X-rays to read/review/whatever

This forum made possible through the generous support of SDN members, donors, and sponsors. Thank you.

heybrother

28232
10+ Year Member
Joined
Oct 17, 2011
Messages
3,713
Reaction score
8,755
Points
5,776
  1. Podiatrist
Advertisement - Members don't see this ad
Recon-1.JPG

Recon-2.JPG

Recon-3.JPG
 
I haven't had radio yet but is that a lisfranc with 5th met transverse fx?
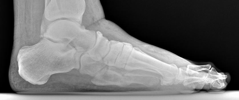
Weird case. 50ish year old male. I actually found this looking back through x-rays the other day. The guy had seen another DPM or ortho less than a year before for problems with the 5th metatarsal. He always had lingering issues even after it "calmed" down. Walked in acutely tender/painful/swollen with no protection or anything like that. Active smoker. History of a DVT. Scheduled for a major gastrointestinal surgery that he was literally flying to the other side of the country for. We came in and discussed a variety of options which I won't write to leave it open to discussion. Anyway. Sadly, he died a few months after the other surgery.

Questions you could ask yourself about the fracture - what are fracture findings of healing? What are clinical findings of healing? Does this fracture look - irregular? When is a fracture a non-union? What issues are raised by recurrent fractures of the lateral foot?

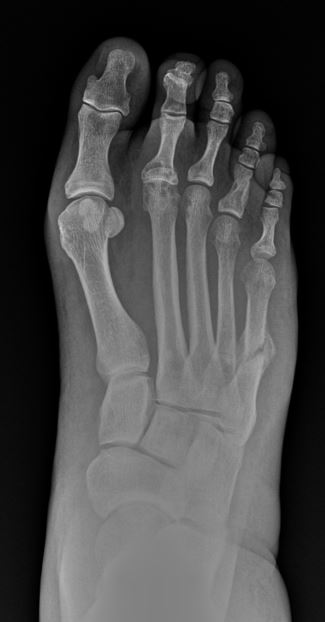
How about that 2nd MPJ?
 
Weird case. 50ish year old male. I actually found this looking back through x-rays the other day. The guy had seen another DPM or ortho less than a year before for problems with the 5th metatarsal. He always had lingering issues even after it "calmed" down. Walked in acutely tender/painful/swollen with no protection or anything like that. Active smoker. History of a DVT. Scheduled for a major gastrointestinal surgery that he was literally flying to the other side of the country for. We came in and discussed a variety of options which I won't write to leave it open to discussion. Anyway. Sadly, he died a few months after the other surgery.

Questions you could ask yourself about the fracture - what are fracture findings of healing? What are clinical findings of healing? Does this fracture look - irregular? When is a fracture a non-union? What issues are raised by recurrent fractures of the lateral foot?

How about that 2nd MPJ?
Lol, I'm a first year so here goes nothing. The 2nd MPJ looks dislocated with possible hammer toe on it too? Either that the 2nd MPJ looks severely arthritic to me...
 
Lol, I'm a first year so here goes nothing. The 2nd MPJ looks dislocated with possible hammer toe on it too? Either that the 2nd MPJ looks severely arthritic to me...
I think the interesting thing here is - do you need a 3V for this patient. My partner seems to order nothing but 2V. In time - you'll see that DP view and be pretty confident the toe is completely subluxated whether you have the oblique or not, but I like that oblique for showing this to the patient.

-On the AP view you can't see the joint space of the 2nd MPJ. DJD can cause joint space narrowing but so can a toe dorsally subluxating. There's also some degree of irregularity to the density of the joint/toe.
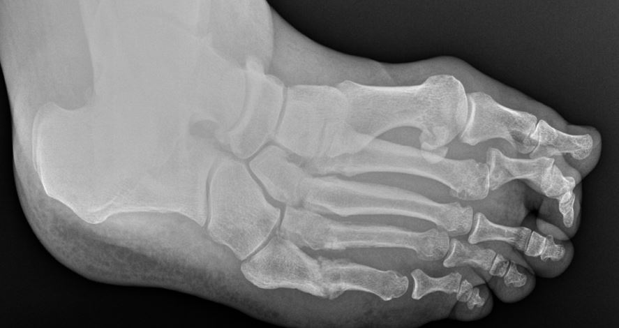
-On the lateral you can see the toe raised above the plane of the other toes. Now that can occur without subluxation of the MPJ ie. contracture within the joint; however, it does appear more dorsal at the MPJ itself.
-The oblique view shows a number of things. The first is the subluxation ie. its up, the contracture within the toe. Additionally, the metatarsal head itself appears larger than the other heads and again the density is irregularity. The joint space seems decreased though the toe is malpositioned which contributes to this.

My last random thing though - look for these things though but go into the room with an open mind. This especially applies to trying to put everyone into a cavus/planus box before you walk into the room. Other thing - x-rays often "understate" (or is it our interpretation/perception) how large a patient's bunion will appear to be clinically. Also, go into the room considering how good a job your tech did taking the x-rays. This is especially relevant for post-ops and there's incredible value to trying to get your tech to take as true a weight-bearing view as possible.
 
Top Bottom