
 
I've done it once. Complete resolution.

Work Comp pt.

No reason to trust that outcome.
I did one for cervical neuritis lasting about 3 months. Improved symptoms substantially but not complete resolution.
 
I found using a very small needle helps minimize this. I use a 22g with 5mm active tip now and have not had issues neuritis since I downsized to this smaller needle. I use the much larger 18g with a 10mm active tip in the the lumbar for the big treatment area.

In addition in the cervical spine with the prone approach especially you have to watch for the possibility of needle migration anteriorly. After placing the RFA probes for motor testing and then removing them to administer local I have found that on occasion the needle tip would slide forward a small amount even when I had stabilized the needle and did not perceive any movement. It was never a large amount but occasionally enough that I thought it might cause a problem. I now always take repeat lateral after I anesthetize and replace the RFA probes. This is something I do not do in the lumbar spine.

When I have seen neuritis in the past my experience was in line with comments above. Sensitivity to touch and shower, self limiting but does not resolve until the RFA wears off so figure six months.
 
Last edited:
Nasty neuritis. This is 80 degrees 90 seconds.

1701887640068.png
1701887673090.png
1701889475321.png
1701897667719.png
1701898953523.png
1701899029687.png
1701898992969.png
1701899091694.png
 
Advertisement - Members don't see this ad
These images look great. Sorry it happened? Steroid?
 
Lyrica Rx sent in, and we're starting it for chronic pain (and neuritis). She gets a shoulder scope in two weeks for a large RCT. I like antineuropathics (gabapentin 100mg HS or BID) perioperatively in general. I wish they were given 2 weeks before and after ALL orthopedic surgeries.

Dexamethasone given before RFA needles were removed.
 
Virtually every cervical ablation I do results in neuritis.

Neurotherm, 80C, 60 sec, 10mm active tip, 20g needle, dex 3mg per needle after lesion.

I'm now of the opinion that you will get neuritis if you properly ablate the neck. If you're not getting it, you didn't properly ablate that patient. This is just another case I've decided to post. This happens with nearly every patient I do...

Critique my technique guys. Is there something I'm not doing? I've tried burning 90-120 sec. Increasing the temp, lowering the temp.

1706186270383.png

1706186301492.png
1706186396669.png
1706186375534.png
1706186483419.png
1706186353563.png
 
I get a fair amount of neuritis as well. Usually wind up telling them beforehand they are likely to get it and have that it’s self limited and usually put them on neurontin/lyrics for a few weeks
 
Virtually every cervical ablation I do results in neuritis.

Neurotherm, 80C, 60 sec, 10mm active tip, 20g needle, dex 3mg per needle after lesion.

I'm now of the opinion that you will get neuritis if you properly ablate the neck. If you're not getting it, you didn't properly ablate that patient. This is just another case I've decided to post. This happens with nearly every patient I do...

Critique my technique guys. Is there something I'm not doing? I've tried burning 90-120 sec. Increasing the temp, lowering the temp.

View attachment 381571
View attachment 381572View attachment 381575View attachment 381574View attachment 381576View attachment 381573

Technique looks fine, the bottom one could be a touch closer to os. I’m the higher you go the more common. I do 90 seconds same gauge needle and don’t get it as commonly with same technique. I do tell them about it in clinic then again in preop and it’s self limiting. I had significant post op neuritis and went back 2 months later and did an MBB and it went away in one, other sent for surgery. Pt noted previous to her previous surgery she had a similar feeling and went for surgery and went away, so potential confounded. Of note I don’t put steroid and use marcaine, I wonder if using different local has any effect
 
question - they get neuritis, but are they getting benefit?

if they are getting long term benefit, then it seems that you should tell them that they will get neuritis but they will also get long term benefit irrespective of the neuritis. just chalk up your neuritis as part and parcel to your technique, its helping them out long term, and move merrily along.

if you change your technique, you might eliminate the neuritis, but not get benefit.


i dont get much neuritis but i also tell patients that it will take 2 weeks to kick in, and expect the delay but it will be worth it long term. i get fairly good results.... have multiple patients that get repeat RFA every 8-10 months.

also, i can almost predict who will fail cervical RFA, and it has less to do with procedural technique.....
 
Virtually every cervical ablation I do results in neuritis.

Neurotherm, 80C, 60 sec, 10mm active tip, 20g needle, dex 3mg per needle after lesion.

I'm now of the opinion that you will get neuritis if you properly ablate the neck. If you're not getting it, you didn't properly ablate that patient. This is just another case I've decided to post. This happens with nearly every patient I do...

Critique my technique guys. Is there something I'm not doing? I've tried burning 90-120 sec. Increasing the temp, lowering the temp.

I’d like to know how you define neuritis? Most of don’t get it as much and your technique looks fine.

For me neuritis is sharply increased pain after RFA including a sunburn type feeling, that lasts for over a month. Neuritis at TON, will also include a significant headache in the days or weeks after the RFA.

Not just significant soreness for 2-3 weeks plus or minus a little paresthesia for same time period in the skin overlying the lesion.
That is just normal cervical RFA post procedural pain.
 
Advertisement - Members don't see this ad
Sunburn sensation. Discomfort with light touch, especially shower water and occasionally clothing. Numbness in the occiput, neck, trapezius.

Specifically NOT pts with "worse neck pain" after the RFA. I've had people tell me that, but that's what some people say after any procedure. I'm talking precisely neuropathic changes at the skin.

TON neuritis is 100% of patients, and I think I've had maybe 1 or 2 in my entire career that didn't get it. That's both my clinical experience and the published rate of neuritis (95% at TON).
 
Virtually every cervical ablation I do results in neuritis.

Neurotherm, 80C, 60 sec, 10mm active tip, 20g needle, dex 3mg per needle after lesion.

I'm now of the opinion that you will get neuritis if you properly ablate the neck. If you're not getting it, you didn't properly ablate that patient. This is just another case I've decided to post. This happens with nearly every patient I do...

Critique my technique guys. Is there something I'm not doing? I've tried burning 90-120 sec. Increasing the temp, lowering the temp.

View attachment 381571
View attachment 381572View attachment 381575View attachment 381574View attachment 381576View attachment 381573
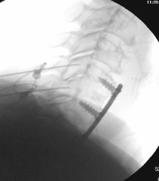
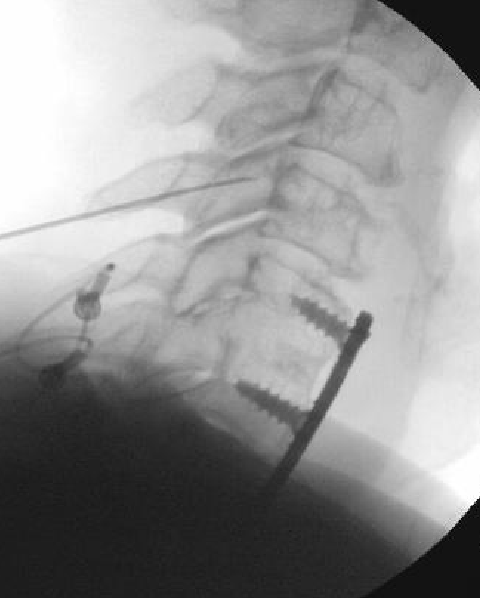
Why are you doing RFA at a fused level?
 
i believe medicare will not cover RFA of a fused level.

i saw that too, but when you look at the AP images...

why would a fused level hurt?
 
Here's the deal - If anyone thinks a "fused" joint cannot hurt, he/she should explain to me why a perfectly decompressed spine experiences radiculitis, or why a pt with a beautiful TKA hurts. Why do half of our pts hurt?
 
Here's the deal - If anyone thinks a "fused" joint cannot hurt, he/she should explain to me why a perfectly decompressed spine experiences radiculitis, or why a pt with a beautiful TKA hurts. Why do half of our pts hurt?

I have no problem with you doing an ablation on a spine with an anterior fusion such as an ACDF or ALIF.
Getting paid for it might be tough, but medically I think sometimes those joints have pain and no judgment from me if you choose to RF them.
 
Advertisement - Members don't see this ad
So I’ve been wondering on post-RF neuritis - is it from burning the nerves too well? Or from missing the nerve slightly and damaging but not fully ablating it? Sometimes one, sometimes the other? I did have one recently who got a bad post-RF neuritis after her first (upper cervical) RF and not much relief after that wore off. I was still very convinced though that it was her facets, so I repeated the RF and did a more thorough ablation, including bipolar over the C2-3 area to really make sure I covered it. She’s had almost total pain relief and no neuritis.
 
So I’ve been wondering on post-RF neuritis - is it from burning the nerves too well? Or from missing the nerve slightly and damaging but not fully ablating it? Sometimes one, sometimes the other? I did have one recently who got a bad post-RF neuritis after her first (upper cervical) RF and not much relief after that wore off. I was still very convinced though that it was her facets, so I repeated the RF and did a more thorough ablation, including bipolar over the C2-3 area to really make sure I covered it. She’s had almost total pain relief and no neuritis.
We could test this theory if @MitchLevi switches to 18 ga, keeps technique the same, and gets less neuritis, that would point to incomplete burns as the culprit
 
We could test this theory if @MitchLevi switches to 18 ga, keeps technique the same, and gets less neuritis, that would point to incomplete burns as the culprit
My n is maybe four or five… but for this group of patients with significant neuritis from c23 rf (18g, 10mm, 2-3 parallel burns), who went on to have excellent relief for one to two years… I subsequently repeated with bipolar above and below the joint line, and all have done very well and avoided significant neuritis on round 2. Due to the bipolar vs just due to being round 2? Dont know.
 
We could test this theory if @MitchLevi switches to 18 ga, keeps technique the same, and gets less neuritis, that would point to incomplete burns as the culprit
Last year someone on here speculated that the RF neuritis might be due to burning more cutaneous sensory branches that have a little more posterior takeoff on some patients, so I tried pulling the needle tips back a little from my usual position. Saw several bad cases of neuritis and abandoned that quickly.
 
I wouldn't recommend bipolaring the C2-3 joint. The vascularity there is different. Unipolar it with repeated burns above, across and below the joint line. IMO.

I've wondered that same Q - Incomplete vs complete. The diameter of TON is around 1.4mm, and the rest of the cervical MB nerves are 0.9mm and smaller, with C7 being 0.6mm on avg.

Thicker diameter, burn longer IMO.

There are cutaneous branches up high, and there's no way IMO to spare them.

I've burned 3 min in the neck before, and I've done 60 sec.

Help me Obi Wan, you're our only hope
 
Here's the deal - If anyone thinks a "fused" joint cannot hurt, he/she should explain to me why a perfectly decompressed spine experiences radiculitis, or why a pt with a beautiful TKA hurts. Why do half of our pts hurt?
is the implication that radiculitis is facetogenic? i would think the radiculitis was secondary to alterations in nerve signal prcessing.

beauty is in the eyes of the beholder. i do not see TKAs and fusions as things of beauty, no matter how much the surgeons admire their handiwork.


some patients just will develop chronic pain, probably related to inflammation, peripheral nerve injury resulting in pain sensitization and with resultant neuroplasticity, this pain signalling leads to abnormal long term effects and nonresolution. but you know that.

surgical procedures are setting up any patient to chronic pain. maybe we are lucky that so few patients develop chronic pain...

there is pretty good evidence that regional anesthesia for procedures may reduce chronic postoperative pain, as an example.
 
This is slightly off topic but I have a bunch of patients who have done well with genicular rfa which I can no longer offer. Any good results with peripheral nerve stim for these people?
 
is the implication that radiculitis is facetogenic? i would think the radiculitis was secondary to alterations in nerve signal prcessing.

beauty is in the eyes of the beholder. i do not see TKAs and fusions as things of beauty, no matter how much the surgeons admire their handiwork.


some patients just will develop chronic pain, probably related to inflammation, peripheral nerve injury resulting in pain sensitization and with resultant neuroplasticity, this pain signalling leads to abnormal long term effects and nonresolution. but you know that.

surgical procedures are setting up any patient to chronic pain. maybe we are lucky that so few patients develop chronic pain...

there is pretty good evidence that regional anesthesia for procedures may reduce chronic postoperative pain, as an example.
You're so oddly interpretive of information that it makes talking to you very difficult. Thanks for educating me about nerve pain; if not for you I'd never have known any of that.

Of course there is a difference in a facet vs a radic. It was a general statement when I posted that. You're a crazy person if you think a level that's fused can't hurt. I see very nicely done knees and hips that continue to hurt. I work in a large ortho group and see it daily.

Same with spinal surgery. I see nice looking fusions and decompressions that pts tell me have made them worse.

You have no ability to prove to me a "fused" level can't hurt.
 
You're so oddly interpretive of information that it makes talking to you very difficult. Thanks for educating me about nerve pain; if not for you I'd never have known any of that.

Of course there is a difference in a facet vs a radic. It was a general statement when I posted that. You're a crazy person if you think a level that's fused can't hurt. I see very nicely done knees and hips that continue to hurt. I work in a large ortho group and see it daily.

Same with spinal surgery. I see nice looking fusions and decompressions that pts tell me have made them worse.

You have no ability to prove to me a "fused" level can't hurt.
I see lots of knees that still hurt post-op, very rarely hips. Also makes sense for joint replacements to continue to hurt as the motion of the joint is preserved, so tendonitis, bursitis, etc will continue to hurt.

I think spinal fusions are a whole different beast though. Makes sense for people to have persistent neuropathic pain after a fusion or discectomy. The way I explain it to patients is, I think, the same way the surgeons here do - spinal fusion stops the damage from getting worse but it doesn’t undo nerve damage that has already occurred. I RF adjacent segments all the time but not fused levels. My rationale is that the RF is almost exclusively blocking pain from the joint, so if the joint can’t move it seems unlikely to hurt.

Makes me wonder though - those patients with big posterior fusions, like C2-T2, whose entire neck still hurts. Have you done RF for any of them? Since you’re picking off some of the dorsal soft tissue sensory innervation, I can see a rationale. I’ve never tried because it wouldn’t be covered by insurance though.
 
Advertisement - Members don't see this ad
Top Bottom