Patients That Are Late

This forum made possible through the generous support of SDN members, donors, and sponsors. Thank you.

SouthPod7

Full Member
5+ Year Member
Joined
Mar 26, 2020
Messages
142
Reaction score
225
Points
441
  1. Podiatrist
Advertisement - Members don't see this ad
What's your guys protocol on patients late to their clinic appointment? Do you guys have a time cut off? 10 minutes? 15 minutes? Case-by-case?

I work in an MSG and our general rule of thumb is 10 minutes across the board but there is discussion about extending that to 15 or even 20 minutes.

We don't charge a no-show or late fee. Maybe something worth bringing up?
 
I am hospital-based. We will see them if they are within 15 minutes of their appt time, however they will be seen later if there is an opening (another patient no-shows) or at the end of the clinic session (AM or PM). I am not going to make my on-time patients wait to see me because someone else was late. I also have the ability to approve late patients on a case by case basis (ie immediate postop, hospital d/c, ER referral, etc).

I don't think the hospital charges a late fee.

When I was in private practice, no-shows had a $40 fee starting from the 2nd time.
 
I don't really have a set protocol on late patients. It's a case by case and day by day decision. If it's a busy day then I can turn them away and have them reschedule but if it's a slow day then I want to see anyone that walks through the door.
However I have a cut off. I am not seeing a late patient if they are going to interfere with my lunch. I take my lunch break very seriously. I am not seeing a late patient who shows up close to office closing except if they call ahead of time and they have a good reason e.g a school teacher leaving work late etc. Again it all comes down to if it's a busy or a slow day.

I don't have a late fee or no show fee either.
 
I have so few patients it makes no difference right now. In the few cases someone is late and it encroaches on someone else's appointment time I make them reschedule.
 
But doesn't even 10 minutes after their appointment seem too generous? My dentist office is what made me think about this. If I have an appointment at 11am, they ask me to show at 10:45am. If I were to show up at 11:10am, I would lose my appointment for sure and have to reschedule.

Maybe we are too accommodating as a specialty?
 
I give them 15 minutes. IF we aren't busy or I'm not running late then they get lucky if they show up. If we are they'll need to reschedule.

Good luck collecting a no-show fee.
I made an appointment online to see an optometrist. They called to confirm my appointment, inform me about my co-pay and also get my credit card number on file for a no show fee. If you cancel 24 hours before the appointment then there is no fee.
 
I made an appointment online to see an optometrist. They called to confirm my appointment, inform me about my co-pay and also get my credit card number on file for a no show fee. If you cancel 24 hours before the appointment then there is no fee.

I wonder how enforceable that would be to a charge back. They didn't provide a service or item, and you could always claim that you weren't told about the appointment.
 
I’m pretty good about squeezing people in. Especially for patients that rely on late transport, if there’s a problem with school/work, etc. I just make it a point to see the patients at their original scheduled time who showed up on time first.

That being said, there are few worse things to ruin your day in a clinic than a late/no show right before lunch or as the last patient of the day. Usually if it’s been ~10 minutes and it shows they haven’t confirmed their appointment I will just leave.

I will also occasionally have a patient who shows up an hour before clinic begins which can be a bit annoying at times. I’m not obligated to see them until clinic hours start, but I just feel bad having them sit around.
 
Last edited:
If you're not owner, all you can really do is suggest.
It is tough to deal with late pts, especially in metro areas where traffic/parking is substantial and many are late.
I've seen the no-show fee stated in appointment reminders, but never actually enforced (ppl would just do charge back on their cred card as stated... and that costs a ton for the business). We just politely tell ppl arriving late or no show they need to reschedule, and that'll usually be 2+ weeks out. We will call the rare no-show if they are generally reliable/likeable or have an issue such as wound/injury, or we just leave it alone if not.

We do 15mins no-show / resched policy, very rare exceptions (called and said would be late, travel and/or problem that's bad to resched... early post-op, wound, pre-op, etc).

It helps to schedule your lunch longer. Again, probably just a dream unless you are owner.
I have seen extremely busy DPM offices that hugely overbook do pts from 8a-12p or 9a-12p and then 2p-5p or 2p-6p and still only get roughly an hour lunch as the morning gets so backed up on pts and notes.
For mine, borrow from that idea but schedule reasonable: we do 11am last morning appt start, afternoon pts start 1pm, we always get to have at least 1hr lunch/catch up time. Our appt blocks end at 4pm or 3pm Fridays (so last appt start is 330 or 230p)... all pts always out by 5p/4p at very latest, staff leave soon after). I think having a 'standard' hour lunch 12-1p with appts slated to begin right up to 1130, 1145, etc is a recipe for disaster... but tons of places do it... PPs, MSGs, hospitals, etc. It is asking for short lunch, no lunch, or notes through lunch. That is a recipe for unhappy staff and mizzzzerable docs.

The way I see it, ppl need our help... they can work with our sched. It works well. Smart scheduling can't guarantee a good day of appts, but bad scheduling can sure make that good day unlikely. If ppl must be seen next day for trivial stuff or keep re-scheduling or being late, if they want nothing but an 1145am or a 445pm... then they can see the nearby associate mill. 🙂
 
Last edited:
Advertisement - Members don't see this ad
But doesn't even 10 minutes after their appointment seem too generous? My dentist office is what made me think about this. If I have an appointment at 11am, they ask me to show at 10:45am. If I were to show up at 11:10am, I would lose my appointment for sure and have to reschedule.

Maybe we are too accommodating as a specialty?
We are saturated.
People have options for our cares.
Unless highly established, we have to flex a lot more to keep full.
Once highly established, hire associates (who will have to flex more to keep full)... because podiatry.
 
I see them no matter what. My biggest reason is if I don't they will go somewhere else. Telling them they are late, no matter how nice really pisses them off. I would 99% of them have a legit reason, they didn't wake up and decide that they were going to screw with my day.

Also your staff setting expectations is important. "We will see you but just know because you were late we are squeezing you in and the doctor might not be able to do x y z, or can only only address one thing, or won't be able to spend as much time with you as either of you would like" or however they word it. You still see them but it puts it back on the patient.
 
My clinic has a 15 minute cut-off. My front desk person would say seeing people late conditions them that they can be seen.

That said, my staff will also tell a patient asking for a second opinion for an Achilles tendon rupture that there's no room for them to be seen when the waiting room is empty, no patients are in the back, we're sitting on our second no show in a row, and there's 8 patients total scheduled in the afternoon. The staff are paid hourly. I don't eat if I don't see patients. Our motivations are different.

So you could say I'm morally flexible on late showings. The real truth is that people routinely show up and spend an hour filling out our new patient paperwork (that I simplified...) and therefore no one really gets seen when they are supposed to.

Back before I got busy - if a patient no showed that was listed as a nail surgery - I'd tell the staff to call the patient back and see if they still wanted to be seen. From a business perspective acquiring patients is very important - they already called and made an appointment. We just need to get them in the door! 🤣
 
spend an hour filling out our new patient paperwork (that I simplified...)
and even still half of it is not even filled out... and how they casually always forget to agree to the financial policies.
 
I see them no matter what. My biggest reason is if I don't they will go somewhere else. Telling them they are late, no matter how nice really pisses them off. I would 99% of them have a legit reason, they didn't wake up and decide that they were going to screw with my day....
Yes, this is the reality of it. There is always another podiatry office that will see them right away and work through lunch to do it.
That is something you see in chiro and pod that you don't see in many specialties.

We get "really??? You have nothing for two weeks? Are you sure?" I seriously doubt very many derm or cardiology offices get that same line.
 
Yes, this is the reality of it. There is always another podiatry office that will see them right away and work through lunch to do it.
That is something you see in chiro and pod that you don't see in many specialties.

We get "really??? You have nothing for two weeks? Are you sure?" I seriously doubt very many derm or cardiology offices get that same line.

I feel sorry for you. *









* that you are in a highly saturated profession that has politician shysters that continue to ignore the primary problem that plagues our profession.
 
Back before I got busy - if a patient no showed that was listed as a nail surgery - I'd tell the staff to call the patient back and see if they still wanted to be seen. From a business perspective acquiring patients is very important - they already called and made an appointment. We just need to get them in the door! 🤣
This is 100% true. It's a different mindset between being an employee and an employer. As an employer, I want to see everyone that walks through the door and I will bend over backwards for my school teachers/school workers and basically most government worker because you know they have the Cadillac BCBS $45 co-pay that covers 100%.
 
This is 100% true. It's a different mindset between being an employee and an employer. As an employer, I want to see everyone that walks through the door and I will bend over backwards for my school teachers/school workers and basically most government worker because you know they have the Cadillac BCBS $45 co-pay that covers 100%.
I am not an employer. I see everyone and I will give a chance to come back if they miss an appt. A PA just walked over and asked us to see a ingrown nail we fit them in.
 
I am not an employer. I see everyone and I will give a chance to come back if they miss an appt. A PA just walked over and asked us to see a ingrown nail we fit them in.
I love same day or same week ingrown nail. Will never turn those away. No matter how booked the schedule is, I can always squeeze in an ingrown nail. Pays very well for such a quick, easy, and straight forward procedure.
 
I see them no matter what. My biggest reason is if I don't they will go somewhere else. Telling them they are late, no matter how nice really pisses them off. I would 99% of them have a legit reason, they didn't wake up and decide that they were going to screw with my day.

Also your staff setting expectations is important. "We will see you but just know because you were late we are squeezing you in and the doctor might not be able to do x y z, or can only only address one thing, or won't be able to spend as much time with you as either of you would like" or however they word it. You still see them but it puts it back on the patient.
You’ll burn yourself out that way.
 
Advertisement - Members don't see this ad
Appreciate the responses everyone.

But I think the majority of you guys proved my point (Feli alluded to it above as well).

Those of you saying you would never turn away a same day ingrown because it pays well suggests to me that much of what we do doesn’t. I don’t think most other specialities would be so thirsty to accept same day office procedures if they already have a full clinic (or rather would not need to accept the same day procedures because they aren’t saturated and don’t need the business).
 
Appreciate the responses everyone.

But I think the majority of you guys proved my point (Feli alluded to it above as well).

Those of you saying you would never turn away a same day ingrown because it pays well suggests to me that much of what we do doesn’t. I don’t think most other specialities would be so thirsty to accept same day office procedures if they already have a full clinic (or rather would not need to accept the same day procedures because they aren’t saturated and don’t need the business).

This is a big part of why I don't think anyone should go into podiatry. The simple and unfortunate truth is that in private practice unless you are squeezing every dime from bloated things like DME/grafts etc - the reimbursement from commercial insurance and Medicare just keeps getting worse. We just don't have enough straight forward good value procedures with low risk / low global. When you squeeze in a new nail theoretically you are making at least $200 - hopefully more (there is in fact a commercial insurance in my area that barely breaks $200 on a 99203 + 11750 - think about that). The unfortunate truth is everything is based around Medicare and Medicare isn't enough. A lot of our codes ie. injections are basically reimbursed as if a PCP was seeing the patient for a visit and then decides to give an injection on top of the 99214. Everyone is constantly desperate to 25 modifier everything because if you don't - you'll go out of business. Even a BCBS 20550 at like 1.5x of Medicare is still $80ish bucks and therefore less than a Medicare 99213.

Someone was asking me the other day about optimal charging for fractures codes on digits. The funniest part about it to me was when I looked at wRVU - the jokingly safest coding is just to be hospital employed because then it doesn't matter. Bill a few easy 99213s and don't stress the global - 99213 was in fact worth more than the codes I looked and has no global.

Obviously there are people who do well and I haven't gone out of business yet. But there just isn't a lot of pricing premium built into our schedules. Commercial insurances for large companies are in general all still paying less than Medicare in my area. Marketplace/Obamacare plans continue to expand and in general offer pitiful payment. Blue Cross Blue Advantage continues to expand in my area and pays Medicare or sub-Medicare for procedures and massively sub-Medicare for office visits. Tricare just cut reimbursement. Cigna tried to cut my reimbursement. Aetna is sub-Medicare. United is sub-Medicare and denies everything after the fact. Medicare is trying to cut everyone's reimbursement 3% next year.

For anyone interested in reimbursement - you should read up on "Site neutrality". The pain forum has been talking about this forever but it describes essentially the enormous differential between payment to a private practice office and payment to a hospital outpatient department. (The AHA claims they still lose money). The most commonly cited number is that private offices are paid 40% of the Medicare OPPS (Outpatient Prospective Payment System). There's actually some movement and change going on in the payment to these systems based on changing laws (and lawsuits - the AHA is fighting), but the values tell you a lot about how people can be paid RVU values that literally rival the total collections that a PP office receives for the same service.

There was a discussion on the anesthesiology forum about vascular reimbursement for interventional procedures. The wild thing to me is that some of the interventional leg codes have literally enough premium built into them that you can offer vascular surface in an in office surgery suite and potentially come out ahead in time ie. they are offering like $8500 total reimbursement for some procedures. I get it - they are a big deal. We aren't. Meanwhile, podiatry surgical codes on the Medicare schedule do actually pay more in the office, but the premium over facility is incredibly tight and in most cases probably not worth pursuing. You can technically do a lapidus in the office. You will lose money on it.

That said - I still think podiatrists should attempt to find a way to bring surgery back into the office - yeah, no fixation hammertoes and what not done with a burr. Not right for everyone. Comes with its own start-up cost. But we have to find a way to create more $500-1000 visits in the office.
 
This is a big part of why I don't think anyone should go into podiatry. The simple and unfortunate truth is that in private practice unless you are squeezing every dime from bloated things like DME/grafts etc - the reimbursement from commercial insurance and Medicare just keeps getting worse. We just don't have enough straight forward good value procedures with low risk / low global. When you squeeze in a new nail theoretically you are making at least $200 - hopefully more (there is in fact a commercial insurance in my area that barely breaks $200 on a 99203 + 11750 - think about that). The unfortunate truth is everything is based around Medicare and Medicare isn't enough. A lot of our codes ie. injections are basically reimbursed as if a PCP was seeing the patient for a visit and then decides to give an injection on top of the 99214. Everyone is constantly desperate to 25 modifier everything because if you don't - you'll go out of business. Even a BCBS 20550 at like 1.5x of Medicare is still $80ish bucks and therefore less than a Medicare 99213.

Someone was asking me the other day about optimal charging for fractures codes on digits. The funniest part about it to me was when I looked at wRVU - the jokingly safest coding is just to be hospital employed because then it doesn't matter. Bill a few easy 99213s and don't stress the global - 99213 was in fact worth more than the codes I looked and has no global.

Obviously there are people who do well and I haven't gone out of business yet. But there just isn't a lot of pricing premium built into our schedules. Commercial insurances for large companies are in general all still paying less than Medicare in my area. Marketplace/Obamacare plans continue to expand and in general offer pitiful payment. Blue Cross Blue Advantage continues to expand in my area and pays Medicare or sub-Medicare for procedures and massively sub-Medicare for office visits. Tricare just cut reimbursement. Cigna tried to cut my reimbursement. Aetna is sub-Medicare. United is sub-Medicare and denies everything after the fact. Medicare is trying to cut everyone's reimbursement 3% next year.

For anyone interested in reimbursement - you should read up on "Site neutrality". The pain forum has been talking about this forever but it describes essentially the enormous differential between payment to a private practice office and payment to a hospital outpatient department. (The AHA claims they still lose money). The most commonly cited number is that private offices are paid 40% of the Medicare OPPS (Outpatient Prospective Payment System). There's actually some movement and change going on in the payment to these systems based on changing laws (and lawsuits - the AHA is fighting), but the values tell you a lot about how people can be paid RVU values that literally rival the total collections that a PP office receives for the same service.

There was a discussion on the anesthesiology forum about vascular reimbursement for interventional procedures. The wild thing to me is that some of the interventional leg codes have literally enough premium built into them that you can offer vascular surface in an in office surgery suite and potentially come out ahead in time ie. they are offering like $8500 total reimbursement for some procedures. I get it - they are a big deal. We aren't. Meanwhile, podiatry surgical codes on the Medicare schedule do actually pay more in the office, but the premium over facility is incredibly tight and in most cases probably not worth pursuing. You can technically do a lapidus in the office. You will lose money on it.

That said - I still think podiatrists should attempt to find a way to bring surgery back into the office - yeah, no fixation hammertoes and what not done with a burr. Not right for everyone. Comes with its own start-up cost. But we have to find a way to create more $500-1000 visits in the office.

With modern MIS burr technology there is no reason why hammertoe and bunion surgery can't be done in the office or small surgical suite. Just need a really good local block, mini c-arm, sterile draping, maybe noise cancelling head phones, post op DME. If I was private practice I would start my own practice and go into the hole and build an in office surgical suite. It may not be for all patients but I could see some patients wanting it. No need for PCP clearance, no facility fees, no anesthesia fees, etc. You may be able to justify your own "facility fee" on top of the billing insurance. Not sure that is legal. A prominent NYC bunion king charges several thousand dollars up front cash and then I am sure they bill insurance as well.
 
On the subject of late patients, I rarely turn people away. I always found it easy to work late arrivals and same-day overbookings into my schedule. Invariably someone will no show later on and it all evens out.

Blah blah saturation blah blah podiatry is not that essential blah blah
 
With modern MIS burr technology there is no reason why hammertoe and bunion surgery can't be done in the office or small surgical suite. Just need a really good local block, mini c-arm, sterile draping, maybe noise cancelling head phones, post op DME. If I was private practice I would start my own practice and go into the hole and build an in office surgical suite. It may not be for all patients but I could see some patients wanting it. No need for PCP clearance, no facility fees, no anesthesia fees, etc. You may be able to justify your own "facility fee" on top of the billing insurance. Not sure that is legal. A prominent NYC bunion king charges several thousand dollars up front cash and then I am sure they bill insurance as well.
there is an instagram account of a podiatrist I've seen with his own private practice and in office surgical suite. looks sweet.
 
...There was a discussion on the anesthesiology forum about vascular reimbursement for interventional procedures. The wild thing to me is that some of the interventional leg codes have literally enough premium built into them that you can offer vascular surface in an in office surgery suite and potentially come out ahead in time ie. they are offering like $8500 total reimbursement for some procedures. I get it - they are a big deal. We aren't. Meanwhile, podiatry surgical codes on the Medicare schedule do actually pay more in the office, but the premium over facility is incredibly tight and in most cases probably not worth pursuing. You can technically do a lapidus in the office. You will lose money on it.

That said - I still think podiatrists should attempt to find a way to bring surgery back into the office - yeah, no fixation hammertoes and what not done with a burr. Not right for everyone. Comes with its own start-up cost. But we have to find a way to create more $500-1000 visits in the office.
Yeah, I sure don't see it as feasible to do the true surgery center. One bigger exam room for local stuff is fine... and common.

"Safe?" and "standard of care" is a whole other question... but I just don't think it's financially viable to do the true surgery center with what the accreditation and construction and staffing cost. That's not to mention getting the financing to start it up.

Some of the older DPMs in Cali, etc have the in-office surgery suite (MIS with c-arm) for burr stuff done under local and plastics type stuff. A few of my attendings in Mich did also. That's not uncommon at all. I would say it's banging the guard rails to do office bone cut/implant surgery these days, but that's a personal call.
You will run across a few DPMs with bona fide ASC (basically just a very small office next to their own with hired RN, tech, CRNA for a few days per month) where they can bill big bucks for out-of-network rates and scoop the facility fees. I think the ACS model was much more common when surgery CPTs paid a lot more and pre-2007 Obama market crash when lending was feasible and our debt-to-income wasn't in the toilet. Guys would take out big loans at low interest to buy/build an office or loans to remodel/expand it.

With the accredited ASC - even the mini-one, you are talking massive chunks of cash to get those autoclaves, meds, OR bed(s), instrument sets, power drills/drivers, c-arm, anesthesia machines, pay the staff - esp CRNA, furniture and decor, rent or buy the place you only use a few days per month, etc. That's hundreds of thousands... probably well over a mil when you consider the credentialing and paperwork and licensing and insurance. That's a sizeable risk. It could potentially work for a very big DPM group (or plastics or ENT) if they force all of their patients to drive there, but nowadays, it's usually just done as co-ownership shares in an ASC with other area surgeons of other specialties. That seems to make more sense financially and for pt safety. Nearly all of the accredited ASC ones I've seen that are just for one doc/group are relics that were made around year 2000 or earlier and wound't be attempted today. The ones I know of have all pressed any group DPMs to create cases and opened it up to other area DPMs and offered them incentive to try to keep the thing viable (in addition to doing some ingrowns and warts and wound care and other typically office things at the "surgery center" to keep case volume up).
 
Last edited:
When I was a student, I did a rotation outside New Orleans at the program Leon Watkins (of pocket pod fame) was affiliated with. I basically shadowed at his office a couple times with his associate since he went on vacation. They have a full ASC with a few ORs in a building they built and owned. Seemed like a massive investment and operation, but also didn’t seem like they used it all that often. I saw them do a case in step-down, and that was it. You’d think that in order to pay all the ongoing costs of the ASC, they would need to have cases constantly running, not just their own cases occasionally. I never understood how they were able to make that work.
 
When I was a student, I did a rotation outside New Orleans at the program Leon Watkins (of pocket pod fame) was affiliated with. I basically shadowed at his office a couple times with his associate since he went on vacation. They have a full ASC with a few ORs in a building they built and owned. Seemed like a massive investment and operation, but also didn’t seem like they used it all that often. I saw them do a case in step-down, and that was it. You’d think that in order to pay all the ongoing costs of the ASC, they would need to have cases constantly running, not just their own cases occasionally. I never understood how they were able to make that work.
Yeah, that's the idea: the cases make so much (facility fee OON) they don't need to use it a lot of them to make it worth it. Most of the Cali DPMs I know who do that model do the same thing: try to do a couple cases (and also add a couple "cases" that are basically clinic procedures) at their center per week... all out of network. Bonus if you have tons of associates like Watkins who you can offer bonus to bring cases also. They have per hour CRNA, PACU RN, circ RN, receptionist, and tech for the "surgery center" on the day it is open. The receptionist at the ASC is usually just their front desk from their office across the street or next door or something.

Like I said, most of these were built by guys that are not young, though. The heyday for those was when MCR paid docs + facilities big for surgery CPTs. They had the double bonus of low interest easy loans + better reimbursement ("golden age of podiatry" 80s, 90s... early 2000s some places), and this was also back when nearly all DPMs were in PP owner or partner or associate.
Present day, the solo ASC idea's really not too viable for DPMs anymore (can't get the lending, staffing/equip/accredit costs have skyrocketed, reimburse has dropped). The few that still exist are usually collecting dust or trying hard to get more cases from nearby docs to stay afloat.
It is slightly more viable for plastics or ENT to try the mini-ASC (Nip/Tuck show style) due to many more RVUs (and more cash procedures!), but they still usually go in with area groups on a real ASC with higher functionality and higher volume to cut costs and increase capability and safety. That's typically the way to go if you're offered that chance from nearby ortho/ophtho/ENT/etc or you are in a MSG who already has one.
 
Last edited:
We are saturated.
People have options for our cares.
Unless highly established, we have to flex a lot more to keep full.
Once highly established, hire associates (who will have to flex more to keep full)... because podiatry.

My next available is months from now.

For most pods in our area, it’s also a long wait.

Because podiatry …
 
Advertisement - Members don't see this ad
I feel sorry for you. *









* that you are in a highly saturated profession that has politician shysters that continue to ignore the primary problem that plagues our profession.

The main problem for SDN pods is that job descriptions don’t include:

Must have:
- a glass half empty
- good keyboarding and memeing skills
- a healthy dose of professional jealousy

Frankly, I’m really shocked that SDN allows all this unsubstantiated garbage to be posted, which violates the TOS. Imagine a negative meme thread in another forum. It’s serves no purpose. Just to belittle others and the profession.

SDN podiatry forums have turned into public group therapy for 12 miserable pods who are not here to fulfill SDNs mission, they’re here to joke and criticize people. Perhaps that makes you feel better, but shame on SDN for allowing a small cabal of disgruntled pods to consume the podiatry forums and deter others from posting or asking legitimate questions, for fear of retaliation.
 
The main problem for SDN pods is that job descriptions don’t include:

Must have:
- a glass half empty
- good keyboarding and memeing skills
- a healthy dose of professional jealousy

Frankly, I’m really shocked that SDN allows all this unsubstantiated garbage to be posted, which violates the TOS. Imagine a negative meme thread in another forum. It’s serves no purpose. Just to belittle others and the profession.

SDN podiatry forums have turned into public group therapy for 12 miserable pods who are not here to fulfill SDNs mission, they’re here to joke and criticize people. Perhaps that makes you feel better, but shame on SDN for allowing a small cabal of disgruntled pods to consume the podiatry forums and deter others from posting or asking legitimate questions, for fear of retaliation.

Wow. You have derailed.

Nothing posted here is violation of TOS. It’s called freedom of speech.

You post here to control things and it drives you crazy that you can’t.
 
The main problem for SDN pods is that job descriptions don’t include:

Must have:
- a glass half empty
- good keyboarding and memeing skills
- a healthy dose of professional jealousy

Frankly, I’m really shocked that SDN allows all this unsubstantiated garbage to be posted, which violates the TOS. Imagine a negative meme thread in another forum. It’s serves no purpose. Just to belittle others and the profession.

SDN podiatry forums have turned into public group therapy for 12 miserable pods who are not here to fulfill SDNs mission, they’re here to joke and criticize people. Perhaps that makes you feel better, but shame on SDN for allowing a small cabal of disgruntled pods to consume the podiatry forums and deter others from posting or asking legitimate questions, for fear of retaliation.

How many times do we have to call you out for being manipulative and untruthful?

Anybody can easily do an online job search and see that there are maybe a dozen organizational type jobs available... for 500+ graduating residents + all the others trapped in associate private practice hell.

Additionally, one can easily search the APMA website to get an idea of what 7 years + 300k loans will pay if you aren't one of the lucky ones getting an organizational type job... 100k.

Lastly, times have changed compared to when you completed a bottom tier residency program some 13 years ago. It's very difficult for grads to open their own practice, so their only option is a 100k associate private practice gig.

The only garbage that's posted here is from you trying to cover up the truth, so that you can continue the glut of students to feed your residency. I'm happy with where I'm at now and certainly not jealous of your career from a financial or professional satisfaction standpoint.
 
For most pods in our area, it’s also a long wait.
1690199297884.png


Seems like I can get a same day appointment with a seasoned DPM pretty easily without picking up the phone in your zip code.....
 
The main problem for SDN pods is that job descriptions don’t include:

Must have:
- a glass half empty
- good keyboarding and memeing skills
- a healthy dose of professional jealousy

Frankly, I’m really shocked that SDN allows all this unsubstantiated garbage to be posted, which violates the TOS. Imagine a negative meme thread in another forum. It’s serves no purpose. Just to belittle others and the profession.

SDN podiatry forums have turned into public group therapy for 12 miserable pods who are not here to fulfill SDNs mission, they’re here to joke and criticize people. Perhaps that makes you feel better, but shame on SDN for allowing a small cabal of disgruntled pods to consume the podiatry forums and deter others from posting or asking legitimate questions, for fear of retaliation.
-Nah I am opportunist - while y'all are worried the contain of the glass... I will drink the contain and steal the glass.
-I am terrible at memeing I need to work on it but then again I will just steal the memes.
-Meh there is nothing to be jealous... I will eventually take it. 😉
 
I thought this was the late patient thread? Oh well I guess we're done with that topic.

Anyway, re: sdn negativity, consider the following. Prior to 8 months ago I was completely inactive on SDN. I dropped off around end of my residency in 2017 when it seemed like my sarcasm didn't fit the tone of discussion which was militantly pro podiatry at the time.

Flash forward 5 years, school matriculation drops and ABPM/Doug Richie say us normies need to go on sdn. I assumed upbeat old-school posters like @air bud , @heybrother , and @Feli were being overrun by trolls. Boy was I surprised.

So I reactivate my old account and write this post, which my attempt and objective appraisal of podiatry as a meh career choice. The crucial insight is that I independently, without being active on sdn came to many of the same conclusions a lot of commenters had reached.

The problem is not us.
 
I thought this was the late patient thread? Oh well I guess we're done with that topic.

Anyway, re: sdn negativity, consider the following. Prior to 8 months ago I was completely inactive on SDN. I dropped off around end of my residency in 2017 when it seemed like my sarcasm didn't fit the tone of discussion which was militantly pro podiatry at the time.

Flash forward 5 years, school matriculation drops and ABPM/Doug Richie say us normies need to go on sdn. I assumed upbeat old-school posters like @air bud , @heybrother , and @Feli were being overrun by trolls. Boy was I surprised.

So I reactivate my old account and write this post, which my attempt and objective appraisal of podiatry as a meh career choice. The crucial insight is that I independently, without being active on sdn came to many of the same conclusions a lot of commenters had reached.

The problem is not us.

I mean seriously, why does this podiometric politician think he can call us all naysayers for simply pointing out that the pod job market is very poor and the risk is REAL for poor ROI for prospective pre pods?
 
I thought this was the late patient thread? Oh well I guess we're done with that topic.

Anyway, re: sdn negativity, consider the following. Prior to 8 months ago I was completely inactive on SDN. I dropped off around end of my residency in 2017 when it seemed like my sarcasm didn't fit the tone of discussion which was militantly pro podiatry at the time.

Flash forward 5 years, school matriculation drops and ABPM/Doug Richie say us normies need to go on sdn. I assumed upbeat old-school posters like @air bud , @heybrother , and @Feli were being overrun by trolls. Boy was I surprised.

So I reactivate my old account and write this post, which my attempt and objective appraisal of podiatry as a meh career choice. The crucial insight is that I independently, without being active on sdn came to many of the same conclusions a lot of commenters had reached.

The problem is not us.
Sir, we don't need any of your so-called evidence. If I was a real doctor, and knew anything about research I could talk more about what your story would be considered.
 
no fixation hammertoes and what not done with a burr.
Dont hate on the peg and hole!
It is without a doubt the best hammertoe correction method.
Cheap, easy, reliable fusion.
WAY better than implants. Bury the wire if youre worried about it.
Its one thing the TFPs got right.

My hospital mandates anyone less than 15 minutes late has to be seen.
Dumbest thing ever. I see them but they get quick care and have to wait for any on time patient to be seen first.
I refuse to make someone who showed up on time wait because someone else "had car troubles".

My reviews are really good. When I get a review thats not 5 stars its typically from a late patient because I didnt spend the time with them (or patients requesting to establish for chronic care which I refer out).

Most of my good reviews mention "I was really happy to be seen on time", plus whatever else they wanna say. Being on time is very important for patients. They took time off work to be there. Many can only swing an hour or two before they gotta be back to work.
 
Dont hate on the peg and hole!
It is without a doubt the best hammertoe correction method.
Cheap, easy, reliable fusion.
WAY better than implants. Bury the wire if youre worried about it.
Its one thing the TFPs got right.

My hospital mandates anyone less than 15 minutes late has to be seen.
Dumbest thing ever. I see them but they get quick care and have to wait for any on time patient to be seen first.
I refuse to make someone who showed up on time wait because someone else "had car troubles".

My reviews are really good. When I get a review thats not 5 stars its typically from a late patient because I didnt spend the time with them (or patients requesting to establish for chronic care which I refer out).

Most of my good reviews mention "I was really happy to be seen on time", plus whatever else they wanna say. Being on time is very important for patients. They took time off work to be there. Many can only swing an hour or two before they gotta be back to work.
Oh god this guy and his peg and hole. Constantly trying to get me to try this. Maybe he can develop and new modern way to do it and sell it to dumb pods like he was talking about in other threads.
 
Advertisement - Members don't see this ad
Oh god this guy and his peg and hole. Constantly trying to get me to try this. Maybe he can develop and new modern way to do it and sell it to dumb pods like he was talking about in other threads.
Ticket to paradise!
 
I’m trying it, not even joking
 
got a post op xray?
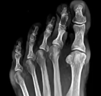
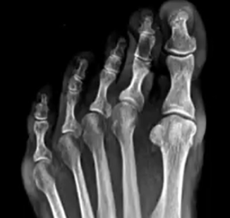
Let me see. These are from a set of videos online by a deceased podiatrist named Don Peacock. He did them as MIS in the office. I've watched almost all of his stuff - its all MIS burr. Some of them he says some stuff I don't agree with, but some of his other stuff is interesting, and the big thing to me is - I would have told that patient I had nothing to offer them. I feel like most people would have done PIPJ fusion + pinning + capsulotomy of MPJ + Weil - maybe they would have looked at the midfoot or rearfoot for deformity to see what's driving it / is it fixable. This was just eye turning to me because of how different it is from how I think about these. Would I do this on a 20 year old? Probably not - but a 60 year old with an end stage deformity ... seems like there's something to be said for it.

Here's an ortho talking about MIS hammertoes:


Here's a British ortho who does keyhole/MIS hammertoes:


Here's Dr. Peacock's channel - you will not agree with everything he does:

This is the video for the above x-rays and images:


Looks like he only shows the intra-op:
1690568303849.png

-Yeah - no post-op - the final clinical image above was at 3 years.
 
Top Bottom