Let's do some echo:

This forum made possible through the generous support of SDN members, donors, and sponsors. Thank you.
Advertisement - Members don't see this ad
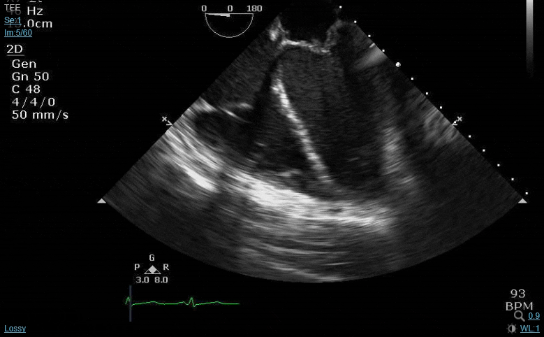
Embolized IAS occluder device?
Wow, strong work! It’s an amplatzer septal occlusion device that embolized after attempted deployment. Unable to retrieve in cath lab, came emergently to OR for open retrieval.
 
looks like an AV canal defect vs atrial septal rupture on the 4C ME view with an RVAD or other cannula in the RV. Other posters pointed out possible embolized valve or misdeployed PV, which would also make sense. There is a tricuspid valve in the correct position.

No AV canal defect. Just a foreshortened ME4, approaching a ME5. Was focused on getting a good X-plane of the embolized device, not necessarily getting the correct “view”. Good eye on the atrial septum. Patient had a large PFO and atrial septal aneurysm. I can see how you might think atrial septal rupture from that clip alone though.
 
No AV canal defect. Just a foreshortened ME4, approaching a ME5. Was focused on getting a good X-plane of the embolized device, not necessarily getting the correct “view”. Good eye on the atrial septum. Patient had a large PFO and atrial septal aneurysm. I can see how you might think atrial septal rupture from that clip alone though.
So I take it they had already deployed and it subsequently embolized, and the catheter attached to it now is from the cathlab's retrieval attempt?
 
So I take it they had already deployed and it subsequently embolized, and the catheter attached to it now is from the cathlab's retrieval attempt?
Yes, it embolized after attempted deployment, but there is no catheter in the image I posted. In the ME4/5, the linear echo density closer to the tricuspid valve is the device, the more apical echo density is just a moderator band.
 
Nice cases my dudes. 🤙🏽
Been busy w/ life lately and just saw this thread pop up again.
Do have kind of a neat one to present once I get some images. Stay tuned.
 
77 y/o male scheduled for a TAVR.

The following images are acquired after induction.



Thoughts?
 
Tell whoever the clown was that diagnosed this guys “AS” that they should have taken a closer look at the septum. Fluids and neo. Wake up and CV surgery consult for septal myectomy. Unless he’s getting a TAVR because he’s too high risk for SAVR, then I guess go for alcohol ablation. The guy who does that may well have been standing in the room with you when you clipped these.

Edit: On another look at that first/last clips it looks like there’s something mobile on the septum that could be contributing to turbulence/flow acceleration in the LVOT. Fibroelastoma (unlikely) vs sub-aortic membrane vs old decompressed abscess cavity from endo. Either way, patient needs a CV surgery eval.
 
Last edited:
Nice case Sevo!

The spectral Doppler trace tells an interesting story- looks like there are 2 separate obstructions to aortic outflow. The valve itself does look calcified and fairly immobile, so the AS may be real. Second (later peaking) obstruction looks like it might be a subaortic membrane? The color Doppler pattern is textbook for SAM, but the muscular IVS doesn’t look that thick and we don’t see any leaflet SAM in any of the 2D shots you posted.

In terms of what to do next, that’s a challenging question. I don’t think I’d advise proceeding with the TAVR until the anatomy is further delineated. I know it’s not the correct modality for this, but curious what the TAVR CT scan looked like?
 
77 y/o male scheduled for a TAVR.

The following images are acquired after induction.



Thoughts?
Looks like subaortic membrane + probably AS. I think the discussion above was exactly what needs to happen. That is, consult CT surgery, wake up the patient and talk about surgical intervention.

Those are some awesome pictures!
 
Advertisement - Members don't see this ad
Couple thoughts...

1) There is a really significant PISA on the LV side of the mitral. In addition, CFD shows at least moderate MR. Possibly rheumatic appearing? Wonder what the gradient was across the MV. Need more images
2) Significant RA compression. Don't really know what to make of it in this setting
3) There are definitely two obstructions, one in the LVOT (? Subaortic membrane) and another across the AV. This is shown with both the CFD and CWD. However, it doesn't have the general appearance of a subaortic membrane. Looks more filamentous and mobile. Possible Emboli risk?

Good case with a lot going on.
 
Subaortic membranes can have all kinda of weird appearances so I probably wouldn't rule it out just based on those couple clips

clc22775-fig-0001-m.jpg




Agree with others saying wake up him. Given the intraventricular gradient and the fact that it's not HOCM with leaflet SAM he's gonna need CTS to lay eyes on the LVOT.
 
77 y/o male scheduled for a TAVR.

The following images are acquired after induction.



Thoughts?
Follow-up question, do you guys do all your TAVRs under GA? I'd say >90% of ours are minimal sedation with just dexmedetomidine +/- a tiny bit of narcotic.
 
Follow-up question, do you guys do all your TAVRs under GA? I'd say >90% of ours are minimal sedation with just dexmedetomidine +/- a tiny bit of narcotic.
Same, we’re doing 80-90% MAC. Has to be a good reason to do it under GA. This guy would have had his elevated LVOT gradient diagnosed after valve deployment at our shop…
 
Follow-up question, do you guys do all your TAVRs under GA? I'd say >90% of ours are minimal sedation with just dexmedetomidine +/- a tiny bit of narcotic.

In residency we did precedex + propofol at low doses with no narcotic and a cardiologist doing tte
 
We are probably 50/50. Zero difference on wheels in wheels out times.
5 tavrs by 3pm.

All cases reviewed at tavr conference which is on once a week with cardiac anesthesia present at 100% of the meetings.

access issues, inability to lay still, patient preference, rbbb (which we then place a temp pacer after induction), alternate access (other than femoral) etc are some of the reasons we do general tavrs.

For general cases it’s .5 mac and zero narcs and we have them doing yoga in pacu upon arrival. It’s the easiest case in the world to wake up.

Don’t be fooled into thinking a quick general is more dangerous than a deep sedation case which borders on general anyways.

The silver lining is we do a tee which is orders in magnitude better than TTE (which we also read).
 
Last edited:
I am truly humbled by the quality of responses here. Good job everyone.



Real life case that puts the cardiac anesthesiologist in a unique position. Our cardiac anesthesia department is quite strong and one thing we remind ourselves daily is to never trust anyone and any pre-op diagnosis.

Multiple things happening here as stated above.

Classic SAM appearing CFD.

At least moderate to severe MR
Severe AS.
Septal hypertrophy.
I can see where some would think that there is redundant anterior mitral valve leaflet but on close inspection this looks and smells like a sub aortic membrane. This suspicion is validated by the 2 peaks on CWD and a peak gradient of 200 mmHg def. puts SAM into the picture.

So… TAVR and sub aortic membrane plus SAM is a def. no IMO for TAVR. Morbidity related to landing a Sapien 3 is def. increased.

We woke this patient up and brought him to the OR:

Septal myectomy
Root enlargement
Resection of sub aortic membrane
23mm Edwards Magna

Post bypass echo:

Mean gradient 6 mmHg
Mild residual SAM with no significant LVOT obstruction. Peak gradient 12 mmHg.
Mild to Moderate MR

Below you can see the sub aortic membrane we resected.
 
Advertisement - Members don't see this ad
We are probably 50/50. Zero difference on wheels in wheels out times.
5 tavrs by 3pm.

All cases reviewed at tavr conference which is on once a week with cardiac anesthesia present at 100% of the meetings.

access issues, inability to lay still, patient preference, rbbb (which we then place a temp pacer after induction), alternate access (other than femoral) etc are some of the reasons we do general tavrs.

For general cases it’s .5 mac and zero narcs and we have them doing yoga in pacu upon arrival. It’s the easiest case in the world to wake up.

Don’t be fooled into thinking a quick general is more dangerous than a deep sedation case which borders on general anyways.

The silver lining is we do a tee which is orders in magnitude better than TTE (which we also read).
Honestly, I would do GETA 100% of the time for TAVRs if I had my way. Outcomes are the same in the literature, less headache for me than a MAC, TEE for all, and as you say, with a light hand the wakeup time is the same.
 
Last edited:
Patient is ESRD, TV endocarditis with pretty extensive vegetative burden in the R heart but no left sided veggies noted on pre-op TEE. Now coming to the OR for TV repair vs replacement.

On close examination, the AV looks like this:
1643753576001.gif

Mild-mod AI coming from L-R commissure, AVA 1.7 by continuity equation. SAX of the AV is unexciting (no clear mobile echos seen), though my colleague acquired the images and the exam wasn’t as complete as I would have liked. I took over the case on CPB, so I didn’t have the opportunity to go back and interrogate the valve further (no 3D, etc).

Patient is fairly sick, R heart not doing great, so adding to the XC time would not be doing him any favors. That said, surgeon is fast and reasonable.

I’m curious, would anyone here advocate for opening the aorta to inspect this valve in light of positive blood cultures and known IE elsewhere in the heart? Or would you write this off as Lambl’s vs chunky calcium and move on? FWIW there were a few different ME AV LAX shots that displayed similar findings, so I did not get the sense that the finding in the above image was just a result of the imaging plan cutting through the sinus in an odd way (although as all of us know it’s very difficult to make that determination without the probe in your hands…)

Cheers
 
Patient is ESRD, TV endocarditis with pretty extensive vegetative burden in the R heart but no left sided veggies noted on pre-op TEE. Now coming to the OR for TV repair vs replacement.

On close examination, the AV looks like this:
View attachment 349377
Mild-mod AI coming from L-R commissure, AVA 1.7 by continuity equation. SAX of the AV is unexciting (no clear mobile echos seen), though my colleague acquired the images and the exam wasn’t as complete as I would have liked. I took over the case on CPB, so I didn’t have the opportunity to go back and interrogate the valve further (no 3D, etc).

Patient is fairly sick, R heart not doing great, so adding to the XC time would not be doing him any favors. That said, surgeon is fast and reasonable.

I’m curious, would anyone here advocate for opening the aorta to inspect this valve in light of positive blood cultures and known IE elsewhere in the heart? Or would you write this off as Lambl’s vs chunky calcium and move on? FWIW there were a few different ME AV LAX shots that displayed similar findings, so I did not get the sense that the finding in the above image was just a result of the imaging plan cutting through the sinus in an odd way (although as all of us know it’s very difficult to make that determination without the probe in your hands…)

Cheers
I don't think it's Lambl's, but do you have a previous echo?

Valve leaflets thickened ratty and calcified, mobile echodensities, AI of unknown chronicity, and known endocarditis on the right side....I think you have to do an aortotomy and take a look at least.



These are just too suspicious:

1643763834826.png
 
Last edited:
That was my feeling as well- unfortunately my colleague hadn’t noted it or discussed with the surgeon, and he was already warming/getting ready to come off when I took over and pointed it out to him. He (the surgeon) felt it was probably calcium and opted to leave it alone, which was a fair decision in light of overall patient comorbidities and R heart issues (we struggled and kind of skimmed the treetops coming off, left the OR with a balloon pump; may not have made it off at all if bypass run was any longer).

I still felt like it was an awkward position to be in, trying to advocate for the patient without throwing my colleague who started the case under the bus. Curious how hard others with more experience would have pushed… At the end of the day I felt like I offered a recommendation as a consultant, which is all I can really do. Will be interesting to see the blood cultures clear, and if the follow up imaging shows anything on the AV (assuming patient survives long enough to have follow up imaging).

*edited for clarity
 
That was my feeling as well- unfortunately my colleague hadn’t noted it or discussed with the surgeon, and he was already warming/getting ready to come off when I took over and pointed it out to him. He (the surgeon) felt it was probably calcium and opted to leave it alone, which was a fair decision in light of overall patient comorbidities and R heart issues (we struggled and kind of skimmed the treetops coming off, left the OR with a balloon pump; may not have made it off at all if bypass run was any longer).

I still felt like it was an awkward position to be in, trying to advocate for the patient without throwing my colleague who started the case under the bus. Curious how hard others with more experience would have pushed… At the end of the day I felt like I offered a recommendation as a consultant, which is all I can really do. Will be interesting to see the blood cultures clear, and if the follow up imaging shows anything on the AV (assuming patient survives long enough to have follow up imaging).

*edited for clarity
If you're already warming and he's a sick guy with a bad right heart then the ship has sailed at that point. Cause you have to think, what are the possible options if there are veggies on those calcified, ratty leaflets? A quick debridement/debulking without causing a perf or bad AI? Unlikely. So you're gonna re-pleg and extend the pump run long enough to do an AVR? Nahhhh.

Live to fight another day. Reculture. Abx if they're veggies. Pray they don't embolize somewhere bad as they heal.


Also, just curious, what time was this case going on? Were you the call guy relieving your colleague late?
 
Those last two cases are really good gents, thanks. I agree with the group for both as far as waking up/no TAVR and telling surgeon AV looks suspicious and he/she may want to take a look.

But I also want to know how and why your colleague did an LV bubble study? 😜
 
Let’s let the fellows out there take a crack at this one before the attendings chime in…

Can you tell me, based on this one clip:
- what pathology did this patient have?
- what surgery was done to fix it?
- how do you predict the right heart will look?
- why do you think they’re back in the operating room now?

1645291130387.gif

Apologies for the extreme over gain… Once again, not a clip I took myself. I promise my images aren’t this fuzzed out ; )
 
A bit disappointed there are no takers. Was hoping there would be some more fellows and residents lurking on this thread.

Anyone else wanna give it a shot?
 
Advertisement - Members don't see this ad
1) Aortic root to RV fistula
2) Attempted catheter based closure
3) Dilated and impaired
4) ?
Interesting guess- you are correct that the geometry of the aortic root is not in the usual configuration with respect to the RV. Any other conditions that you can think of where this would be the case? Take a close look at the position of the root relative to the inter-ventricular septum…
 
We have a winner!

The original clip shows the typical appearance of a repaired TOF, with the aortic root displaced anteriorly and to the right, resulting in an “overriding” aorta with a membranous VSD. If you look closely you can see the patch material that was used to repair the VSD.

Typically the index surgery for definitive repair also seeks to address the RVOT obstruction, most commonly with a “transannular patch” (basically enlarging the RVOT). Unfortunately this often obliterates the pulmonic valve, and repaired Tets are frequently left with very severe pulmonic insufficiency (“free PI”). As you can imagine, kids initially tolerate this well, but in late adolescence or early adulthood they end up needing PV replacement.

For the lucky patients, trans catheter PV replacement is an option. If the anatomy is not suitable, they end up coming back to the operating room for a surgical PVR. If you had to guess why this patient is back in the OR now, that would have been the best guess IMO.

In the case I posted, the anatomy was not suitable for trans catheter intervention, so the patient had gotten an RV to PA homograft about three years prior. Initially did well, but now having recurrent R heart failure. Echo shows this:

1645380338942.gif


1645380359577.gif
 
Was having echo pacs problems the last couple months buts let’s see if I can start digging up some clips now

94122EC2-1F3A-4C99-A0F4-8F878C3031EA.jpeg

vid1.gif


What does the CW doppler in the first shot indicate? What kind of valve / pathology are we looking at? What information from the 3d clip affects your gradient interpretation?
 
Are you showing us that valve from the underside?

Also, not saying the pathology isn’t real, but your tracing is a bit generous ; ) If you want to get a group of academic CT anesthesiologists arguing, ask them what artifact causes the second bigger/double envelope with mitral inflow CW
 
Are you showing us that valve from the underside?

Also, not saying the pathology isn’t real, but your tracing is a bit generous ; ) If you want to get a group of academic CT anesthesiologists arguing, ask them what artifact causes the second bigger/double envelope with mitral inflow CW
It's from the atrial side. AV is at 11oclockish. But that's a good question because something doesn't look quite right when you look at the the native annulus borders in relation to the prosthetic annulus borders...

And indeed it's a generous trace of the artifact of which I believe Hahn won the day over Cobey with the best explanation. (On the plus side the gradient wasn't too much different from the other envelopes with less reverberation which I averaged)

 
Couple more shots

reop mvr1.gif



And if anyone was wondering why the 3d en face from the surgeons view had such a small looking prosthetic in such a large native annulus, this was the size valve that OSH surgeon originally used for a 300 lb pt

1645747228220.png
 
I wish there was a way to slow clips down in the browser or step through frames. If I stare at it long enough I can see what I want to see, especially once I've picked a diagnosis and go looking for reasons I'm right. Some septal shift toward the LV. Little bit of an effusion in the 4c view between the RV myocardium and a thick bright pericardium. Images are a little overgained but the pericardium still seems prominent. Is there any respiratory variation?
 
RV looks dilated and somewhat sad. LV maybe lower limits of normal, and I could convince myself the inferior wall is a little less vigorous… CABG to the RCA? Some sort of L to R shunt with RV volume overload?
 
Advertisement - Members don't see this ad
I wish there was a way to slow clips down in the browser or step through frames. If I stare at it long enough I can see what I want to see, especially once I've picked a diagnosis and go looking for reasons I'm right. Some septal shift toward the LV. Little bit of an effusion in the 4c view between the RV myocardium and a thick bright pericardium. Images are a little overgained but the pericardium still seems prominent. Is there any respiratory variation?
1646101804698.png


Pre-op shot so you can see non-anesthesia loading conditions
RV looks dilated and somewhat sad. LV maybe lower limits of normal, and I could convince myself the inferior wall is a little less vigorous… CABG to the RCA? Some sort of L to R shunt with RV volume overload?
Not a CABG
 
Pericardectomy?
Ding ding ding. @pgg 's eyes did not deceive him with that abnormal septal motion. This guy came in decompensated with RHF (+- some LV failure) after declining surgery 6 months before, and what I thought was interesting was how much big diuresis and induction of anesthesia changed his echo.

This was his pre-op TTE:

CP echo 5.gif

CP echo 4.gif


After significant diuresis, if you go back to the TEE images above you can see the right heart volume overload is improved and the septal bounce is much more subtle. Additionally, another parameter we'd look at like spontaneous expiratory hepatic vein D reversal is not possible with paralysis and PPV, plus respirophasic variation might be normal'ish or uninterpretable . This is certainly a diagnosis that could be missed if one wasn't looking for it.




1646185850938.png


1646185931006.png
 
I have a peripherally related question for you all. Hopefully, this doesn't derail the thread. What is a more comprehensive test a cardiac cath or a TEE?
 
I have a peripherally related question for you all. Hopefully, this doesn't derail the thread. What is a more comprehensive test a cardiac cath or a TEE?
Depends on what the question is. It's not really an either/or thing...
 
Simple answer:

Left heart cath - much better test to detect ischemia and define the extent than a resting echo

Resting echo - much better test to tell you about cardiac structure, function, and valvular pathology
 
Simple answer:

Left heart cath - much better test to detect ischemia and define the extent than a resting echo

Resting echo - much better test to tell you about cardiac structure, function, and valvular pathology

**PEDANTIC REPLY INCOMING**

I would argue that echo is actually a better test for ischemia via visualizing regional wall motion abnormalities (plus structure, function, etc), whereas a left heart cath is the diagnostic of choice for identifying the culprit lesion and degree of severity.

You could be hypotensive and see ischemic changes without severe disease and conversely have very tight or totally occlusive coronary disease without ischemia if it occurred slowly over time and is was well collateralized.
 
@Beeftenderloin all fair points, leaving aside the issue that calling wall motion abnormalities on echo is terribly difficult and much more subjective than most people think. There’s no denying that echo is a very sensitive test for *active* ischemia…

However, I was framing my reply based on the assumption that @MirrorTodd was asking about what test was better for pre—op evaluation of ischemic risk (maybe not what he meant, though). That’s why I was careful to say that RESTING echo is a poor choice for evaluating ischemic potential. Stress echo, or echo images obtained while a patient is having crushing chest pain, will obviously be more useful for that purpose.
 
two different tests for two different indications.

What’s the context?
Like @Hork Bajir was saying I was thinking pre-operatively. To evaluate someone's cardiac function and risk in preparation for a surgery (major or otherwise) what would you rather see? If a cath has been done, is there any point to getting a TEE? Or vice versa?

(This is all theoretical, I am taking oral boards soon and was wondering if I could argue for a simple TEE on said test)
 
Advertisement - Members don't see this ad
Top Bottom