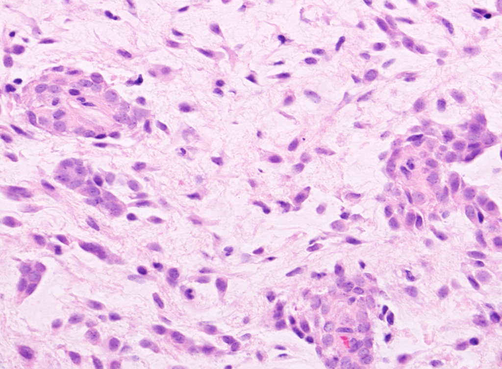
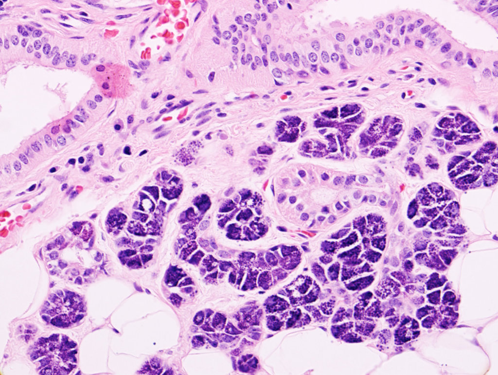
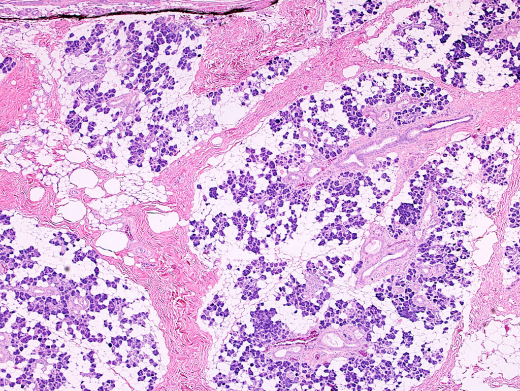
T tkm32 New Member 5+ Year Member Joined Sep 23, 2016 Messages 9 Reaction score 3 Points 4,531 DPT / OTD Dec 3, 2016 #1 Advertisement - Members don't see this ad Disease of the parotid gland, cannot figure out what it is. please help :
Advertisement - Members don't see this ad Disease of the parotid gland, cannot figure out what it is. please help :
D deleted314957 Dec 4, 2016 #2 Wow! Do you think tkm32 said: Disease of the parotid gland, cannot figure out what it is. please help :View attachment 211521 View attachment 211522 View attachment 211523 Click to expand... Go ask your pathologist! And, it doesn't look very exciting.
Wow! Do you think tkm32 said: Disease of the parotid gland, cannot figure out what it is. please help :View attachment 211521 View attachment 211522 View attachment 211523 Click to expand... Go ask your pathologist! And, it doesn't look very exciting.