Let's do some echo:

This forum made possible through the generous support of SDN members, donors, and sponsors. Thank you.
lol... nevermind. Vector beat me to it.
 
Some examples of what Peterman is talking about

View attachment 328186View attachment 328187


M-mode through the AV leaflets is also nice to get a qualitative sense of how good LV function is. M-mode the leaflets of a normal function CABG and compare the visually assessed ejection time to an EF 30% guy and you'll see what I mean.
Tommy burch talks about this alot...
Hocm, autosomal dominant, spares basal infeolateral wall, shark tooth cwd, chattering of aov on m mode... Hey i guess it works lol
 
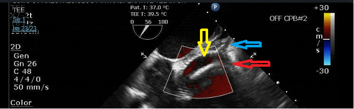
Who can tell me what's designated by the yellow arrow?


7vMwFO0.gif


UAgZBVN.gif







1611538820860.png



e: @sevoflurane without giving it away, do you know what this is? it's def not something one might routinely see in most shops...
 
Last edited:
@vector2 this is one where it’s a little bit hard to tell without holding the probe in your hands… But with that being said, looks like some thing going on in the vicinity of the aortic root. In the 60 degree view looks like a wire or catheter of some kind, though less so in the backwards four chamber. doesn’t really look like any root abscess I’ve ever seen. Clinical context?
 
@vector2 this is one where it’s a little bit hard to tell without holding the probe in your hands… But with that being said, looks like some thing going on in the vicinity of the aortic root. In the 60 degree view looks like a wire or catheter of some kind, though less so in the backwards four chamber. doesn’t really look like any root abscess I’ve ever seen. Clinical context?
Clinical context? Here's a pre-bypass clip

52OrJXr.gif
 
It almost looks like sax of impella but its in lax and not seen in the LV.... hmmm
Very low flow around it. Obviously AoV isnt opening then so its some form of an outflow cannula? idk...

So you have a massively dilated Asc Aorta. RCC looks really wierd going to be severe AI. Elkhoury 2? with vegetation on the RCC back into LVOT
is there an abscess just above the stj?

Tricuspid blown too?
 
It almost looks like sax of impella but its in lax and not seen in the LV.... hmmm
Very low flow around it. Obviously AoV isnt opening then so its some form of an outflow cannula? idk...

So you have a massively dilated Asc Aorta. RCC looks really wierd going to be severe AI. Elkhoury 2? with vegetation on the RCC back into LVOT
is there an abscess just above the stj?

Tricuspid blown too?
Make sure you look at the labels in the clips too. The first one says "Weaning CPB" and the 2nd one says "Off CPB". That should give you guys some idea as to the likelihood of whether there's going to be significant non-iatrogenic pathology still remaining in the clip.
 
Another hint: what is the pathology in the pre-bypass clip and what is the most common type of surgical repair? What are the less common variants of that surgical repair?
 
Most common is a Bentall? But isnt there a davids modification.

Plus bentall can mean many different things and not all like the original bentall. Modified bentall is what our surgeons usually say while one of them is off in the corner making a bioprosthetic into a tube graft or FET for ages intraop

So i just say modified bentall and move on.
 
Last edited by a moderator:
Most common is a Bentall? But isnt there a davids modification.

Plus bentall can mean many different things and not all like the original bentall. Modified bentall is what our surgeons usually say while one of them is off in the corner making a bioprosthetic into a tube graft or FET for ages intraop

So i just say modified bentall and move on.
Modified bentall is the most common. However, the last step of that procedure, when you're putting the pt back together, sometimes needs to be modified for an anatomic concern if a certain thing(s) doesn't reach....
 
Modified bentall is the most common. However, the last step of that procedure, when you're putting the pt back together, sometimes needs to be modified for an anatomic concern if a certain thing(s) doesn't reach....
Ah ok so its a graft to a coronary likely to LM, in a Bentall likely bio but cant really see enough to comment re AoV or root
 
Ah ok so its a graft to a coronary likely to LM, in a Bentall likely bio but cant really see enough to comment re AoV or root

Yep, this procedure is called a Cabrol (type B in the diagram below). It's used sometimes when the aneurysm is so big or if there's some abnormality in the coronaries that prevents the normal "coronary button" implantation technique used in Bentalls. The yellow arrow is pointing to the Dacron graft that is end-to-end anastomosed to a remnant of the left main. If you look close enough at the ME AV SAX, you can even see the division into the LAD (red arrow) and Cx (blue arrow)

1611639972501.png



1611638036473.png

 
Last edited:
I see liver, a small posterior collection, RV and LV hypertrophy, ventricular dyssynchrony, not sure what the circle is in the septal LV wall but doesn’t look like a muscular VSD repair. Anterior RV looks like someone is doing internal cardiac massage (ekg would argue otherwise).
 
that being said... anybody have any scuba gear I can borrow.
 
EA592E1A-CBE9-4647-9E7F-4F46595E5BA0.jpeg

should have another foot on top of that this morning . 🤗❄️🤗
 
Well ouch...
Pleural and pericardial effusion?
Pericardial concerning for tamponade physiology. clinical correlation required lol
 
@vector2 is this some type of paraesophageal hernia with abdominal viscera in the chest?

Well ouch...
Pleural and pericardial effusion?
Pericardial concerning for tamponade physiology. clinical correlation required lol
We see the liver as @sevoflurane pointed out, we see something weird going on with the myocardial-pericardial interface....and we also see something that is causing reverberation artifact. What ventricle are we looking at and what things cause reverberation artifact?
 
I got nothin. I imagine I'll be smacking my head when you explain but I'm totally lost currently.

Well not really... Ivc cannula in the RA
There is a procedure occurring but it’s not one that occurs typically in a cardiac OR. It’s related to the sequelae of another procedure that’s also typically done non-invasively.
 
Demonstrates the importance of getting good baseline images before anyone starts messing with the lead. For example, assuming this is a patient having a lead extraction, this could just be ascites with no pericardial effusion (notice how the bright pericardial line remains close to the myocardial surface, while the fluid is around the liver). I could be way off base, but hard to know without having the probe in your hands and looking around
 
Demonstrates the importance of getting good baseline images before anyone starts messing with the lead. For example, assuming this is a patient having a lead extraction, this could just be ascites with no pericardial effusion (notice how the bright pericardial line remains close to the myocardial surface, while the fluid is around the liver). I could be way off base, but hard to know without having the probe in your hands and looking around
I assumed the fluid was just pleural effusion.
 
Lead extraction gone bad?
Yep. Lead extraction. Didn't go bad.

There is always some baseline amount of fluid in the pericardial space. You can see the proceduralist tugging on the lead and inverting the RV wall, and thus fluid will naturally fill in the potential space until the tension is released and the fluid redistributes.
 
Personally, I can't get enough of random WMA clips. I find myself still picking up subtle things I missed in the heat of the moment even when I'm reviewing the same clips postop.

Pre and post MVr/TVr


X0HP97l.gif


sgTXNNs.gif
 
Yep, this procedure is called a Cabrol (type B in the diagram below). It's used sometimes when the aneurysm is so big or if there's some abnormality in the coronaries that prevents the normal "coronary button" implantation technique used in Bentalls. The yellow arrow is pointing to the Dacron graft that is end-to-end anastomosed to a remnant of the left main. If you look close enough at the ME AV SAX, you can even see the division into the LAD (red arrow) and Cx (blue arrow)

View attachment 328298


View attachment 328296
I saw this done once in fellowship.
 
Personally, I can't get enough of random WMA clips. I find myself still picking up subtle things I missed in the heat of the moment even when I'm reviewing the same clips postop.

Pre and post MVr/TVr


X0HP97l.gif


sgTXNNs.gif
Well the septal wall and inferior septal wall are not happy post bypass and something seems to be on the papillary muscle
 
Well the septal wall and inferior septal wall are not happy post bypass and something seems to be on the papillary muscle
Yep. Inferior and inferoseptal are def akinetic. This is too easy for you twig, but do any residents or fellows want to give me a differential for what’s going on?


Some collateral: pt has clean coronaries. Surgeon is excellent and pump and clamp time has been very short for a double valve
 
Yep. Inferior and inferoseptal are def akinetic. This is too easy for you twig, but do any residents or fellows want to give me a differential for what’s going on?


Some collateral: pt has clean coronaries. Surgeon is excellent and pump and clamp time has been very short for a double valve
"Left dominant" with a stitch through the circumflex is my first thought.
 
Personally, I can't get enough of random WMA clips. I find myself still picking up subtle things I missed in the heat of the moment even when I'm reviewing the same clips postop.

Pre and post MVr/TVr


X0HP97l.gif


sgTXNNs.gif

I am the opposite... 😂

I mean I enjoy WMA clips but I am more into valves and crazy looking intracardiac pathology.

Good case tho... 👍🏽
 
I am the opposite... 😂

I mean I enjoy WMA clips but I am more into valves and crazy looking intracardiac pathology.

Good case tho... 👍🏽
To clarify, I'm not *into* it in that I find it super interesting compared to other pathology. In reality it's pretty tedious. I'm saying I can't get enough because wall motion can be difficult to interpret on the fly and can be very subjective when doing visual estimation so one needs to do a lot of reps to hone one's eye.

I would recommend fellows check themselves often with a quantitative Simpson's/3d volumetric and use RWMA by strain if possible. Don't get into the habit too early of thinking your EF 35% def means 35% or that the anteroseptal wall is just mildly hypokinetic cause you glanced at one clip for 5 seconds, etc
 
"Left dominant" with a stitch through the circumflex is my first thought.
Nope.

Another hint: RV function was normal preop but is now also moderately depressed. And what is that starry hyperechoic thing attached to the papillary muscle?
 
Don’t want to hijack @vector2 clinical case.... but to ad some info to Myxomas for the boards:

1) 75% occur on the left
2). If you see something like this on the right, make sure you rule out renal cell carcinoma tracking up the IVC and into the right atrium.
 
3). Renal Cell Carcinomas invading the IVC/hepatic veins can and DO embolize mid case. Been there a hand full of times. I always have a TEE for renal cell tumor cases that have made their way to the IVC/Hepatic veins.
Alert your cardiac surgeons that you may need them.

0F1ADA8E-8539-4BCA-A0E3-90971153B243.jpeg
FAEB1C37-DE37-411C-84F1-126DDAA2743B.jpeg
 
Last edited:
Top Bottom